Suppr超能文献

锌纳米粒子可减轻细菌脂多糖(LPS)诱导的孕鼠及其胎儿的卵巢损伤。

Zinc-nanoparticles alleviate the ovarian damage induced by bacterial lipopolysaccharide (LPS) in pregnant rats and their fetuses.

机构信息

Zoology Department, Faculty of Science, Damanhour University, Damanhour, Egypt.

Zoology Department, Faculty of Science, Kafrelsheikh University, Kafrelsheikh, Egypt.

出版信息

Histochem Cell Biol. 2023 Nov;160(5):453-475. doi: 10.1007/s00418-023-02222-4. Epub 2023 Jul 26.

Abstract

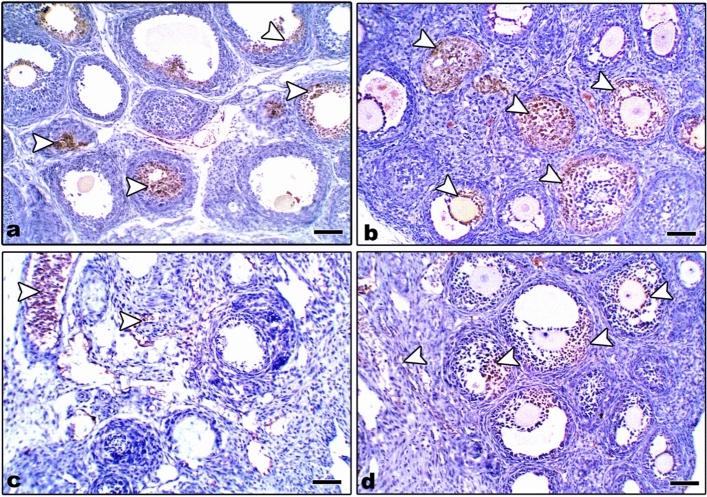
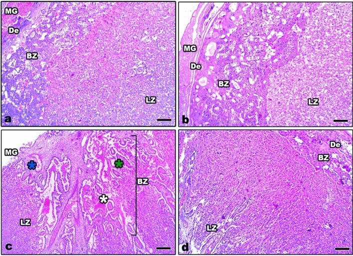
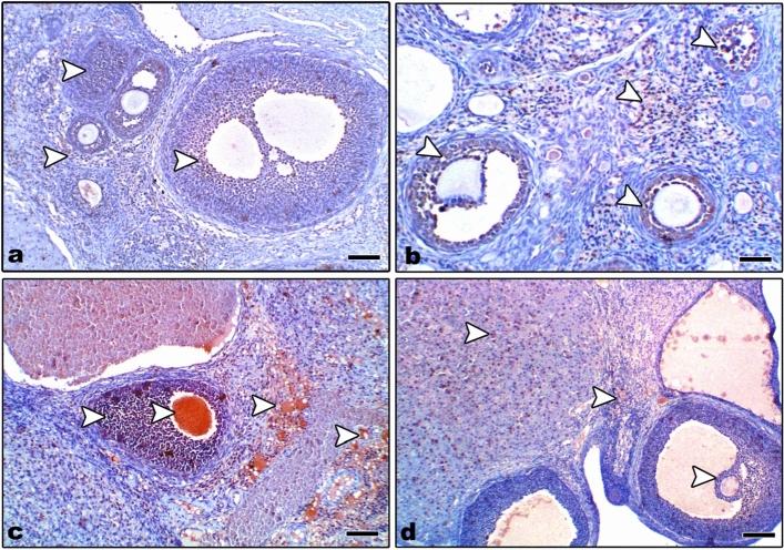
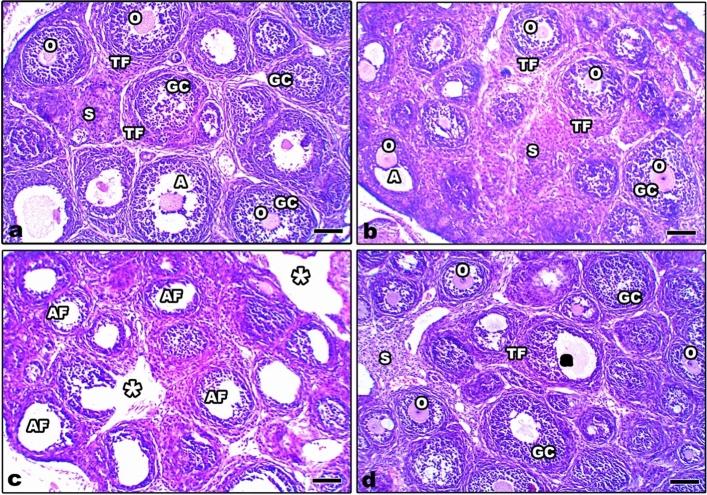
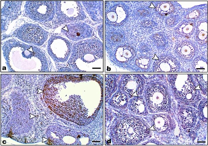
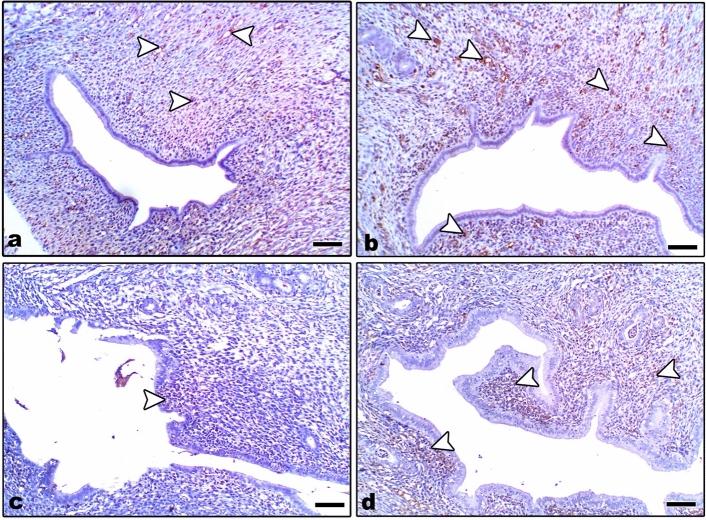
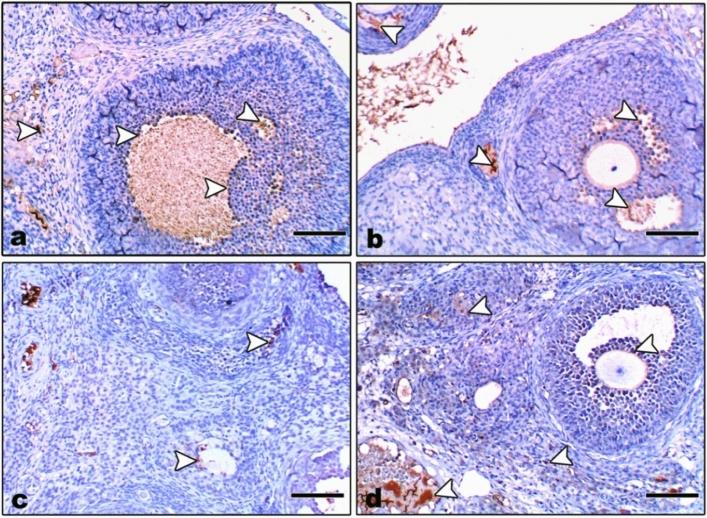
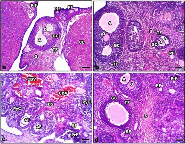
Lipopolysaccharide (LPS) is an endotoxin derived from the cell wall of Gram-negative bacteria. LPS exposure during early gestation is associated with adverse effects on the placenta as well as on developmental outcomes, including embryonic resorption, fetal death, congenital teratogenesis, and fetal growth retardation. This work aimed to explore the adverse effects of LPS injected at an early stage of gestation on the gonads of pregnant rats and the ovaries of their pups and the role of zinc nanoparticles (Zn-NPs) against these adverse effects. Twenty-four pregnant rats were used in this study. They were divided at gestation day 4 into four groups (n = 6): control, Zn-NPs (20 mg/kg orally from gestation day E14 till the end of weaning), LPS (50 µg/kg at gestation days E7 and E9), and LPS + Zn-NPs group. The body weight and placenta weight were recorded at gestational day 16. At postnatal day 21 (weaning), the mothers rats and their offspring were sacrificed and immediately dissected to remove the ovaries and uteri from the mothers and the ovaries from their offspring for subsequent biochemical, histological, and immunohistochemical investigations. The obtained results revealed that LPS exposure during early gestation caused severe histopathological alterations in the placenta, uterus, and ovaries of mothers, as well as in the ovaries of their pups. Also, the uterine and ovarian sections displayed a positive reaction for caspase-3 antibody and a negative reaction for Bcl-2 antibody, which reflects the apoptotic effect of LPS. Additionally, remarkable reductions in the levels of antioxidants (superoxide dismutase and catalase) and significant increases in malondialdehyde (MDA) levels were recorded in the serum of LPS-treated mothers and in the ovarian tissues of their offspring. Further biochemical analysis of the ovarian tissues from LPS-maternally treated offspring showed a significant increase in the levels of caspase-3, TNF-α, and TGF-β1, but a significant decrease in the level of IGF-1. On the other hand, treatment of mothers with Zn-NPs from day 14 of gestation until the weaning day (21st day postnatal) successfully ameliorated most of the deleterious histopathological, immunohistochemical, and biochemical changes induced by LPS.

摘要

脂多糖(LPS)是革兰氏阴性细菌细胞壁衍生的内毒素。妊娠早期 LPS 暴露与胎盘以及发育结果不良有关,包括胚胎吸收、胎儿死亡、先天畸形和胎儿生长迟缓。本工作旨在探讨妊娠早期 LPS 注射对孕鼠性腺和其幼崽卵巢的不良影响,以及锌纳米粒子(Zn-NPs)对这些不良影响的作用。本研究使用了 24 只孕鼠。它们在妊娠第 4 天分为四组(n=6):对照组、Zn-NPs 组(从妊娠第 14 天口服 20mg/kg 直至断奶)、LPS 组(妊娠第 7 和第 9 天注射 50µg/kg LPS)和 LPS+Zn-NPs 组。在妊娠第 16 天记录体重和胎盘重量。在产后第 21 天(断奶)处死母鼠及其幼崽,立即解剖取出母鼠的卵巢和子宫以及幼崽的卵巢,进行随后的生化、组织学和免疫组织化学研究。结果表明,妊娠早期 LPS 暴露导致母鼠的胎盘、子宫和卵巢以及其幼崽的卵巢发生严重的组织病理学改变。此外,子宫和卵巢切片对 caspase-3 抗体呈阳性反应,对 Bcl-2 抗体呈阴性反应,这反映了 LPS 的凋亡作用。此外,LPS 处理的母鼠血清中抗氧化剂(超氧化物歧化酶和过氧化氢酶)水平显著降低,丙二醛(MDA)水平显著升高,其幼崽卵巢组织也有类似结果。对 LPS 母鼠处理的幼崽卵巢组织的进一步生化分析显示,caspase-3、TNF-α 和 TGF-β1 水平显著升高,IGF-1 水平显著降低。另一方面,从妊娠第 14 天开始至断奶日(产后第 21 天)用 Zn-NPs 处理母鼠,成功改善了 LPS 引起的大多数有害的组织病理学、免疫组织化学和生化变化。

https://cdn.ncbi.nlm.nih.gov/pmc/blobs/1705/10624724/86d1ec6f9107/418_2023_2222_Fig1_HTML.jpg

文献AI研究员

20分钟写一篇综述,助力文献阅读效率提升50倍。

立即体验

用中文搜PubMed

大模型驱动的PubMed中文搜索引擎

马上搜索

文档翻译

学术文献翻译模型,支持多种主流文档格式。

立即体验