Suppr超能文献

DMRT1 调控人类生殖系细胞的特化。

DMRT1 regulates human germline commitment.

机构信息

Wellcome Trust/Cancer Research UK Gurdon Institute, Henry Wellcome Building of Cancer and Developmental Biology, Cambridge, UK.

Metabolic Systems Laboratory, Live Imaging Center, Central Institute for Experimental Animals, Kanagawa, Japan.

出版信息

Nat Cell Biol. 2023 Oct;25(10):1439-1452. doi: 10.1038/s41556-023-01224-7. Epub 2023 Sep 14.

Abstract

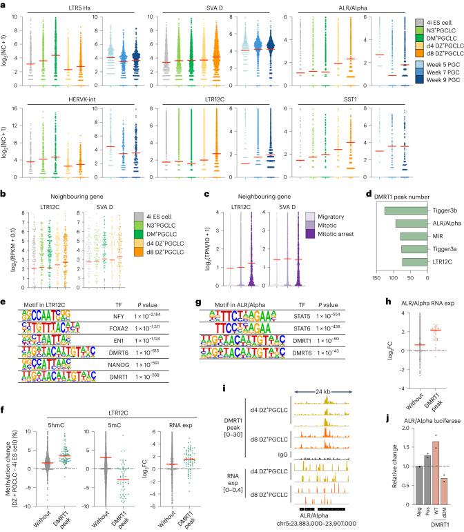
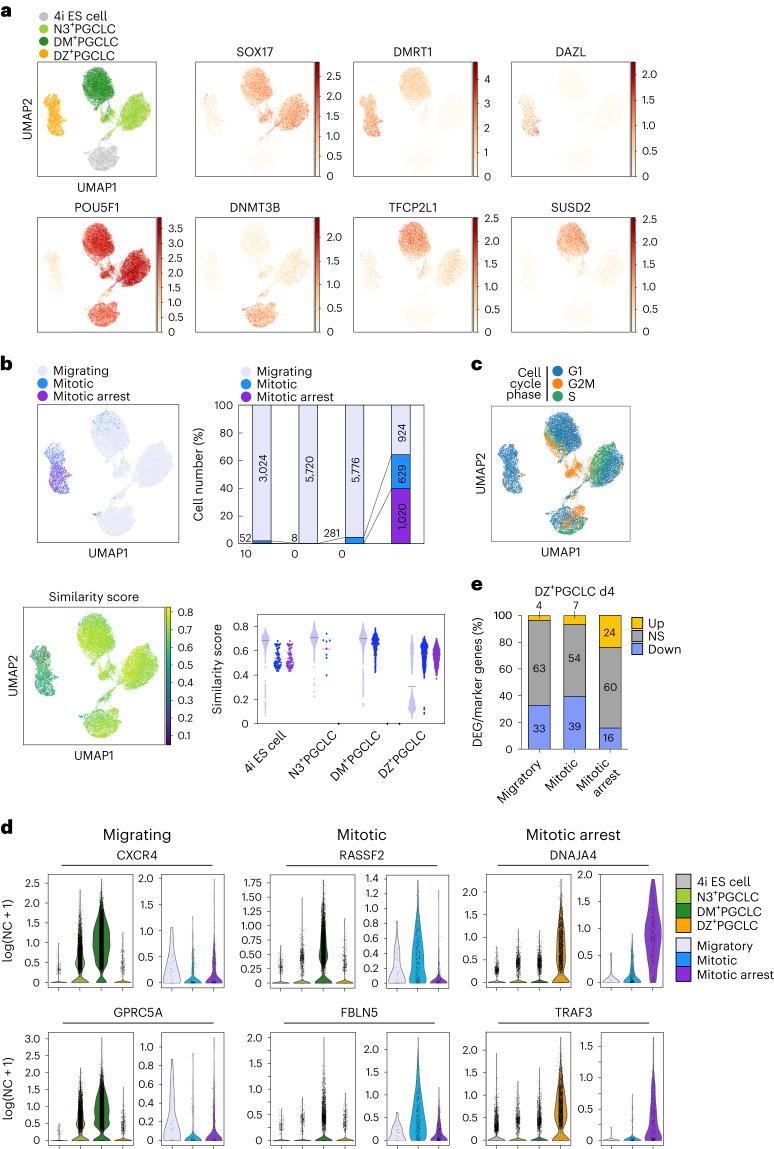
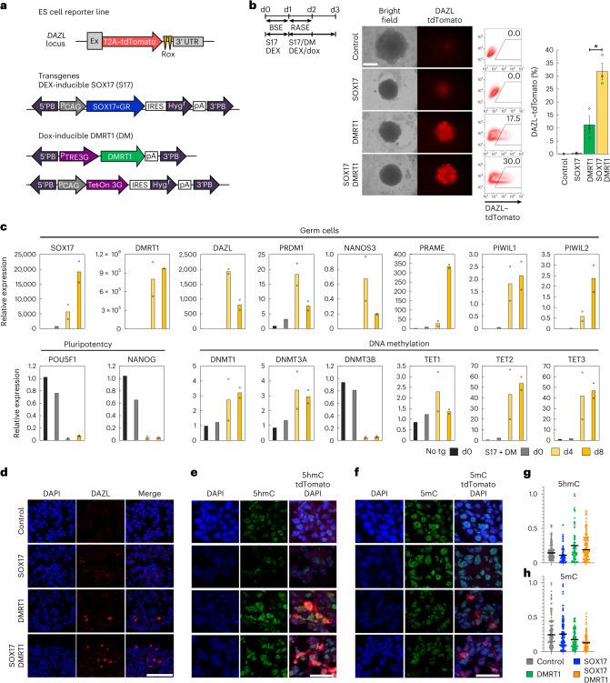
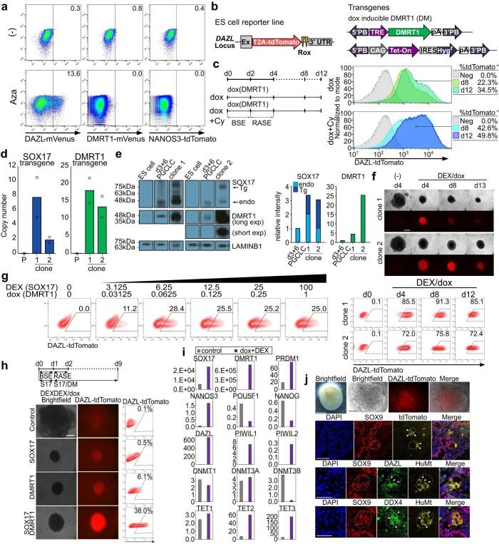
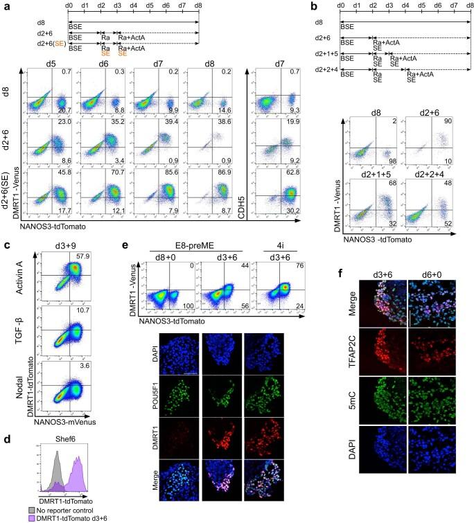
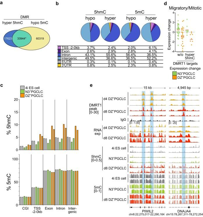
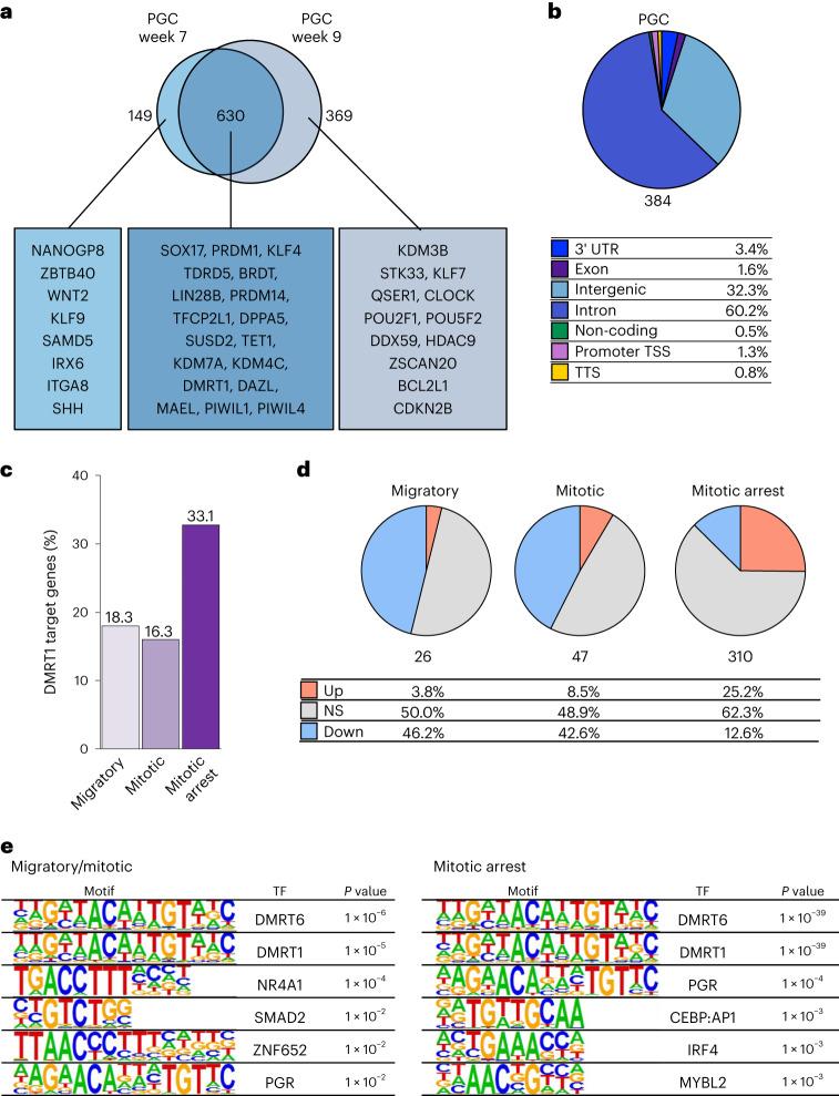
Germline commitment following primordial germ cell (PGC) specification during early human development establishes an epigenetic programme and competence for gametogenesis. Here we follow the progression of nascent PGC-like cells derived from human embryonic stem cells in vitro. We show that switching from BMP signalling for PGC specification to Activin A and retinoic acid resulted in DMRT1 and CDH5 expression, the indicators of migratory PGCs in vivo. Moreover, the induction of DMRT1 and SOX17 in PGC-like cells promoted epigenetic resetting with striking global enrichment of 5-hydroxymethylcytosine and locus-specific loss of 5-methylcytosine at DMRT1 binding sites and the expression of DAZL representing DNA methylation-sensitive genes, a hallmark of the germline commitment programme. We provide insight into the unique role of DMRT1 in germline development for advances in human germ cell biology and in vitro gametogenesis.

摘要

在人类早期发育过程中,原始生殖细胞(PGC)特化后发生种系嵌合,建立了一套表观遗传程序和配子发生的能力。在此,我们研究了体外由人类胚胎干细胞衍生而来的原始 PGC 样细胞的进展。我们发现,将 PGC 特化的 BMP 信号通路切换为 Activin A 和视黄酸,导致 DMRT1 和 CDH5 的表达,这是体内迁移 PGC 的标志。此外,诱导 PGC 样细胞中 DMRT1 和 SOX17 的表达促进了表观遗传重编程,表现为 5-羟甲基胞嘧啶的显著全局富集和 DMRT1 结合位点处 5-甲基胞嘧啶的特异性缺失,以及 DAZL 的表达,DAZL 是 DNA 甲基化敏感基因的代表,是种系嵌合程序的标志。我们深入了解了 DMRT1 在生殖系发育中的独特作用,这为人类生殖细胞生物学和体外配子发生的研究提供了新的思路。

https://cdn.ncbi.nlm.nih.gov/pmc/blobs/bace/10567552/9e57ebe3e467/41556_2023_1224_Fig1_HTML.jpg

文献AI研究员

20分钟写一篇综述,助力文献阅读效率提升50倍。

立即体验

用中文搜PubMed

大模型驱动的PubMed中文搜索引擎

马上搜索

文档翻译

学术文献翻译模型,支持多种主流文档格式。

立即体验