Suppr超能文献

海藻糖对心肌梗死后大鼠模型心脏功能的影响:新型心室内压及心率变异性评估

Effect of trehalose on heart functions in rats model after myocardial infarction: assessment of novel intraventricular pressure and heart rate variability.

作者信息

Farag Ahmed, Mandour Ahmed S, Kaneda Masahiro, Elfadadny Ahmed, Elhaieg Asmaa, Shimada Kazumi, Tanaka Ryou

机构信息

Department of Veterinary Surgery, Faculty of Veterinary Medicine, Tokyo University of Agriculture and Technology, Fuchu, Japan.

Department of Surgery, Anesthesiology, and Radiology, Faculty of Veterinary Medicine, Zagazig University, Zagazig, Egypt.

出版信息

Front Cardiovasc Med. 2023 Jun 21;10:1182628. doi: 10.3389/fcvm.2023.1182628. eCollection 2023.

Abstract

BACKGROUND

Myocardial infarctions remain a leading cause of global deaths. Developing novel drugs to target cardiac remodeling after myocardial injury is challenging. There is an increasing interest in exploring natural cardioprotective agents and non-invasive tools like intraventricular pressure gradients (IVPG) and heart rate variability (HRV) analysis in myocardial infarctions. Trehalose (TRE), a natural disaccharide, shows promise in treating atherosclerosis, myocardial infarction, and neurodegenerative disorders.

OBJECTIVES

The objective of this study was to investigate the effectiveness of TRE in improving cardiac functions measured by IVPG and HRV and reducing myocardial remodeling following myocardial infarction in rat model.

METHODS

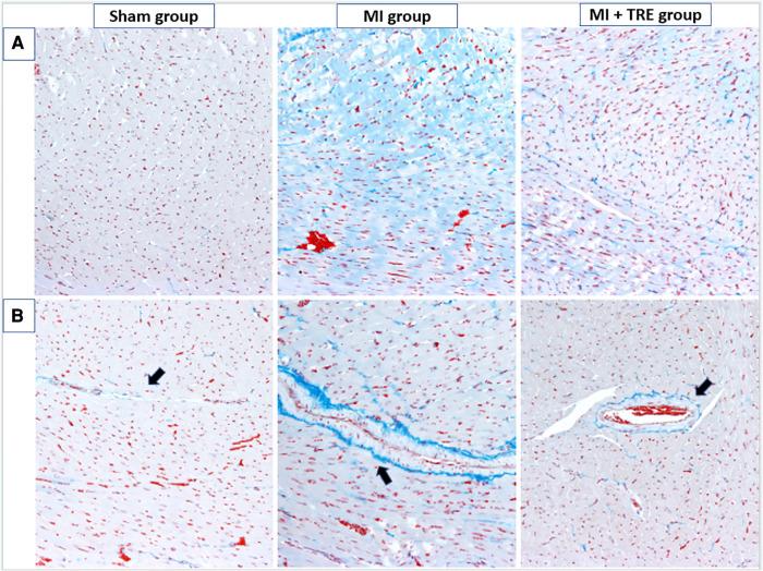
Rats were divided into three groups: sham, myocardial infarction (MI), and trehalose-treated MI (TRE) groups. The animals in the MI and TRE groups underwent permanent ligation of the left anterior descending artery. The TRE group received 2% trehalose in their drinking water for four weeks after the surgery. At the end of the experiment, heart function was assessed using conventional echocardiography, novel color M-mode echocardiography for IVPG evaluation, and HRV analysis. After euthanasia, gross image scoring, histopathology, immunohistochemistry, and quantitative real-time PCR were performed to evaluate inflammatory reactions, oxidative stress, and apoptosis.

RESULTS

The MI group exhibited significantly lower values in multiple IVPG parameters. In contrast, TRE administration showed an ameliorative effect on IVPG changes, with results comparable to the sham group. Additionally, TRE improved HRV parameters, mitigated morphological changes induced by myocardial infarction, reduced histological alterations in wall mass, and suppressed inflammatory reactions within the infarcted heart tissues. Furthermore, TRE demonstrated antioxidant, anti-apoptotic and anti-fibrotic properties.

CONCLUSION

The investigation into the effect of trehalose on a myocardial infarction rat model has yielded promising outcomes, as evidenced by improvements observed through conventional echocardiography, histological analysis, and immunohistochemical analysis. While minor trends were noticed in IVPG and HRV measurements. However, our findings offer valuable insights and demonstrate a correlation between IVPG, HRV, and other traditional markers of echo assessment in the myocardial infarction vs. sham groups. This alignment suggests the potential of IVPG and HRV as additional indicators for future research in this field.

摘要

背景

心肌梗死仍然是全球死亡的主要原因。开发针对心肌损伤后心脏重塑的新型药物具有挑战性。人们越来越有兴趣探索天然心脏保护剂以及诸如心室内压力梯度(IVPG)和心率变异性(HRV)分析等非侵入性工具在心肌梗死中的应用。海藻糖(TRE)是一种天然二糖,在治疗动脉粥样硬化、心肌梗死和神经退行性疾病方面显示出前景。

目的

本研究的目的是调查海藻糖在改善通过IVPG和HRV测量的心脏功能以及减少大鼠心肌梗死后心肌重塑方面的有效性。

方法

将大鼠分为三组:假手术组、心肌梗死(MI)组和海藻糖治疗的MI(TRE)组。MI组和TRE组的动物接受左前降支动脉永久性结扎。TRE组在手术后四周在饮水中给予2%海藻糖。实验结束时,使用传统超声心动图、用于IVPG评估的新型彩色M型超声心动图和HRV分析评估心脏功能。安乐死后,进行大体图像评分、组织病理学、免疫组织化学和定量实时PCR以评估炎症反应、氧化应激和细胞凋亡。

结果

MI组在多个IVPG参数中表现出明显较低的值。相比之下,给予海藻糖对IVPG变化有改善作用,结果与假手术组相当。此外,海藻糖改善了HRV参数,减轻了心肌梗死引起的形态学变化,减少了壁质量的组织学改变,并抑制了梗死心脏组织内的炎症反应。此外,海藻糖表现出抗氧化、抗凋亡和抗纤维化特性。

结论

对海藻糖对心肌梗死大鼠模型影响的研究取得了有希望的结果,通过传统超声心动图、组织学分析和免疫组织化学分析观察到的改善证明了这一点。虽然在IVPG和HRV测量中注意到了微小趋势。然而,我们的研究结果提供了有价值的见解,并证明了IVPG、HRV与心肌梗死组与假手术组中其他传统回声评估标志物之间的相关性。这种一致性表明IVPG和HRV作为该领域未来研究的额外指标的潜力。

https://cdn.ncbi.nlm.nih.gov/pmc/blobs/c773/10353053/629ed6264aa7/fcvm-10-1182628-g001.jpg

文献AI研究员

20分钟写一篇综述,助力文献阅读效率提升50倍。

立即体验

用中文搜PubMed

大模型驱动的PubMed中文搜索引擎

马上搜索

文档翻译

学术文献翻译模型,支持多种主流文档格式。

立即体验