Suppr超能文献

非细胞自主性的染色体不稳定性癌症进展。

Non-cell-autonomous cancer progression from chromosomal instability.

机构信息

Human Oncology and Pathogenesis Program, Memorial Sloan Kettering Cancer Center, New York, NY, USA.

Department of Radiation Oncology, Memorial Sloan Kettering Cancer Center, New York, NY, USA.

出版信息

Nature. 2023 Aug;620(7976):1080-1088. doi: 10.1038/s41586-023-06464-z. Epub 2023 Aug 23.

Abstract

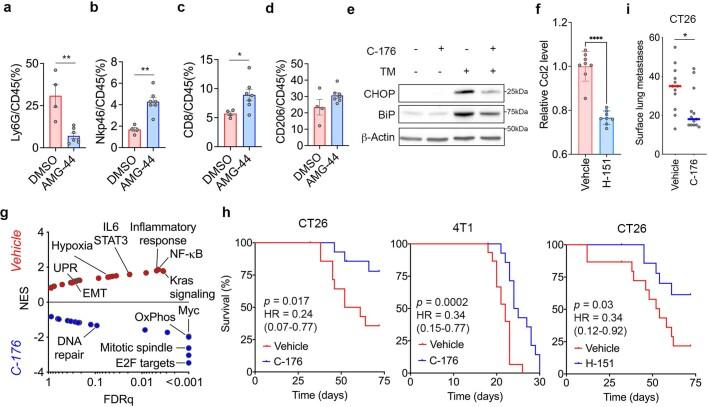
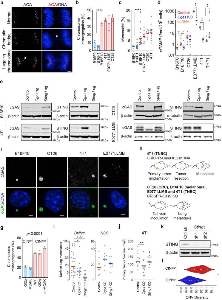
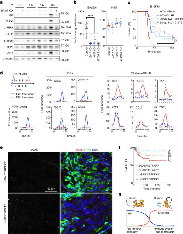
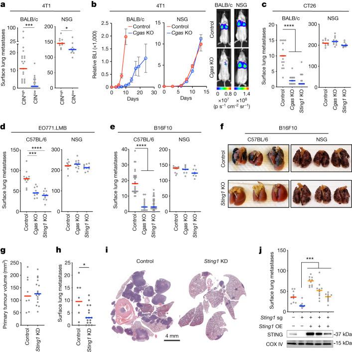
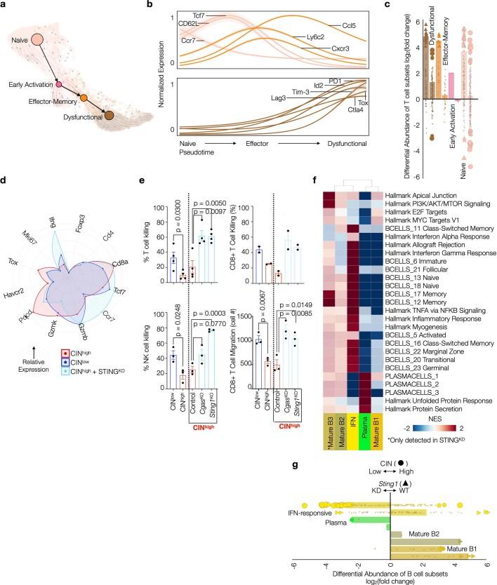
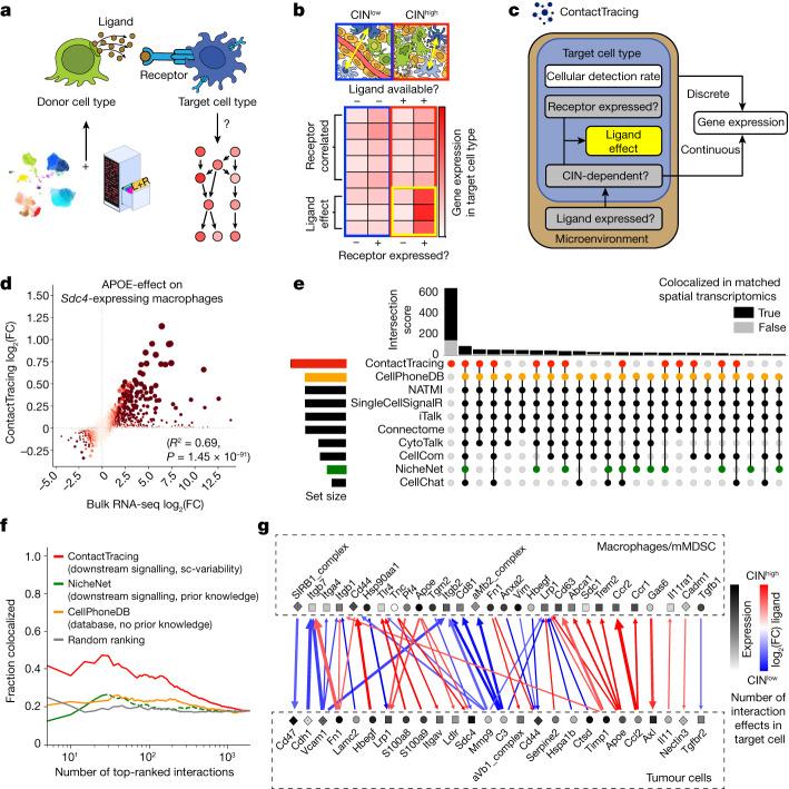
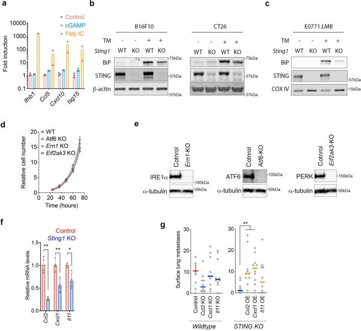
Chromosomal instability (CIN) is a driver of cancer metastasis, yet the extent to which this effect depends on the immune system remains unknown. Using ContactTracing-a newly developed, validated and benchmarked tool to infer the nature and conditional dependence of cell-cell interactions from single-cell transcriptomic data-we show that CIN-induced chronic activation of the cGAS-STING pathway promotes downstream signal re-wiring in cancer cells, leading to a pro-metastatic tumour microenvironment. This re-wiring is manifested by type I interferon tachyphylaxis selectively downstream of STING and a corresponding increase in cancer cell-derived endoplasmic reticulum (ER) stress response. Reversal of CIN, depletion of cancer cell STING or inhibition of ER stress response signalling abrogates CIN-dependent effects on the tumour microenvironment and suppresses metastasis in immune competent, but not severely immune compromised, settings. Treatment with STING inhibitors reduces CIN-driven metastasis in melanoma, breast and colorectal cancers in a manner dependent on tumour cell-intrinsic STING. Finally, we show that CIN and pervasive cGAS activation in micronuclei are associated with ER stress signalling, immune suppression and metastasis in human triple-negative breast cancer, highlighting a viable strategy to identify and therapeutically intervene in tumours spurred by CIN-induced inflammation.

摘要

染色体不稳定 (CIN) 是癌症转移的驱动因素,但这种影响在多大程度上依赖于免疫系统尚不清楚。使用 ContactTracing——一种新开发的、经过验证和基准测试的工具,可以从单细胞转录组数据推断细胞间相互作用的性质和条件依赖性——我们表明,CIN 诱导的 cGAS-STING 途径的慢性激活促进了癌细胞下游信号的重新布线,导致有利于转移的肿瘤微环境。这种重新布线表现为 I 型干扰素对 STING 的选择性脱敏,以及癌细胞来源的内质网 (ER) 应激反应相应增加。CIN 的逆转、癌细胞 STING 的耗竭或 ER 应激反应信号通路的抑制消除了 CIN 对肿瘤微环境的依赖性影响,并抑制了免疫功能正常但严重免疫受损环境中的转移。STING 抑制剂的治疗以依赖于肿瘤细胞内在的 STING 的方式减少黑色素瘤、乳腺癌和结直肠癌中的 CIN 驱动转移。最后,我们表明,微核中的 CIN 和普遍的 cGAS 激活与人类三阴性乳腺癌中的 ER 应激信号、免疫抑制和转移相关,这突显了一种可行的策略,可以识别和治疗由 CIN 诱导的炎症引发的肿瘤。

https://cdn.ncbi.nlm.nih.gov/pmc/blobs/0815/10468402/bcc1594f7752/41586_2023_6464_Fig1_HTML.jpg

文献AI研究员

20分钟写一篇综述,助力文献阅读效率提升50倍。

立即体验

用中文搜PubMed

大模型驱动的PubMed中文搜索引擎

马上搜索

文档翻译

学术文献翻译模型,支持多种主流文档格式。

立即体验