Suppr超能文献

慢性 binge 乙醇喂养会加重小鼠的系统性血脂异常,从而加速肝纤维化。

Chronic-binge ethanol feeding aggravates systemic dyslipidemia in mice, thereby accelerating hepatic fibrosis.

机构信息

Department of Laboratory Medicine, Medical University Vienna, Vienna, Austria.

Department of Biochemistry, Chemistry Institute, University of Sao Paulo, Sao Paulo, Brazil.

出版信息

Front Endocrinol (Lausanne). 2023 Jul 25;14:1148827. doi: 10.3389/fendo.2023.1148827. eCollection 2023.

Abstract

OBJECTIVE

Chronic ethanol consumption is known to cause alcohol-associated liver disease, which poses a global health concern as almost a quarter of heavy drinkers develop severe liver damage. Alcohol-induced liver disease ranges from a mild, reversible steatotic liver to alcoholic steatohepatitis and irreversible liver fibrosis and cirrhosis, ultimately requiring liver transplantation. While ethanol consumption is associated with dysregulated lipid metabolism and altered cholesterol homeostasis, the impact of dyslipidemia and pre-existing hypercholesterolemia on the development of alcohol-associated liver disease remains to be elucidated.

DESIGN

To address the influence of systemic dyslipidemia on ethanol-induced liver disease, chronic-binge ethanol feeding was applied to female C57BL/6J (wild type) mice and mice deficient for the low-density lipoprotein receptor (), which display a human-like lipoprotein profile with elevated cholesterol and triglyceride levels in circulation. Respective control groups were pair-fed an isocaloric diet.

RESULTS

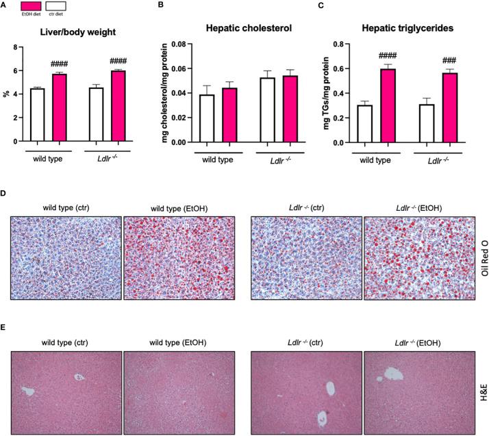
Chronic-binge ethanol feeding did not alter systemic lipid levels in wild type mice. While increased systemic cholesterol levels in mice were not affected by ethanol feeding, chronic-binge ethanol diet aggravated elevated plasma triglyceride levels in mice. Despite higher circulatory triglyceride levels in mice, hepatic lipid levels and the development of hepatic steatosis were not different from wild type mice after ethanol diet, while hepatic expression of genes related to lipid metabolism () and transport () showed minor changes. Immunohistochemical assessment indicated a lower induction of infiltrating neutrophils in the livers of ethanol-fed mice compared to wild type mice. In line, hepatic mRNA levels of the pro-inflammatory genes , , , and were reduced, indicating less inflammation in the livers of mice which was associated with reduced induction. While systemic ALT and hepatic MDA levels were not different, -deficient mice showed accelerated liver fibrosis development after chronic-binge ethanol diet than wild type mice, as indicated by increased levels of Sirius Red staining and higher expression of pro-fibrotic genes , and . and wild type mice had similar plasma ethanol levels and did not show differences in the hepatic mRNA levels of and , important for ethanol metabolism.

CONCLUSION

Our results highlight that chronic-binge ethanol feeding enhances systemic dyslipidemia in mice which might accelerate the development of hepatic fibrosis, independent of hepatic lipid levels.

摘要

目的

慢性乙醇摄入会导致酒精相关性肝病,这是一个全球性的健康问题,因为近四分之一的重度饮酒者会出现严重的肝损伤。酒精相关性肝病从轻到重依次为脂肪肝、酒精性肝炎、不可逆转的肝纤维化和肝硬化,最终需要进行肝移植。虽然乙醇摄入与脂质代谢失调和胆固醇稳态改变有关,但脂质代谢紊乱和先前存在的高胆固醇血症对酒精相关性肝病的发展的影响仍有待阐明。

设计

为了研究系统性血脂异常对乙醇诱导的肝病的影响,应用慢性 binge 乙醇喂养雌性 C57BL/6J(野生型)小鼠和低密度脂蛋白受体()缺陷小鼠,后者表现出类似于人类的脂蛋白谱,循环中胆固醇和甘油三酯水平升高。相应的对照组进行等热量饮食喂养。

结果

慢性 binge 乙醇喂养不会改变野生型小鼠的系统脂质水平。虽然 小鼠的系统胆固醇水平升高不受乙醇喂养的影响,但慢性 binge 乙醇饮食加重了 小鼠升高的血浆甘油三酯水平。尽管 小鼠的循环甘油三酯水平较高,但在乙醇饮食后,其肝内脂质水平和脂肪肝的发展与野生型小鼠没有差异,而与脂质代谢()和转运()相关的基因在肝内的表达也只有轻微变化。免疫组织化学评估表明,与野生型小鼠相比,乙醇喂养的 小鼠肝脏中浸润的中性粒细胞的诱导减少。相应地,促炎基因 、 、 、 和 的肝 mRNA 水平降低,表明 小鼠的肝脏炎症减少,与 诱导减少有关。虽然系统 ALT 和肝 MDA 水平没有差异,但 -缺陷小鼠在慢性 binge 乙醇饮食后比野生型小鼠更快地发展为肝纤维化,这表现在 Sirius Red 染色水平升高和促纤维化基因 、 和 的表达增加。 小鼠和野生型小鼠的血浆乙醇水平相似,并且在肝内 和 的 mRNA 水平上没有差异,这两个基因对乙醇代谢很重要。

结论

我们的结果强调,慢性 binge 乙醇喂养会增强 小鼠的系统性血脂紊乱,这可能会加速肝纤维化的发展,而与肝内脂质水平无关。

https://cdn.ncbi.nlm.nih.gov/pmc/blobs/6f20/10407564/0d8d5716e114/fendo-14-1148827-g001.jpg

文献AI研究员

20分钟写一篇综述,助力文献阅读效率提升50倍。

立即体验

用中文搜PubMed

大模型驱动的PubMed中文搜索引擎

马上搜索

文档翻译

学术文献翻译模型,支持多种主流文档格式。

立即体验