Suppr超能文献

一株具有多组织嗜性的致病性和重组传染性支气管炎病毒变异株(CK/CH/GX/202109)。

A pathogenic and recombinant infectious bronchitis virus variant (CK/CH/GX/202109) with multiorgan tropism.

机构信息

Institute of Animal Husbandry and Veterinary Medicine, Fujian Academy of Agricultural Sciences/Fujian Animal Disease Control Technology Development Center, Fuzhou, 350013, Fujian Province, China.

出版信息

Vet Res. 2023 Jul 3;54(1):54. doi: 10.1186/s13567-023-01182-w.

Abstract

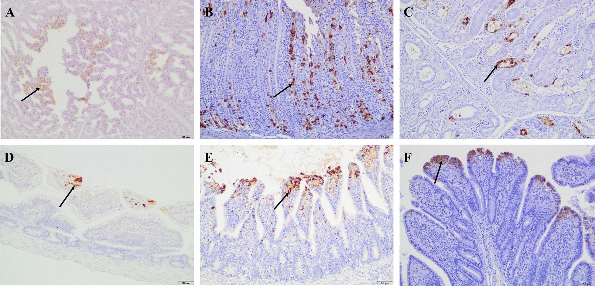
Despite vaccine use, novel strains and variants of infectious bronchitis virus (IBV) have emerged continuously, leading to economic losses to the poultry industry worldwide. This study aimed to characterize the IBV isolate CK/CH/GX/202109 from three yellow broilers in Guangxi, China. Recombination was shown to have occurred in regions of the 1ab gene. Compared to the whole genome of ck/CH/LGX/130530, which is genotypically related to tl/CH/LDT3-03, the 202109 strain had 21 mutations. The pathological assessment showed that this variant caused 30% and 40% mortality in 1-day-old chicks infected with oral and ocular inoculum, respectively. Nephritis, enlarged proventriculus, inflammation of the gizzard, and atrophy of the bursa of Fabricius were also observed at both 7 and 14 days post-infection (dpi). Viral loads in the trachea, proventriculus, gizzard, kidney, bursa, and cloacal swabs were higher at 7 dpi than at 14 dpi. Clinicopathological and immunohistochemical analyses revealed that this virus exhibited multiple organ tropisms capable of infecting the trachea, proventriculus, gizzard, kidney, bursa, ileum, jejunum, and rectum. Almost none of the 1-day-old infected chicks seroconverted until 14 dpi. While the virus was found in the ileum, jejunum, and rectum in the 28-day-old ocular group, the majority of 28-day-old infected chickens seroconverted at 10 dpi. These study findings demonstrate that recombination events and mutations during the evolution of IBV may greatly alter tissue tropism and emphasize the need for the continued surveillance of novel strains and variants in order to control this infection.

摘要

尽管使用了疫苗,但新型传染性支气管炎病毒 (IBV) 株和变体仍不断出现,给全球家禽业造成了经济损失。本研究旨在分析中国广西三个黄羽肉鸡中分离的 IBV 株 CK/CH/GX/202109。结果显示,该分离株的 1ab 基因发生了重组。与基因型与 tl/CH/LDT3-03 相关的 ck/CH/LGX/130530 全基因组相比,202109 株有 21 个突变。病理评估显示,该变异株经口和眼接种 1 日龄雏鸡后,死亡率分别为 30%和 40%。感染后 7 天和 14 天,还观察到雏鸡肾脏、腺胃肿大、肌胃炎症和法氏囊萎缩。7 天比 14 天时,气管、腺胃、肌胃、肾脏、法氏囊和泄殖腔拭子中的病毒载量更高。临床病理和免疫组化分析表明,该病毒具有多器官嗜性,能够感染气管、腺胃、肌胃、肾脏、法氏囊、回肠、空肠和直肠。直到 14 天,感染的 1 日龄雏鸡几乎没有血清转化。在眼部感染的 28 日龄雏鸡中,病毒存在于回肠、空肠和直肠中,但大多数 28 日龄感染鸡在 10 天就出现了血清转化。这些研究结果表明,IBV 进化过程中的重组事件和突变可能会极大地改变组织嗜性,强调需要持续监测新型株和变体,以控制这种感染。

https://cdn.ncbi.nlm.nih.gov/pmc/blobs/2106/10318653/947a3fa617a7/13567_2023_1182_Fig1_HTML.jpg

文献AI研究员

20分钟写一篇综述,助力文献阅读效率提升50倍。

立即体验

用中文搜PubMed

大模型驱动的PubMed中文搜索引擎

马上搜索

文档翻译

学术文献翻译模型,支持多种主流文档格式。

立即体验