Suppr超能文献

Mettl3 介导的 mA 修饰通过调节脂质代谢相关基因的表达在小鼠的脂质代谢紊乱和进行性肝损伤中发挥作用。

Mettl3-mediated mA modification plays a role in lipid metabolism disorders and progressive liver damage in mice by regulating lipid metabolism-related gene expression.

机构信息

Cancer Research Institute, Experimental Education/Administration Center, School of Basic Medical Sciences, Southern Medical University, Guangzhou 510515, China.

Department of Radiation Oncology, Nanfang Hospital, Southern Medical University, Guangzhou 510515, China.

出版信息

Aging (Albany NY). 2023 Jun 16;15(12):5550-5568. doi: 10.18632/aging.204810.

Abstract

AIMS

N6-methyladenosine (mA), the most abundant and conserved epigenetic modification of mRNA, participates in various physiological and pathological processes. However, the roles of mA modification in liver lipid metabolism have yet to be understood entirely. We aimed to investigate the roles of the mA "writer" protein methyltransferase-like 3 (Mettl3) in liver lipid metabolism and the underlying mechanisms.

MAIN METHODS

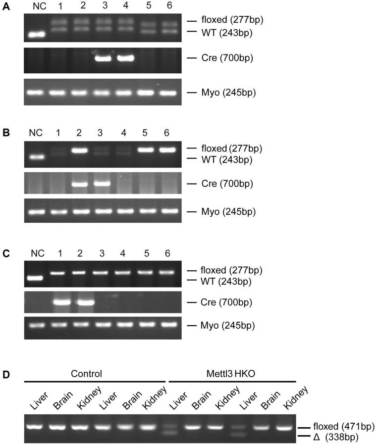
We assessed the expression of Mettl3 in liver tissues of diabetes (db/db) mice, obese (ob/ob) mice, high saturated fat-, cholesterol-, and fructose-induced non-alcoholic fatty liver disease (NAFLD) mice, and alcohol abuse and alcoholism (NIAAA) mice by quantitative reverse-transcriptase PCR (qRT-PCR). Hepatocyte-specific Mettl3 knockout mice were used to evaluate the effects of Mettl3 deficiency in mouse liver. The molecular mechanisms underlying the roles of Mettl3 deletion in liver lipid metabolism were explored by multi-omics joint analysis of public data from the Gene Expression Omnibus database and further validated by qRT-PCR and Western blot.

KEY FINDINGS

Significantly decreased Mettl3 expression was associated with NAFLD progression. Hepatocyte-specific knockout of Mettl3 resulted in significant lipid accumulation in the liver, increased serum total cholesterol levels, and progressive liver damage in mice. Mechanistically, loss of Mettl3 significantly downregulated the expression levels of multiple mA-modified mRNAs related to lipid metabolism, including Adh7, Cpt1a, and Cyp7a1, further promoting lipid metabolism disorders and liver injury in mice.

SIGNIFICANCE

In summary, our findings demonstrate that the expression alteration of genes related to lipid metabolism by Mettl3-mediated mA modification contributes to the development of NAFLD.

摘要

目的

N6-甲基腺苷(m6A)是 mRNA 中最丰富和最保守的表观遗传修饰之一,参与多种生理和病理过程。然而,m6A 修饰在肝脏脂质代谢中的作用尚未完全了解。我们旨在研究 m6A“书写”蛋白甲基转移酶样 3(Mettl3)在肝脏脂质代谢中的作用及其潜在机制。

主要方法

我们通过定量逆转录-聚合酶链反应(qRT-PCR)评估了糖尿病(db/db)小鼠、肥胖(ob/ob)小鼠、高饱和脂肪、胆固醇和果糖诱导的非酒精性脂肪性肝病(NAFLD)小鼠以及酒精滥用和酒精中毒(NIAAA)小鼠肝脏组织中 Mettl3 的表达。利用肝细胞特异性 Mettl3 敲除小鼠来评估 Mettl3 缺乏对小鼠肝脏的影响。通过对来自基因表达综合数据库(GEO)的公共数据进行多组学联合分析,探索了 Mettl3 缺失在肝脏脂质代谢中的作用机制,并通过 qRT-PCR 和 Western blot 进行了进一步验证。

主要发现

Mettl3 表达的显著降低与 NAFLD 的进展有关。肝细胞特异性敲除 Mettl3 导致小鼠肝脏脂质积累显著增加、血清总胆固醇水平升高和进行性肝损伤。在机制上,Mettl3 的缺失显著下调了与脂质代谢相关的多个 m6A 修饰 mRNA 的表达水平,包括 Adh7、Cpt1a 和 Cyp7a1,进一步促进了小鼠的脂质代谢紊乱和肝损伤。

意义

综上所述,我们的研究结果表明,Mettl3 介导的 m6A 修饰改变与脂质代谢相关基因的表达,导致 NAFLD 的发生。

https://cdn.ncbi.nlm.nih.gov/pmc/blobs/df8e/10333091/eb48a65b82b3/aging-15-204810-g001.jpg

文献AI研究员

20分钟写一篇综述,助力文献阅读效率提升50倍。

立即体验

用中文搜PubMed

大模型驱动的PubMed中文搜索引擎

马上搜索

文档翻译

学术文献翻译模型,支持多种主流文档格式。

立即体验