Suppr超能文献

他达拉非对氯化铝/半乳糖诱导的大鼠阿尔茨海默病的神经调节作用:重点关注淀粉样蛋白-β、p-tau、PI3K/Akt/p53 通路、内质网应激和细胞衰老。

Neuromodulatory effect of vardenafil on aluminium chloride/D-galactose induced Alzheimer's disease in rats: emphasis on amyloid-beta, p-tau, PI3K/Akt/p53 pathway, endoplasmic reticulum stress, and cellular senescence.

机构信息

Department of Pharmacology and Toxicology, Faculty of Pharmacy, October University for Modern Sciences and Arts (MSA University), Cairo, Egypt.

Department of Pharmacology and Toxicology, Faculty of Pharmacy, Ain Shams University, Cairo, 11566, Egypt.

出版信息

Inflammopharmacology. 2023 Oct;31(5):2653-2673. doi: 10.1007/s10787-023-01287-w. Epub 2023 Jul 17.

Abstract

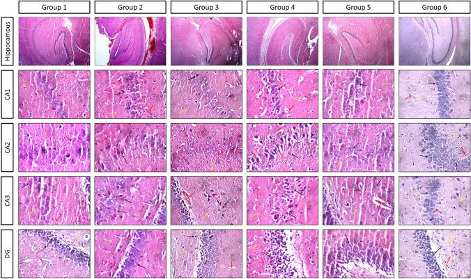
Dysregulation of protein homeostasis, proteostasis, is a distinctive hallmark of many neurodegenerative disorders and aging. Deleteriously, the accumulation of aberrant proteins in Alzheimer's disease (AD) is accompanied with a marked collapse in proteostasis network. The current study explored the potential therapeutic effect of vardenafil (VAR), a phosphodiesterase-5 inhibitor, in AlCl/D-galactose (D-gal)-induced AD in rats and its possible underlying mechanisms. The impact of VAR treatment on neurobehavioral function, hippocampal tissue architecture, and the activity of the cholinergic system main enzymes were assessed utilizing VAR at doses of 0.3 mg/kg and 1 mg/kg. Additionally, the expression level of amyloid-beta and phosphorylated tau proteins in the hippocampus were figured out. Accordingly, VAR higher dose was selected to contemplate the possible underlying mechanisms. Intriguingly, VAR elevated the cyclic guanosine monophosphate level in the hippocampus and averted the repressed proteasome activity by AlCl/D-gal; hence, VAR might alleviate the burden of toxic protein aggregates in AD. In addition, a substantial reduction in the activating transcription factor 6-mediated endoplasmic reticulum stress was demonstrated with VAR treatment. Notably, VAR counteracted the AlCl/D-gal-induced depletion of nuclear factor erythroid 2-related factor 2 level. Moreover, the anti-senescence activity of VAR was demonstrated via its ability to restore the balance of the redox circuit. The modulation of phosphatidylinositol-3-kinase/protein kinase B/p53 pathway and the reduction of nuclear factor kappa B level, the key regulator of senescence-associated secretory phenotype mediators release, with VAR treatment were also elucidated. Altogether, these findings insinuate the possible therapeutic benefits of VAR in AD management.

摘要

蛋白质动态平衡的失调,即蛋白质稳态的失调,是许多神经退行性疾病和衰老的一个独特标志。不幸的是,阿尔茨海默病(AD)中异常蛋白质的积累伴随着蛋白质稳态网络的明显崩溃。本研究探讨了磷酸二酯酶-5 抑制剂伐地那非(VAR)在 AlCl/D-半乳糖(D-gal)诱导的 AD 大鼠中的潜在治疗效果及其可能的潜在机制。使用 0.3mg/kg 和 1mg/kg 的 VAR 评估 VAR 治疗对神经行为功能、海马组织结构和胆碱能系统主要酶活性的影响。此外,还研究了海马体中淀粉样β和磷酸化 tau 蛋白的表达水平。因此,选择 VAR 的高剂量来探讨可能的潜在机制。有趣的是,VAR 增加了海马中环磷酸鸟苷的水平,并防止了 AlCl/D-gal 抑制的蛋白酶体活性;因此,VAR 可能减轻 AD 中有毒蛋白聚集体的负担。此外,VAR 治疗还证明了激活转录因子 6 介导的内质网应激的显著减少。值得注意的是,VAR 对抗了 AlCl/D-gal 诱导的核因子红细胞 2 相关因子 2 水平的耗竭。此外,VAR 通过恢复氧化还原电路的平衡来展示其抗衰老活性。还阐明了 VAR 对磷脂酰肌醇-3-激酶/蛋白激酶 B/p53 途径的调节作用和核因子 kappa B 水平的降低,核因子 kappa B 是衰老相关分泌表型介质释放的关键调节剂。总之,这些发现暗示了 VAR 在 AD 管理中的可能治疗益处。

https://cdn.ncbi.nlm.nih.gov/pmc/blobs/6b1c/10518298/e25de123680f/10787_2023_1287_Fig1_HTML.jpg

文献AI研究员

20分钟写一篇综述,助力文献阅读效率提升50倍。

立即体验

用中文搜PubMed

大模型驱动的PubMed中文搜索引擎

马上搜索

文档翻译

学术文献翻译模型,支持多种主流文档格式。

立即体验