Suppr超能文献

TLK1 介导的 RAD54 磷酸化时空调节同源重组修复。

TLK1-mediated RAD54 phosphorylation spatio-temporally regulates Homologous Recombination Repair.

机构信息

Department of Biochemistry and Molecular Biology, Louisiana Health Science Center-Shreveport, Shreveport, Louisiana 71130, US2. Texas 78229, USA.

Department of Biochemistry & Structural Biology, Greehey Children's Cancer Research Institute, University of Texas Health Science Center, San Antonio, TX 78229, USA.

出版信息

Nucleic Acids Res. 2023 Sep 8;51(16):8643-8662. doi: 10.1093/nar/gkad589.

Abstract

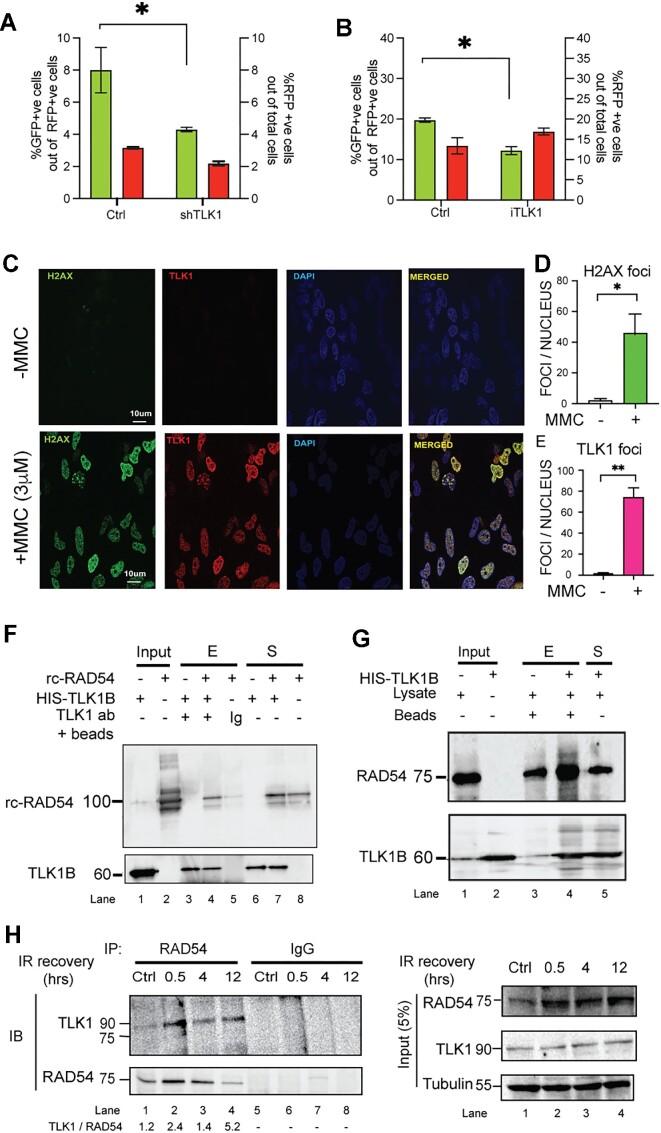
Environmental agents like ionizing radiation (IR) and chemotherapeutic drugs can cause severe damage to the DNA, often in the form of double-strand breaks (DSBs). Remaining unrepaired, DSBs can lead to chromosomal rearrangements, and cell death. One major error-free pathway to repair DSBs is homologous recombination repair (HRR). Tousled-like kinase 1 (TLK1), a Ser/Thr kinase that regulates the DNA damage checkpoint, has been found to interact with RAD54, a central DNA translocase in HRR. To determine how TLK1 regulates RAD54, we inhibited or depleted TLK1 and tested how this impacts HRR in human cells using a ISce-I-GR-DsRed fused reporter endonuclease. Our results show that TLK1 phosphorylates RAD54 at three threonines (T41, T59 and T700), two of which are located within its N-terminal domain (NTD) and one is located within its C-terminal domain (CTD). Phosphorylation at both T41 and T59 supports HRR and protects cells from DNA DSB damage. In contrast, phosphorylation of T700 leads to impaired HRR and engenders no protection to cells from cytotoxicity and rather results in repair delay. Further, our work enlightens the effect of RAD54-T700 (RAD54-CTD) phosphorylation by TLK1 in mammalian system and reveals a new site of interaction with RAD51.

摘要

环境因子,如电离辐射(IR)和化疗药物,会对 DNA 造成严重损伤,通常表现为双链断裂(DSBs)。如果未被修复,DSBs 可导致染色体重排和细胞死亡。修复 DSBs 的一个主要无差错途径是同源重组修复(HRR)。Tousled-like 激酶 1(TLK1)是一种丝氨酸/苏氨酸激酶,可调节 DNA 损伤检查点,现已发现其与 RAD54 相互作用,RAD54 是 HRR 中的核心 DNA 转位酶。为了确定 TLK1 如何调节 RAD54,我们抑制或耗尽 TLK1,并使用 ISce-I-GR-DsRed 融合报告内切酶检测这对人细胞中 HRR 的影响。我们的结果表明,TLK1 在 RAD54 的三个苏氨酸(T41、T59 和 T700)处磷酸化,其中两个位于其 N 端结构域(NTD)内,一个位于 C 端结构域(CTD)内。T41 和 T59 的磷酸化支持 HRR,并保护细胞免受 DNA DSB 损伤。相比之下,T700 的磷酸化会导致 HRR 受损,对细胞没有保护作用,反而会导致修复延迟。此外,我们的工作阐明了 TLK1 在哺乳动物系统中对 RAD54-T700(RAD54-CTD)磷酸化的影响,并揭示了与 RAD51 的新相互作用位点。

https://cdn.ncbi.nlm.nih.gov/pmc/blobs/d0d7/10484734/6459e9f7065f/gkad589figgra1.jpg

文献AI研究员

20分钟写一篇综述,助力文献阅读效率提升50倍。

立即体验

用中文搜PubMed

大模型驱动的PubMed中文搜索引擎

马上搜索

文档翻译

学术文献翻译模型,支持多种主流文档格式。

立即体验