Suppr超能文献

一种新型转基因小鼠模型提示 作为肝细胞癌的促进剂。

A Novel Transgenic Mouse Model Implicates as a Promoter of Hepatocellular Carcinoma.

机构信息

Division of Genetic and Genomic Medicine, Department of Pediatrics, University of Pittsburgh School of Medicine, University of Pittsburgh, Pittsburgh, PA 15260, USA.

Pittsburgh Liver Research Center, University of Pittsburgh Medical Center, Pittsburgh, PA 15213, USA.

出版信息

Int J Mol Sci. 2023 Aug 9;24(16):12618. doi: 10.3390/ijms241612618.

Abstract

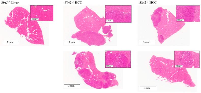
Hepatocellular carcinoma (HCC) is one of the leading causes of cancer deaths globally. Incidence rates are steadily increasing, creating an unmet need for new therapeutic options. Recently, the inhibition of sirtuin-2 () was proposed as a potential treatment for HCC, despite contradictory findings of its role as both a tumor promoter and suppressor in vitro. functions as a lysine deacetylase enzyme. However, little is known about its biological influence, despite its implication in several age-related diseases. This study evaluated 's role in HCC in vivo using an inducible transgene in and mice. HCC mice had smaller, less proliferative, and more differentiated liver tumors, suggesting that functions as a tumor promoter in this context. Furthermore, HCCs had significantly less c-MYC oncoprotein and reduction in c-MYC nuclear localization. The RNA-seq showed that only three genes were significantly dysregulated due to loss of , suggesting the underlying mechanism is due to -mediated changes in the acetylome, and that the therapeutic inhibition of would not perturb the oncogenic transcriptome. The findings of this study suggest that inhibition could be a promising molecular target for slowing HCC growth.

摘要

肝细胞癌(HCC)是全球癌症死亡的主要原因之一。发病率稳步上升,因此需要新的治疗选择。最近,抑制组蛋白去乙酰化酶 2()被提议作为 HCC 的潜在治疗方法,尽管其在体外作为肿瘤促进剂和抑制剂的作用存在矛盾的发现。作为一种赖氨酸去乙酰化酶酶发挥作用。然而,尽管它与几种与年龄相关的疾病有关,但对其生物学影响知之甚少。本研究使用和 小鼠中的诱导型转基因组评估了在 HCC 中的作用。 HCC 小鼠的肝脏肿瘤更小、增殖能力更低、分化程度更高,表明在这种情况下,作为肿瘤促进剂发挥作用。此外,HCC 中的 c-MYC 癌蛋白明显减少,c-MYC 核定位减少。RNA-seq 显示,由于丧失功能,只有三个基因明显失调,这表明潜在的机制是由于介导的乙酰化组变化,而对的治疗性抑制不会扰乱致癌转录组。这项研究的结果表明,抑制可能是减缓 HCC 生长的有前途的分子靶点。

https://cdn.ncbi.nlm.nih.gov/pmc/blobs/3475/10454864/9eae935ff61d/ijms-24-12618-g001.jpg

文献AI研究员

20分钟写一篇综述,助力文献阅读效率提升50倍。

立即体验

用中文搜PubMed

大模型驱动的PubMed中文搜索引擎

马上搜索

文档翻译

学术文献翻译模型,支持多种主流文档格式。

立即体验