Suppr超能文献

18F-FDG PET/CT 在探测放射性碘难治性分化型甲状腺癌中的临床作用。

Clinical role of 18F-FDG PET/CT for detection of radioactive iodine refractory differentiated thyroid cancer.

机构信息

Department of Nuclear Medicine, Nanjing First Hospital, Nanjing Medical University, Nanjing, China.

Department of Medical Image, Jiangyin Hospital of Traditional Chinese Medicine, Nanjing University of Chinese Medicine, Wuxi, China.

出版信息

Medicine (Baltimore). 2023 Jun 16;102(24):e33878. doi: 10.1097/MD.0000000000033878.

Abstract

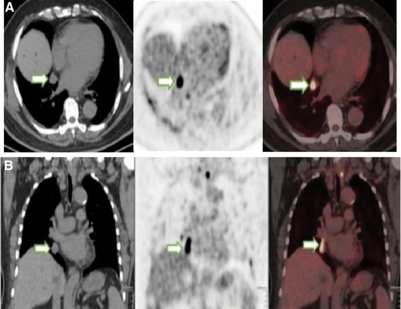
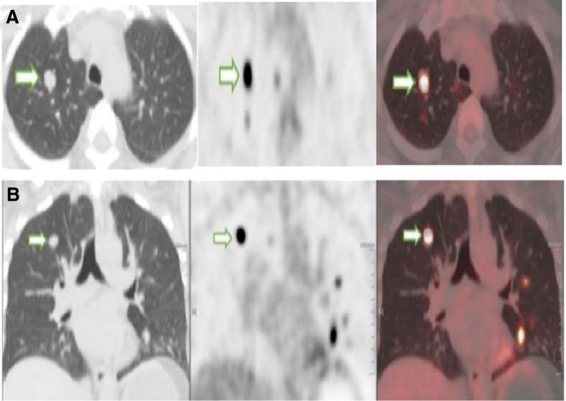
In clinical settings, an estimated 10% differentiated thyroid cancer (DTC) cases become radioactive iodide refractory (RAIR), which lack a molecular marker and have fewer treatment selections. A higher uptake of 18F-fluorodeoxyglucose (18F-FDG) might indicate poor prognosis for DTC. This study aimed to evaluate the clinical value of 18F-FDG psitron emission tomography/computed tomography (PET/CT) for the early diagnosis of RAIR-DTC and high-risk DTC. A total of 68 DTC patients were enrolled and underwent 18F-FDG PET/CT for the detection of recurrence and/or metastasis. 18F-FDG uptake was evaluated in patients with different postoperative recurrence risks or TNM stages and compared between RAIR and non-RAIR-DTC based on its maximum standardized uptake value and tumor/liver (T/L) ratio. The final diagnosis was judged by histopathology and follow-up data. Of 68 DTC cases, 42 were RAIR and 24 non-RAIR, with 2 not determined. A total of 263 of 293 lesions detected on 18F-FDG PET/CT were confirmed to be locoregional or metastatic after follow-up. The T/L ratio was significantly higher for RAIR than for non-RAIR (median 5.18 vs 1.44; P < .01) and also significantly higher in postoperative patients at high-risk of recurrence than at low to medium risk (median 4.90 vs 2.16; P < .01). 18F-FDG PET/CT exhibited a sensitivity of 83.3% and specificity of 87.5% for identifying RAIR, with a cutoff T/L value of 2.98. 18F-FDG PET/CT has the potential to diagnose RAIR-DTC early and identify the high-risk DTC. The T/L ratio is a useful parameter for the detection of RAIR-DTC patients.

摘要

在临床环境中,约有 10%的分化型甲状腺癌(DTC)病例会出现放射性碘难治(RAIR),这部分病例缺乏分子标志物,治疗选择较少。DTC 患者 18F-氟代脱氧葡萄糖(18F-FDG)摄取较高可能预示预后不良。本研究旨在评估 18F-FDG 正电子发射断层扫描/计算机断层扫描(PET/CT)对 RAIR-DTC 和高危 DTC 的早期诊断价值。共纳入 68 例 DTC 患者,均行 18F-FDG PET/CT 以检测复发和/或转移。根据最大标准化摄取值(SUVmax)和肿瘤/肝脏(T/L)比值,对不同术后复发风险或 TNM 分期的患者进行 18F-FDG 摄取评估,并根据 SUVmax 和 T/L 比值比较 RAIR 和非 RAIR-DTC 患者间的摄取差异。最终诊断通过组织病理学和随访数据判断。68 例 DTC 患者中,42 例为 RAIR,24 例为非 RAIR,2 例未确定。18F-FDG PET/CT 共检测到 293 个病灶,其中 263 个经随访证实为局部或远处转移。RAIR 患者的 T/L 比值明显高于非 RAIR(中位数 5.18 比 1.44;P < .01),且术后高复发风险患者的 T/L 比值也明显高于低至中复发风险患者(中位数 4.90 比 2.16;P < .01)。18F-FDG PET/CT 诊断 RAIR 的敏感度为 83.3%,特异度为 87.5%,截断 T/L 值为 2.98。18F-FDG PET/CT 具有早期诊断 RAIR-DTC 和识别高危 DTC 的潜力。T/L 比值是检测 RAIR-DTC 患者的有用参数。

https://cdn.ncbi.nlm.nih.gov/pmc/blobs/7e4c/10270557/f5279ffb3c55/medi-102-e33878-g001.jpg

文献AI研究员

20分钟写一篇综述,助力文献阅读效率提升50倍。

立即体验

用中文搜PubMed

大模型驱动的PubMed中文搜索引擎

马上搜索

文档翻译

学术文献翻译模型,支持多种主流文档格式。

立即体验