Suppr超能文献

PTBP1 通过诱导蛋白降解和 IFN 产生来抑制猪流行性腹泻病毒复制。

PTBP1 suppresses porcine epidemic diarrhea virus replication via inducing protein degradation and IFN production.

机构信息

Shanghai Veterinary Research Institute, Chinese Academy of Agricultural Sciences, Shanghai, China; Jiangsu Co-innovation Center for Prevention and Control of Important Animal Infectious Diseases and Zoonoses, Yangzhou University, Yangzhou, China; College of Animal & Verterinary Sciences, Southwest Minzu University, Chengdu, China.

Shanghai Veterinary Research Institute, Chinese Academy of Agricultural Sciences, Shanghai, China; Jiangsu Co-innovation Center for Prevention and Control of Important Animal Infectious Diseases and Zoonoses, Yangzhou University, Yangzhou, China.

出版信息

J Biol Chem. 2023 Aug;299(8):104987. doi: 10.1016/j.jbc.2023.104987. Epub 2023 Jun 29.

Abstract

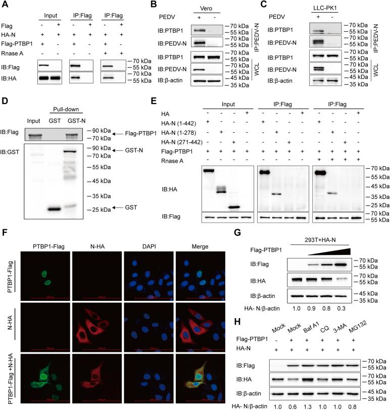
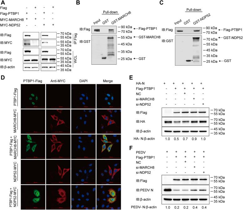
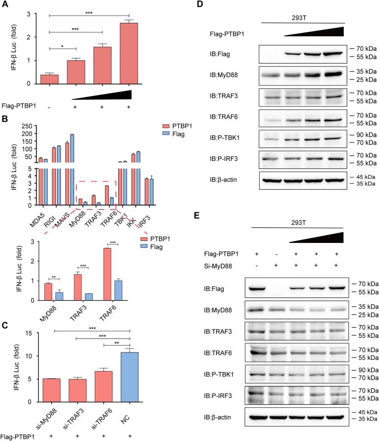
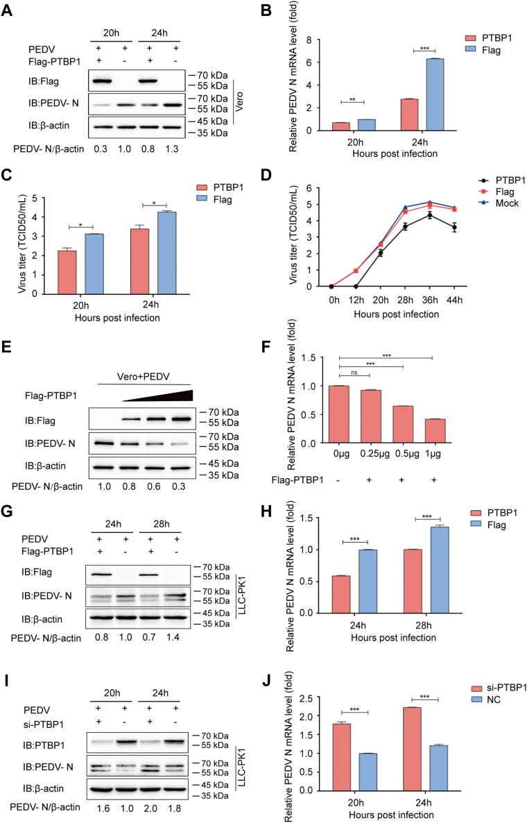
Porcine epidemic diarrhea virus (PEDV) causes severe morbidity and mortality among newborn piglets. It significantly threatens the porcine industry in China and around the globe. To accelerate the developmental pace of drugs or vaccines against PEDV, a deeper understanding of the interaction between viral proteins and host factors is crucial. The RNA-binding protein, polypyrimidine tract-binding protein 1 (PTBP1), is crucial for controlling RNA metabolism and biological processes. The present work focused on exploring the effect of PTBP1 on PEDV replication. PTBP1 was upregulated during PEDV infection. The PEDV nucleocapsid (N) protein was degraded through the autophagic and proteasomal degradation pathways. Moreover, PTBP1 recruits MARCH8 (an E3 ubiquitin ligase) and NDP52 (a cargo receptor) for N protein catalysis and degradation through selective autophagy. Furthermore, PTBP1 induces the host innate antiviral response via upregulating the expression of MyD88, which then regulates TNF receptor-associated factor 3/ TNF receptor-associated factor 6 expression and induces the phosphorylation of TBK1 and IFN regulatory factor 3. These processes activate the type Ⅰ IFN signaling pathway to antagonize PEDV replication. Collectively, this work illustrates a new mechanism related to PTBP1-induced viral restriction, where PTBP1 degrades the viral N protein and induces type Ⅰ IFN production to suppress PEDV replication.

摘要

猪流行性腹泻病毒(PEDV)可导致新生仔猪出现严重的发病率和死亡率,这对中国乃至全球的养猪业都构成了严重威胁。为了加快针对 PEDV 的药物或疫苗的研发速度,深入了解病毒蛋白与宿主因子之间的相互作用至关重要。RNA 结合蛋白多嘧啶 tract 结合蛋白 1(PTBP1)对控制 RNA 代谢和生物过程至关重要。本研究旨在探讨 PTBP1 对 PEDV 复制的影响。在 PEDV 感染过程中,PTBP1 上调。通过自噬和蛋白酶体降解途径,PEDV 核衣壳(N)蛋白被降解。此外,PTBP1 通过选择性自噬招募 E3 泛素连接酶 MARCH8 和货物受体 NDP52 对 N 蛋白进行催化和降解。此外,PTBP1 通过上调 MyD88 的表达诱导宿主先天抗病毒反应,进而调节 TNF 受体相关因子 3/TNF 受体相关因子 6 的表达,并诱导 TBK1 和 IFN 调节因子 3 的磷酸化。这些过程激活了 I 型 IFN 信号通路,从而拮抗 PEDV 的复制。综上所述,本研究阐明了一种与 PTBP1 诱导的病毒限制相关的新机制,即 PTBP1 降解病毒 N 蛋白并诱导 I 型 IFN 的产生,从而抑制 PEDV 的复制。

https://cdn.ncbi.nlm.nih.gov/pmc/blobs/f724/10407749/077f9d081366/gr1.jpg

文献AI研究员

20分钟写一篇综述,助力文献阅读效率提升50倍。

立即体验

用中文搜PubMed

大模型驱动的PubMed中文搜索引擎

马上搜索

文档翻译

学术文献翻译模型,支持多种主流文档格式。

立即体验