Suppr超能文献

通过沉默泛素-蛋白酶体/E3 连接酶组件 SKP1A 建立散发性帕金森病模型。

A sporadic Parkinson's disease model via silencing of the ubiquitin-proteasome/E3 ligase component, SKP1A.

机构信息

Youdim Pharmaceutical Ltd, New Northern Industrial Park, 1 Ha- Tsmikha St, Stern Building, Fl-3, P. O. Box 72, 2069207, Yokneam, Israel.

出版信息

J Neural Transm (Vienna). 2024 Jun;131(6):675-707. doi: 10.1007/s00702-023-02687-6. Epub 2023 Aug 29.

Abstract

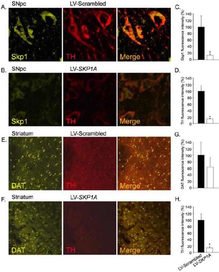
Our and other's laboratory microarray-derived transcriptomic studies in human PD substantia nigra pars compacta (SNpc) samples have opened an avenue to concentrate on potential gene intersections or cross-talks along the dopaminergic (DAergic) neurodegenerative cascade in sporadic PD (SPD). One emerging gene candidate identified was SKP1A (p19, S-phase kinase-associated protein 1A), found significantly decreased in the SNpc as confirmed later at the protein level. SKP1 is part of the Skp1, Cullin 1, F-box protein (SCF) complex, the largest known class of sophisticated ubiquitin-proteasome/E3-ligases and was found to directly interact with FBXO7, a gene defective in PARK15-linked PD. This finding has led us to the hypothesis that a targeted site-specific reduction of Skp1 levels in DAergic neuronal cell culture and animal systems may result in a progressive loss of DAergic neurons and hopefully recreate motor disabilities in animals. The second premise considers the possibility that both intrinsic and extrinsic factors (e.g., manipulation of selected genes and mitochondria impairing toxins), alleged to play central roles in DAergic neurodegeneration in PD, may act in concert as modifiers of Skp1 deficiency-induced phenotype alterations ('dual-hit' hypothesis of neurodegeneration). To examine a possible role of Skp1 in DAergic phenotype, we have initially knocked down the expression of SKP1A gene in an embryonic mouse SN-derived cell line (SN4741) with short hairpin RNA (shRNA) lentiviruses (LVs). The deficiency of SKP1A closely recapitulated cardinal features of the DAergic pathology of human PD, such as decreased expression of DAergic phenotypic markers and cell cycle aberrations. Furthermore, the knocked down cells displayed a lethal phenotype when induced to differentiate exhibiting proteinaceous round inclusion structures, which were almost identical in composition to human Lewy bodies, a hallmark of PD. These findings support a role for Skp1 in neuronal phenotype, survival, and differentiation. The identification of Skp1 as a key player in DAergic neuron function suggested that a targeted site-specific reduction of Skp1 levels in mice SNpc may result in a progressive loss of DAergic neurons and terminal projections in the striatum. The injected LV SKP1shRNA to mouse SN resulted in decreased expression of Skp1 protein levels within DAergic neurons and loss of tyrosine hydroxylase immunoreactivity (TH-IR) in both SNpc and striatum that was accompanied by time-dependent motor disabilities. The reduction of the vertical movements, that is rearing, may be reminiscent of the early occurrence of hypokinesia and axial, postural instability in PD. According to the 'dual-hit' hypothesis of neurodegenerative diseases, it is predicted that gene-gene and/or gene-environmental factors would act in concert or sequentially to propagate the pathological process of PD. Our findings are compatible with this conjecture showing that the genetic vulnerability caused by knock down of SKP1A renders DAergic SN4741 cells especially sensitive to genetic reduction of Aldh1 and exposure to the external stressors MPP and DA, which have been implicated in PD pathology. Future consideration should be given in manipulation SKP1A expression as therapeutic window, via its induction genetically or pharmacological, to prevent degeneration of the nigra striatal dopamine neurons, since UPS is defective.

摘要

我们和其他实验室的基于微阵列的人类 PD 黑质致密部(SNpc)样本转录组学研究为研究散发性 PD(SPD)中沿着多巴胺能(DAergic)神经退行性级联的潜在基因交集或串扰开辟了途径。在 SPD 中,一个新确定的候选基因是 SKP1A(p19,S 期激酶相关蛋白 1A),后来在蛋白质水平上得到证实,其在 SNpc 中显著减少。SKP1 是 Skp1、Cullin 1、F-box 蛋白(SCF)复合物的一部分,是已知最大的复杂泛素-蛋白酶体/E3 连接酶类之一,并且发现它与 FBXO7 直接相互作用,FBXO7 是与 PARK15 相关 PD 中的缺陷基因。这一发现使我们假设,在 DAergic 神经元细胞培养和动物系统中靶向特定部位降低 Skp1 水平可能导致 DAergic 神经元的进行性丧失,并有望在动物中重现运动障碍。第二个前提是考虑到内在和外在因素(例如,操纵选定的基因和破坏线粒体的毒素)可能在 PD 中的 DAergic 神经退行性变中起核心作用,它们可能作为 Skp1 缺乏诱导表型改变的修饰因子(神经退行性变的“双重打击”假说)协同作用。为了研究 Skp1 在 DAergic 表型中的可能作用,我们最初使用短发夹 RNA(shRNA)慢病毒(LVs)在胚胎鼠 SN 衍生细胞系(SN4741)中敲低 SKP1A 基因的表达。SKP1A 的缺乏紧密地重现了人类 PD 的 DAergic 病理学的主要特征,例如 DAergic 表型标志物的表达减少和细胞周期异常。此外,当诱导分化时,敲低的细胞表现出致命表型,显示出蛋白状圆形包涵体结构,其组成几乎与人类路易体相同,这是 PD 的一个标志。这些发现支持 Skp1 在神经元表型、存活和分化中的作用。将 Skp1 鉴定为 DAergic 神经元功能的关键参与者表明,在小鼠 SNpc 中靶向特定部位降低 Skp1 水平可能导致 DAergic 神经元和纹状体中的终末投射进行性丧失。将 LV SKP1shRNA 注射到小鼠 SN 中导致 DAergic 神经元中 Skp1 蛋白水平的表达降低,并且在 SNpc 和纹状体中酪氨酸羟化酶免疫反应性(TH-IR)丧失,同时伴有时间依赖性运动障碍。垂直运动的减少,即站立,可能使人联想到 PD 中早期出现的运动减少和轴向、姿势不稳定。根据神经退行性疾病的“双重打击”假说,预计基因-基因和/或基因-环境因素将协同或顺序作用,以促进 PD 的病理过程。我们的发现与这一推测一致,表明 SKP1A 的敲低引起的遗传脆弱性使 DAergic SN4741 细胞特别容易受到 Aldh1 的遗传减少和外部应激物 MPP 和 DA 的影响,这些物质已被牵连到 PD 病理学中。未来应考虑操纵 SKP1A 的表达作为治疗窗口,通过遗传或药理学诱导其表达,以防止黑质纹状体多巴胺神经元的退化,因为 UPS 有缺陷。

https://cdn.ncbi.nlm.nih.gov/pmc/blobs/36b1/11192832/ffb6be26cd7c/702_2023_2687_Fig1_HTML.jpg

文献AI研究员

20分钟写一篇综述,助力文献阅读效率提升50倍。

立即体验

用中文搜PubMed

大模型驱动的PubMed中文搜索引擎

马上搜索

文档翻译

学术文献翻译模型,支持多种主流文档格式。

立即体验