Suppr超能文献

多糖可改善葡聚糖硫酸钠诱导的小鼠溃疡性结肠炎。

polysaccharides ameliorate ulcerative colitis in mice induced by dextran sulfate sodium.

机构信息

Institute of Special Wild Economic Animals and Plants, Chinese Academy of Agricultural Sciences, Changchun, China.

Institute of College of Veterinary Medicine, Northwest Agriculture and Forestry University, Yangling, China.

出版信息

Front Immunol. 2023 Jun 21;14:1161625. doi: 10.3389/fimmu.2023.1161625. eCollection 2023.

Abstract

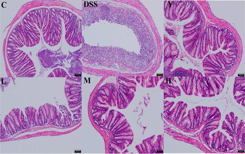
This study aimed to investigate the ameliorative effect of the polysaccharides of (WQP) on ulcerative colitis (UC) induced by dextran sulfate sodium (DSS) in mice and to explore its mechanism. Male C57BL/6J mice were randomly divided into the control group (C), model group (DSS), positive control mesalazine (100 mg/kg, Y) group, and low (50 mg/kg, L), medium (100 mg/kg, M) and high dose (200 mg/kg, H) of WQP groups. The UC model was induced by free drinking water with 2.5% DSS for 7 days. During the experiment, the general condition of the mice was observed, and the disease activity index (DAI) was scored. The conventional HE staining was used to observe pathological changes in mice's colon, and the ELISA method was used to detect the levels of interleukin-6 (IL-6), IL-4, IL-8, IL-10, IL-1β and tumor necrosis factor-α (TNF-α) in mice's colon. The changes in gut microbiota in mice were detected by high-throughput sequencing; the concentration of short-chain fatty acids (SCFAs) was determined by gas chromatography; the expression of related proteins was detected by Western blot. Compared with the DSS group, the WQP group showed a significantly lower DAI score of mice and an alleviated colon tissue injury. In the middle- and high-dose polysaccharides groups, the levels of pro-inflammatory cytokines IL-6, IL-8, IL-1β and TNF-α in the colonic tissue were significantly decreased (<0.05), while the levels of IL-4 and IL-10 were significantly increased (<0.05). The 16S rRNA gene sequencing results showed that different doses of WQP could regulate the composition and diversity of gut microbiota and improve its structure. Specifically, at the phylum level, group H showed an increased relative abundance of and a decreased relative abundance of compared with the DSS group, which was closer to the case in group C. At the family level, the relative abundance of in L, M and H groups increased significantly, close to that in group C. At the genus level, the relative abundance of , and in the H group increased significantly, while that of and decreased significantly. The high-dose WQP group could significantly increase the contents of acetic acid, propionic acid, butyric acid, and total SCFAs. Different doses of WQP also increased the expression levels of tight junction proteins ZO-1, Occludin and Claudin-1. To sum up, WQP can regulate the gut microbiota structure of UC mice, accelerate the recovery of gut microbiota, and increase the content of Faecal SCFAs and the expression level of tight junction proteins in UC mice. This study can provide new ideas for the treatment and prevention of UC and theoretical references for the application of WQP.

摘要

本研究旨在探讨 (WQP) 多糖对葡聚糖硫酸钠(DSS)诱导的溃疡性结肠炎(UC)小鼠的改善作用,并探讨其机制。雄性 C57BL/6J 小鼠随机分为对照组(C)、模型组(DSS)、阳性对照美沙拉嗪(100mg/kg,Y)组以及低(50mg/kg,L)、中(100mg/kg,M)和高剂量(200mg/kg,H)WQP 组。通过自由饮用含 2.5%DSS 的水诱导 UC 模型 7 天。实验过程中观察小鼠一般情况,并进行疾病活动指数(DAI)评分。常规 HE 染色观察小鼠结肠病理变化,ELISA 法检测小鼠结肠中白细胞介素-6(IL-6)、IL-4、IL-8、IL-10、IL-1β和肿瘤坏死因子-α(TNF-α)水平。采用高通量测序检测小鼠肠道菌群变化;气相色谱法测定短链脂肪酸(SCFAs)浓度;Western blot 法检测相关蛋白表达。与 DSS 组相比,WQP 组小鼠 DAI 评分明显降低,结肠组织损伤减轻。在中、高剂量多糖组中,结肠组织中促炎细胞因子 IL-6、IL-8、IL-1β和 TNF-α水平明显降低(<0.05),而 IL-4 和 IL-10 水平明显升高(<0.05)。16S rRNA 基因测序结果显示,不同剂量的 WQP 可调节肠道菌群的组成和多样性,并改善其结构。具体而言,在门水平上,H 组与 DSS 组相比, 的相对丰度增加, 的相对丰度降低,与 C 组更为接近。在科水平上,L、M 和 H 组 的相对丰度显著增加,接近 C 组。在属水平上,H 组 的相对丰度显著增加,而 和 的相对丰度显著降低。高剂量 WQP 组可显著增加乙酸、丙酸、丁酸和总 SCFAs 的含量。不同剂量的 WQP 还增加了紧密连接蛋白 ZO-1、Occludin 和 Claudin-1 的表达水平。综上所述,WQP 可调节 UC 小鼠肠道菌群结构,促进肠道菌群恢复,增加 UC 小鼠粪便中 SCFAs 的含量和紧密连接蛋白的表达水平。本研究可为 UC 的治疗和预防提供新的思路,并为 WQP 的应用提供理论参考。

https://cdn.ncbi.nlm.nih.gov/pmc/blobs/b9f0/10321667/3529529e8ee3/fimmu-14-1161625-g001.jpg

文献AI研究员

20分钟写一篇综述,助力文献阅读效率提升50倍。

立即体验

用中文搜PubMed

大模型驱动的PubMed中文搜索引擎

马上搜索

文档翻译

学术文献翻译模型,支持多种主流文档格式。

立即体验