Suppr超能文献

自主推进的蛋白质马达,具有主动的无细胞 mtDNA 清除功能,可增强脓毒症相关性急性肺损伤的治疗效果。

Self-Propelled Proteomotors with Active Cell-Free mtDNA Clearance for Enhanced Therapy of Sepsis-Associated Acute Lung Injury.

机构信息

Department of Critical Care Medicine, Dongguan Institute of Respiratory and Critical Care Medicine, Affiliated Dongguan Hospital, Southern Medical University, Dongguan, 523059, China.

NMPA Key Laboratory for Research and Evaluation of Drug Metabolism & Guangdong Provincial Key Laboratory of New Drug Screening, School of Pharmaceutical Sciences, Southern Medical University, Guangzhou, 510515, China.

出版信息

Adv Sci (Weinh). 2023 Sep;10(27):e2301635. doi: 10.1002/advs.202301635. Epub 2023 Jul 30.

Abstract

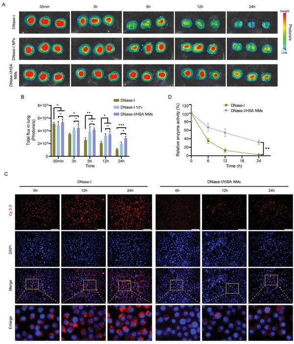
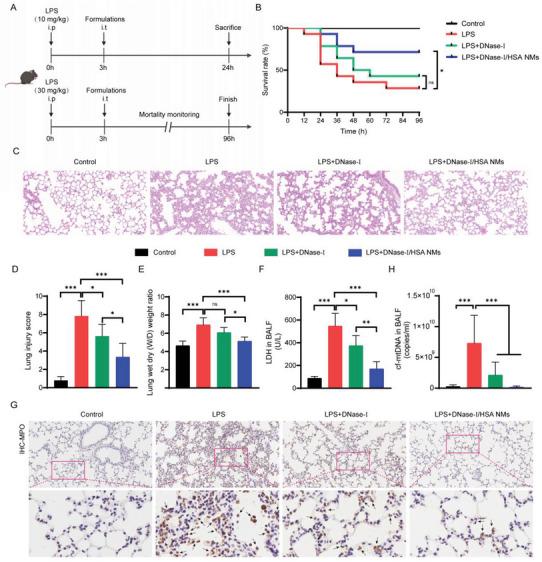
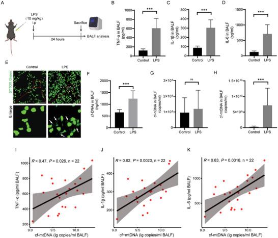
Acute lung injury (ALI) is a frequent and serious complication of sepsis with limited therapeutic options. Gaining insights into the inflammatory dysregulation that causes sepsis-associated ALI can help develop new therapeutic strategies. Herein, the crucial role of cell-free mitochondrial DNA (cf-mtDNA) in the regulation of alveolar macrophage activation during sepsis-associated ALI is identified. Most importantly, a biocompatible hybrid protein nanomotor (NM) composed of recombinant deoxyribonuclease I (DNase-I) and human serum albumin (HSA) via glutaraldehyde-mediated crosslinking is prepared to obtain an inhalable nanotherapeutic platform targeting pulmonary cf-mtDNA clearance. The synthesized DNase-I/HSA NMs are endowed with self-propulsive capability and demonstrate superior performances in stability, DNA hydrolysis, and biosafety. Pulmonary delivery of DNase-I/HSA NMs effectively eliminates cf-mtDNAs in the lungs, and also improves sepsis survival by attenuating pulmonary inflammation and lung injury. Therefore, pulmonary cf-mtDNA clearance strategy using DNase-I/HSA NMs is considered to be an attractive approach for sepsis-associated ALI.

摘要

急性肺损伤(ALI)是脓毒症的常见且严重的并发症,治疗选择有限。深入了解导致脓毒症相关 ALI 的炎症失调可以帮助开发新的治疗策略。在此,确定了细胞外线粒体 DNA(cf-mtDNA)在脓毒症相关 ALI 期间调节肺泡巨噬细胞激活中的关键作用。最重要的是,通过戊二醛介导的交联制备了由重组脱氧核糖核酸酶 I(DNase-I)和人血清白蛋白(HSA)组成的生物相容性杂合蛋白纳米马达(NM),以获得针对肺部 cf-mtDNA 清除的可吸入纳米治疗平台。合成的 DNase-I/HSA NMs 具有自推进能力,并在稳定性、DNA 水解和生物安全性方面表现出优异的性能。肺部递送 DNase-I/HSA NMs 可有效清除肺部的 cf-mtDNAs,并通过减轻肺部炎症和肺损伤来提高脓毒症的存活率。因此,使用 DNase-I/HSA NMs 清除肺部 cf-mtDNA 的策略被认为是一种有吸引力的脓毒症相关 ALI 治疗方法。

https://cdn.ncbi.nlm.nih.gov/pmc/blobs/1d8f/10520684/af317466b888/ADVS-10-2301635-g008.jpg

文献AI研究员

20分钟写一篇综述,助力文献阅读效率提升50倍。

立即体验

用中文搜PubMed

大模型驱动的PubMed中文搜索引擎

马上搜索

文档翻译

学术文献翻译模型,支持多种主流文档格式。

立即体验