Suppr超能文献

HIV诱导的神经炎症和突触病变与患HAND小鼠学习记忆障碍的相关性

Correlation of HIV-Induced Neuroinflammation and Synaptopathy with Impairment of Learning and Memory in Mice with HAND.

作者信息

Keledjian Kaspar, Makar Tapas, Zhang Chenyu, Zhang Jiantao, Shim Bosung, Davis Harry, Bryant Joseph, Gerzanich Volodymyr, Simard J Marc, Zhao Richard Y

机构信息

Department of Neurosurgery, University of Maryland School of Medicine, Baltimore, MD 21201, USA.

Department of Pathology, University of Maryland School of Medicine, Baltimore, MD 21201, USA.

出版信息

J Clin Med. 2023 Aug 8;12(16):5169. doi: 10.3390/jcm12165169.

Abstract

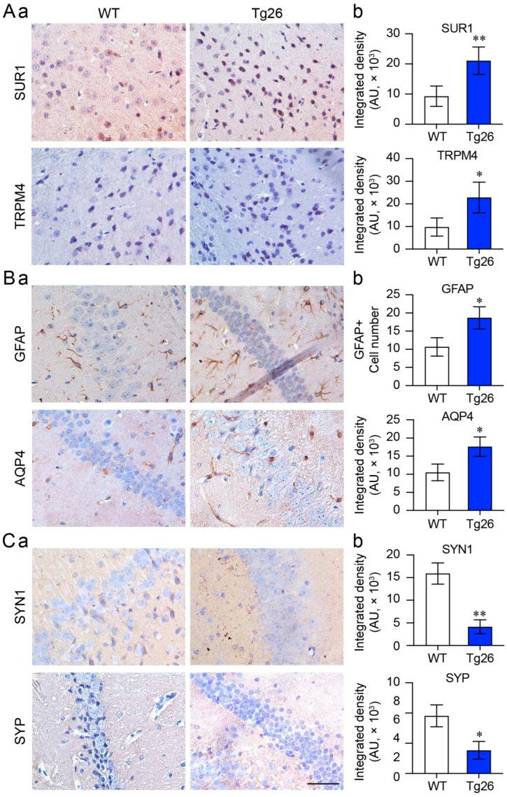
Over 38 million people worldwide are living with HIV/AIDS, and more than half of them are affected by HIV-associated neurocognitive disorders (HAND). Such disorders are characterized by chronic neuroinflammation, neurotoxicity, and central nervous system deterioration, which lead to short- or long-term memory loss, cognitive impairment, and motor skill deficits that may show gender disparities. However, the underlying mechanisms remain unclear. Our previous study suggested that HIV-1 infection and viral protein R (Vpr) upregulate the SUR1-TRPM4 channel associated with neuroinflammation, which may contribute to HAND. The present study aimed to explore this relationship in a mouse model of HAND. This study employed the HIV transgenic Tg26 mouse model, comparing Tg26 mice with wildtype mice in various cognitive behavioral and memory tests, including locomotor activity tests, recognition memory tests, and spatial learning and memory tests. The study found that Tg26 mice exhibited impaired cognitive skills and reduced learning abilities compared to wildtype mice, particularly in spatial memory. Interestingly, male Tg26 mice displayed significant differences in spatial memory losses ( < 0.001), while no significant differences were identified in female mice. Consistent with our early results, SUR1-TRPM4 channels were upregulated in Tg26 mice along with glial fibrillary acidic protein (GFAP) and aquaporin 4 (AQP4), consistent with reactive astrocytosis and neuroinflammation. Corresponding reductions in neurosynaptic responses, as indicated by downregulation of Synapsin-1 (SYN1) and Synaptophysin (SYP), suggested synaptopathy as a possible mechanism underlying cognitive and motor skill deficits. In conclusion, our study suggests a possible relationship between SUR1-TRPM4-mediated neuroinflammation and synaptopathy with impairments of learning and memory in mice with HAND. These findings could help to develop new therapeutic strategies for individuals living with HAND.

摘要

全球有超过3800万人感染了艾滋病毒/艾滋病,其中一半以上受到与艾滋病毒相关的神经认知障碍(HAND)的影响。这些障碍的特征是慢性神经炎症、神经毒性和中枢神经系统退化,会导致短期或长期记忆丧失、认知障碍和运动技能缺陷,这些可能存在性别差异。然而,其潜在机制仍不清楚。我们之前的研究表明,HIV-1感染和病毒蛋白R(Vpr)会上调与神经炎症相关的SUR1-TRPM4通道,这可能导致HAND。本研究旨在通过HAND小鼠模型探索这种关系。本研究采用了HIV转基因Tg26小鼠模型,在各种认知行为和记忆测试中,将Tg26小鼠与野生型小鼠进行比较,包括运动活动测试、识别记忆测试以及空间学习和记忆测试。研究发现,与野生型小鼠相比,Tg26小鼠表现出认知技能受损和学习能力下降,尤其是在空间记忆方面。有趣的是,雄性Tg26小鼠在空间记忆丧失方面存在显著差异(P<0.001),而雌性小鼠未发现显著差异。与我们早期的结果一致,Tg26小鼠中SUR1-TRPM4通道与胶质纤维酸性蛋白(GFAP)和水通道蛋白4(AQP4)一起上调,这与反应性星形胶质细胞增生和神经炎症一致。突触素-1(SYN1)和突触囊泡蛋白(SYP)的下调表明神经突触反应相应减少,提示突触病变是认知和运动技能缺陷的一种可能机制。总之,我们的研究表明,在HAND小鼠中,SUR1-TRPM4介导的神经炎症与突触病变之间可能存在关系,并伴有学习和记忆障碍。这些发现有助于为HAND患者开发新的治疗策略。

https://cdn.ncbi.nlm.nih.gov/pmc/blobs/071e/10455390/a7916a22e504/jcm-12-05169-g001.jpg

文献AI研究员

20分钟写一篇综述,助力文献阅读效率提升50倍。

立即体验

用中文搜PubMed

大模型驱动的PubMed中文搜索引擎

马上搜索

文档翻译

学术文献翻译模型,支持多种主流文档格式。

立即体验