Suppr超能文献

氧化锌(无论是常规形式还是纳米形式)对双酚 A 毒性的改善作用及其对成年雄性大鼠生殖性能、氧化状态、基因表达和组织病理学的影响。

Ameliorative Effects of Zinc Oxide, in Either Conventional or Nanoformulation, Against Bisphenol A Toxicity on Reproductive Performance, Oxidative Status, Gene Expression and Histopathology in Adult Male Rats.

机构信息

Physiology Department, Faculty of Veterinary Medicine, Minia University, El-Minia, 61519, Egypt.

Physiology Department, Faculty of Veterinary Medicine, Beni-Suef University, Beni-Suef, 62511, Egypt.

出版信息

Biol Trace Elem Res. 2024 May;202(5):2143-2157. doi: 10.1007/s12011-023-03830-w. Epub 2023 Sep 8.

Abstract

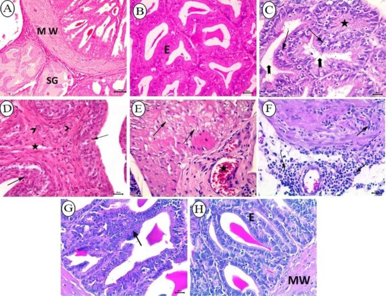
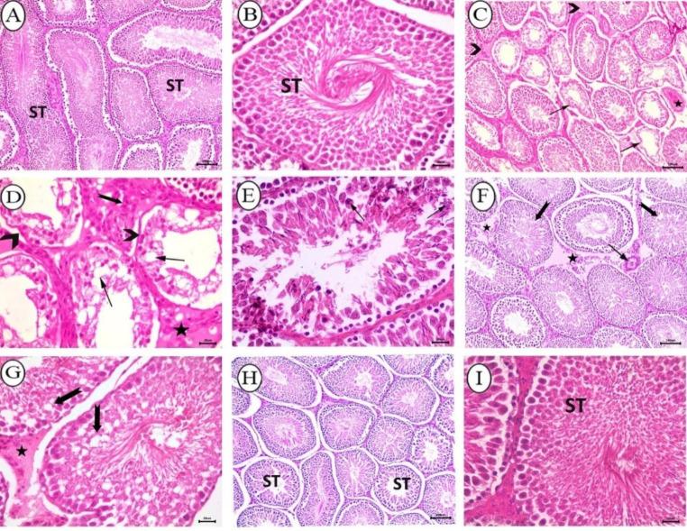
Bisphenol A (BPA) is a widely used endocrine disruptor that represents a significant risk to male reproductive function. Zinc (Zn) is vital for appropriate development of testes and to guarantee optimal testicular function and spermatogenesis. Our goal was to investigate if zinc oxide (ZnO), either in conventional or nanoformulation, could safeguard adult male rats' reproductive performance against the damaging effects of BPA. Signaling expression of CYP11A1 and Nrf-2 in the testis, testicular oxidant-antioxidant status, Bax/Bcl-2 apoptotic ratio, and histological examination of various reproductive organs were all evaluated. Twenty-eight adult male albino rats were divided randomly into 4 groups (7 animals each) including the control, BPA, conventional zinc oxide (cZnO) + BPA, and zinc oxide nanoparticles (ZnO-NPs) + BPA groups. The study was extended for 2 successive months. Our findings revealed strong negative effects of BPA on sperm cell characteristics such as sperm motility, viability, concentration and abnormalities. Additionally, BPA reduced serum levels of testosterone, triiodothyronine (T3), and thyroxine (T4). Also, it evoked marked oxidative stress in the testes; elevating malondialdehyde (MDA) and reducing total antioxidant capacity (TAC). BPA significantly downregulated testicular mRNA relative expression levels of CYP11A1 and Nrf-2, compared to control. Testicular apoptosis was also prompted by increasing Bax/ Bcl-2 ratio in testicular tissue. Histopathological findings in the testes, epididymis, prostate gland, and seminal vesicle confirmed the detrimental effects of BPA. Interestingly, cZnO and ZnO-NPs significantly alleviated all negative effects of BPA, but ZnO-NPs performed better. In conclusion, our findings point to ZnO, specifically ZnO-NPs, as a viable treatment for BPA-induced testicular dysfunction.

摘要

双酚 A(BPA)是一种广泛使用的内分泌干扰物,对男性生殖功能构成重大风险。锌(Zn)对于睾丸的适当发育以及保证最佳睾丸功能和精子发生至关重要。我们的目标是研究氧化锌(ZnO),无论是常规形式还是纳米形式,是否可以保护成年雄性大鼠的生殖性能免受 BPA 的损害。评估 CYP11A1 和 Nrf-2 在睾丸中的信号表达、睾丸氧化应激-抗氧化状态、Bax/Bcl-2 凋亡比以及各种生殖器官的组织学检查。将 28 只成年雄性白化大鼠随机分为 4 组(每组 7 只),包括对照组、BPA 组、常规氧化锌(cZnO)+BPA 组和氧化锌纳米颗粒(ZnO-NPs)+BPA 组。研究持续了 2 个月。我们的研究结果表明,BPA 对精子细胞的特征(如精子活力、活力、浓度和异常)有强烈的负面影响。此外,BPA 降低了血清中睾丸激素、三碘甲状腺原氨酸(T3)和甲状腺素(T4)的水平。此外,它在睾丸中引起明显的氧化应激,增加丙二醛(MDA)并降低总抗氧化能力(TAC)。与对照组相比,BPA 显著下调了 CYP11A1 和 Nrf-2 的睾丸 mRNA 相对表达水平。睾丸组织中 Bax/Bcl-2 比率的增加也提示了睾丸细胞凋亡。睾丸、附睾、前列腺和精囊的组织病理学发现证实了 BPA 的有害作用。有趣的是,cZnO 和 ZnO-NPs 显著缓解了 BPA 的所有负面影响,但 ZnO-NPs 的效果更好。总之,我们的研究结果表明,ZnO,特别是 ZnO-NPs,是治疗 BPA 诱导的睾丸功能障碍的一种可行方法。

https://cdn.ncbi.nlm.nih.gov/pmc/blobs/a589/10954980/4641fd6e2017/12011_2023_3830_Fig2_HTML.jpg

文献AI研究员

20分钟写一篇综述,助力文献阅读效率提升50倍。

立即体验

用中文搜PubMed

大模型驱动的PubMed中文搜索引擎

马上搜索

文档翻译

学术文献翻译模型,支持多种主流文档格式。

立即体验