Suppr超能文献

粒细胞集落刺激因子通过招募干细胞、调节结蛋白、抗纤维化和抗细胞凋亡机制改善邻苯二甲酸二己酯诱导的心肌损伤。

Granulocyte-colony stimulating factor ameliorates di-ethylhexyl phthalate-induced cardiac muscle injury via stem cells recruitment, Desmin protein regulation, antifibrotic and antiapoptotic mechanisms.

机构信息

Medical Histology and Cell Biology Department, Faculty of Medicine, Zagazig University, Zagazig, Egypt.

出版信息

J Mol Histol. 2023 Aug;54(4):349-363. doi: 10.1007/s10735-023-10137-6. Epub 2023 Jul 10.

Abstract

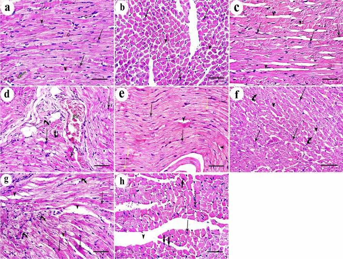
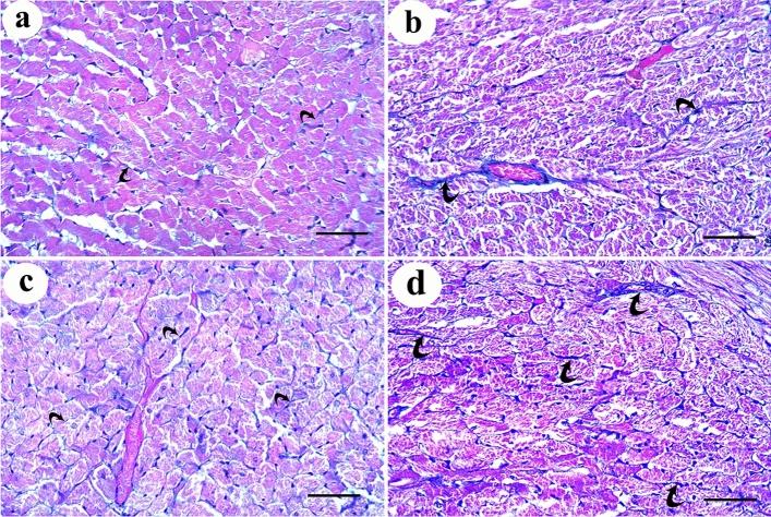
Phthalates are common plasticizers present in medical-grade plastics and other everyday products. Di-ethylhexyl phthalate (DEHP) has been noted as a causative risk factor for the initiation and augmentation of cardiovascular functional disorders. G-CSF is a glycoprotein found in numerous tissues throughout the body and is currently applied in clinical practice and has been tested in congestive heart failure. We aimed to examine in depth the effect of DEHP on the histological and biochemical structure of the cardiac muscle in adult male albino rats and the mechanisms underlying the possible ameliorative effect of G-CSF. Forty-eight adult male albino rats were divided into control group, DEHP group, DEHP+ G-CSF group and DEHP-recovery group. We measured serum levels of aspartate aminotransferase (AST), creatine kinase MB isoenzyme (CK-MB) and lactate dehydrogenase (LDH). Left ventricular sections were processed for light and electron microscope examination, and immunohistochemical staining of Desmin, activated Caspase-3 and CD34. DEHP significantly increased enzyme levels, markedly distorted the normal architecture of cardiac muscle fibers, downregulated Desmin protein levels and enhanced fibrosis, and apoptosis. G-CSF treatment significantly decreased the enzyme levels compared to DEHP group. It enhanced CD34 positive stem cells recruitment to injured cardiac muscle, therefore improved the ultrastructural features of most cardiac muscle fibers via anti-fibrotic and anti-apoptotic effects in addition to increased Desmin protein expression levels. The recovery group showed partial improvement due to persistent DEHP effect. In conclusion, administration of G-CSF effectively corrected the histopathological, immunohistochemical and biochemical alterations in the cardiac muscle after DEHP administration by stem cells recruitment, Desmin protein regulation, antifibrotic and antiapoptotic mechanisms.

摘要

邻苯二甲酸酯是常见的增塑剂,存在于医用塑料和其他日常产品中。己二酸二辛酯(DEHP)已被认为是引发和加剧心血管功能障碍的致病风险因素。G-CSF 是一种在体内许多组织中发现的糖蛋白,目前应用于临床实践,并已在充血性心力衰竭中进行了测试。我们旨在深入研究 DEHP 对成年雄性白化大鼠心肌组织学和生化结构的影响,以及 G-CSF 可能的改善作用的机制。将 48 只成年雄性白化大鼠分为对照组、DEHP 组、DEHP+G-CSF 组和 DEHP 恢复组。我们测量了血清中天冬氨酸氨基转移酶(AST)、肌酸激酶同工酶 MB(CK-MB)和乳酸脱氢酶(LDH)的水平。对左心室切片进行光镜和电子显微镜检查,并对 Desmin、活化 Caspase-3 和 CD34 进行免疫组织化学染色。DEHP 显著增加了酶的水平,明显扭曲了心肌纤维的正常结构,下调了 Desmin 蛋白水平,并增强了纤维化和细胞凋亡。与 DEHP 组相比,G-CSF 治疗显著降低了酶的水平。它通过抗纤维化和抗细胞凋亡作用以及增加 Desmin 蛋白表达水平,增强了 CD34 阳性干细胞对受损心肌的募集,从而显著改善了大多数心肌纤维的超微结构特征。恢复组由于 DEHP 的持续作用,显示出部分改善。总之,G-CSF 的给药通过干细胞募集、Desmin 蛋白调节、抗纤维化和抗细胞凋亡机制,有效地纠正了 DEHP 给药后心肌的组织病理学、免疫组织化学和生化改变。

https://cdn.ncbi.nlm.nih.gov/pmc/blobs/901a/10412672/c566b05b11cf/10735_2023_10137_Fig1_HTML.jpg

文献AI研究员

20分钟写一篇综述,助力文献阅读效率提升50倍。

立即体验

用中文搜PubMed

大模型驱动的PubMed中文搜索引擎

马上搜索

文档翻译

学术文献翻译模型,支持多种主流文档格式。

立即体验