Suppr超能文献

致死性欧洲红松鼠隐孢子虫(顶复门:隐孢子虫科),引起欧亚红松鼠致死性隐孢子虫病的物种。

Cryptosporidium mortiferum n. sp. (Apicomplexa: Cryptosporidiidae), the species causing lethal cryptosporidiosis in Eurasian red squirrels (Sciurus vulgaris).

机构信息

Faculty of Agriculture and Technology, University of South Bohemia in České Budějovice, Studentská 1668, 37005, České Budějovice, Czech Republic.

Institute of Parasitology, Biology Centre of the Czech Academy of Sciences, Branišovská 31, 370 05, České Budějovice, Czech Republic.

出版信息

Parasit Vectors. 2023 Jul 15;16(1):235. doi: 10.1186/s13071-023-05844-8.

Abstract

BACKGROUND

Cryptosporidium spp. are globally distributed parasites that infect epithelial cells in the microvillus border of the gastrointestinal tract of all classes of vertebrates. Cryptosporidium chipmunk genotype I is a common parasite in North American tree squirrels. It was introduced into Europe with eastern gray squirrels and poses an infection risk to native European squirrel species, for which infection is fatal. In this study, the biology and genetic variability of different isolates of chipmunk genotype I were investigated.

METHODS

The genetic diversity of Cryptosporidium chipmunk genotype I was analyzed by PCR/sequencing of the SSU rRNA, actin, HSP70, COWP, TRAP-C1 and gp60 genes. The biology of chipmunk genotype I, including oocyst size, localization of the life cycle stages and pathology, was examined by light and electron microscopy and histology. Infectivity to Eurasian red squirrels and eastern gray squirrels was verified experimentally.

RESULTS

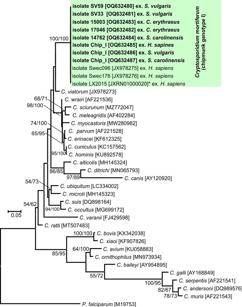
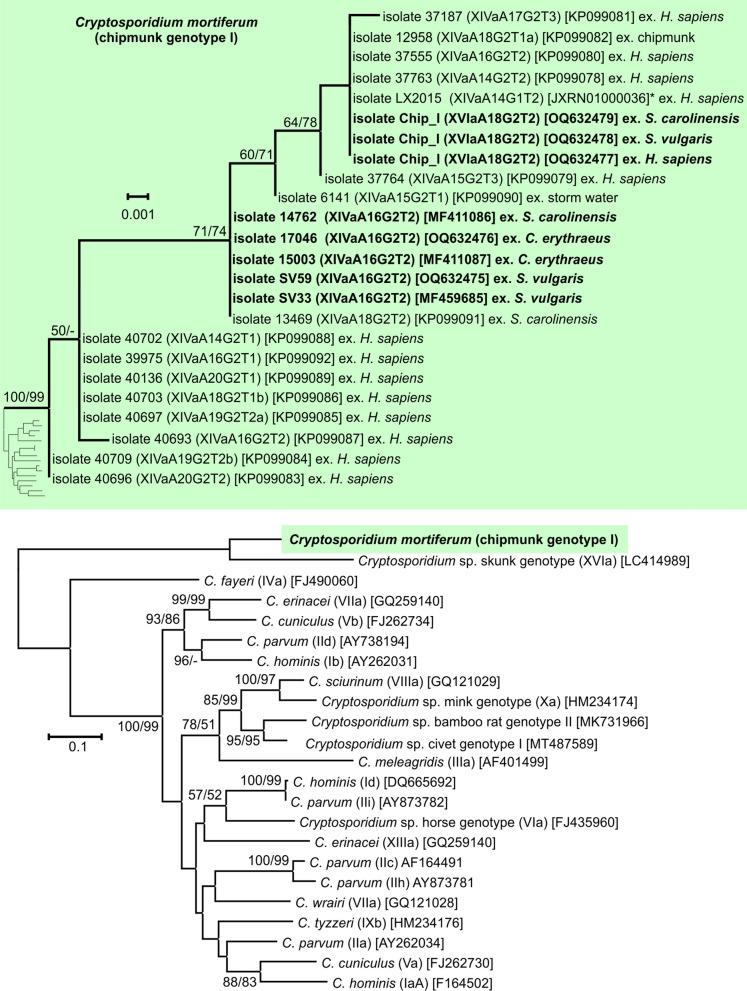
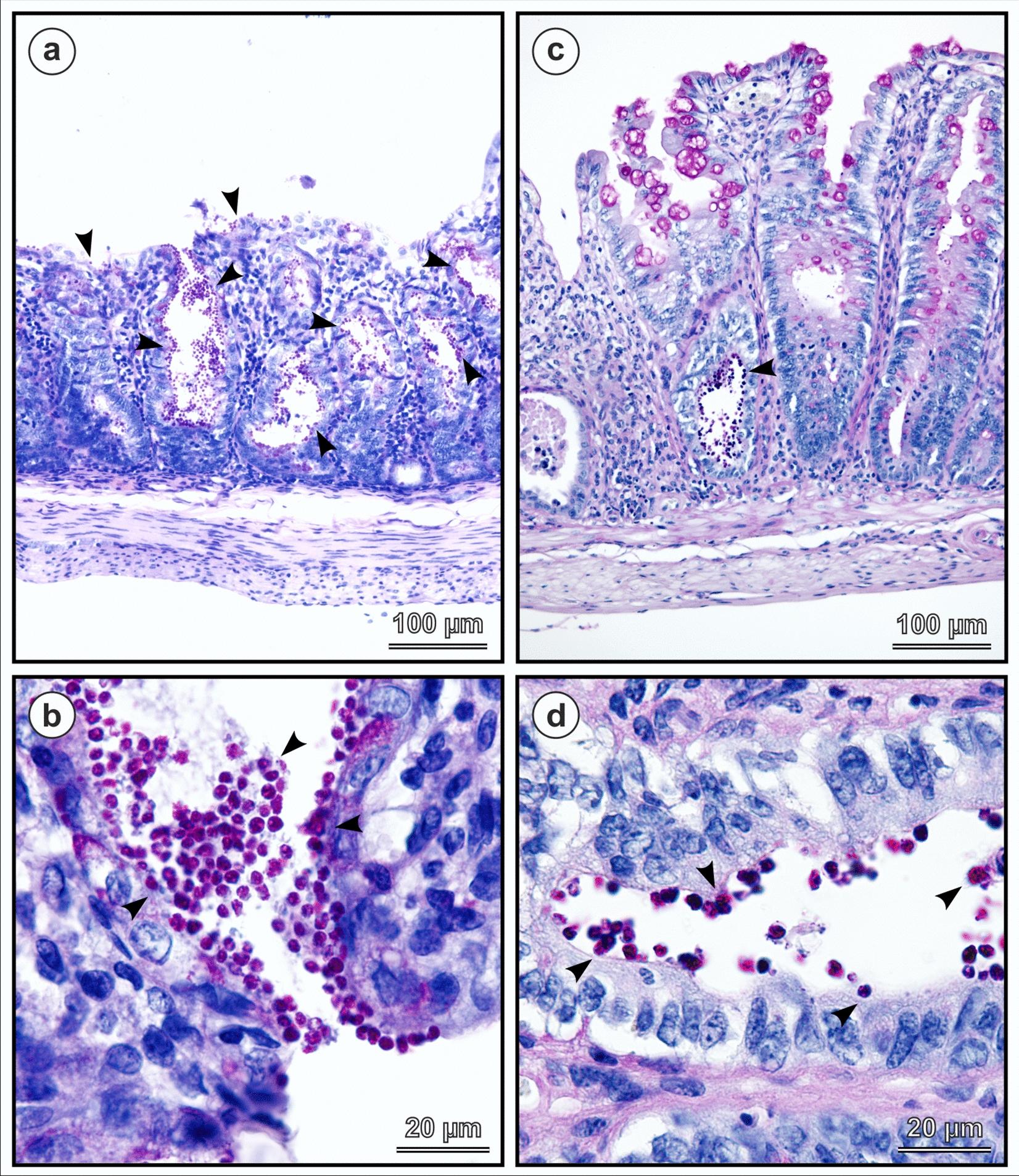
Phylogenic analyses at studied genes revealed that chipmunk genotype I is genetically distinct from other Cryptosporidium spp. No detectable infection occurred in chickens and guinea pigs experimentally inoculated with chipmunk genotype I, while in laboratory mice, ferrets, gerbils, Eurasian red squirrels and eastern gray squirrels, oocyst shedding began between 4 and 11 days post infection. While infection in mice, gerbils, ferrets and eastern gray squirrels was asymptomatic or had mild clinical signs, Eurasian red squirrels developed severe cryptosporidiosis that resulted in host death. The rapid onset of clinical signs characterized by severe diarrhea, apathy, loss of appetite and subsequent death of the individual may explain the sporadic occurrence of this Cryptosporidium in field studies and its concurrent spread in the population of native European squirrels. Oocysts obtained from a naturally infected human, the original inoculum, were 5.64 × 5.37 μm and did not differ in size from oocysts obtained from experimentally infected hosts. Cryptosporidium chipmunk genotype I infection was localized exclusively in the cecum and anterior part of the colon.

CONCLUSIONS

Based on these differences in genetics, host specificity and pathogenicity, we propose the name Cryptosporidium mortiferum n. sp. for this parasite previously known as Cryptosporidium chipmunk genotype I.

摘要

背景

隐孢子虫属是一种全球分布的寄生虫,感染所有脊椎动物类群胃肠道微绒毛边界的上皮细胞。松鼠源 1 型隐孢子虫是北美的树松鼠中常见的寄生虫。它随着东部灰松鼠传入欧洲,对当地的欧洲松鼠物种构成感染风险,而这种感染对后者是致命的。在这项研究中,我们调查了不同松鼠源 1 型隐孢子虫分离株的生物学和遗传变异性。

方法

通过 PCR/测序 SSU rRNA、肌动蛋白、HSP70、COWP、TRAP-C1 和 gp60 基因分析松鼠源 1 型隐孢子虫的遗传多样性。通过光镜和电镜以及组织学检查研究松鼠源 1 型隐孢子虫的生物学特性,包括卵囊大小、生活史阶段的定位和病理学。通过实验验证了其对欧亚红松鼠和东部灰松鼠的感染力。

结果

在研究的基因中进行的系统发育分析表明,松鼠源 1 型隐孢子虫在遗传上与其他隐孢子虫不同。用松鼠源 1 型隐孢子虫实验接种的鸡和豚鼠没有检测到感染,而在实验室小鼠、雪貂、沙鼠、欧亚红松鼠和东部灰松鼠中,卵囊脱落发生在感染后 4 至 11 天之间。虽然在小鼠、沙鼠、雪貂和东部灰松鼠中感染无症状或仅有轻度临床症状,但欧亚红松鼠则发生严重的隐孢子虫病,导致宿主死亡。临床症状的快速发作以严重腹泻、冷漠、食欲不振和随后个体死亡为特征,这可能解释了该隐孢子虫在野外研究中的偶发发生及其在当地欧洲松鼠种群中的同时传播。从一名自然感染的人类患者中获得的卵囊,其原始接种物,大小为 5.64×5.37 μm,与从实验感染宿主中获得的卵囊没有差异。松鼠源 1 型隐孢子虫感染仅局限于盲肠和结肠前段。

结论

基于遗传学、宿主特异性和致病性方面的这些差异,我们提议将以前称为松鼠源 1 型隐孢子虫的寄生虫命名为 Cryptosporidium mortiferum n. sp.

https://cdn.ncbi.nlm.nih.gov/pmc/blobs/4abe/10349434/a15a6364c84f/13071_2023_5844_Fig1_HTML.jpg

文献AI研究员

20分钟写一篇综述,助力文献阅读效率提升50倍。

立即体验

用中文搜PubMed

大模型驱动的PubMed中文搜索引擎

马上搜索

文档翻译

学术文献翻译模型,支持多种主流文档格式。

立即体验