Suppr超能文献

转录因子 DUX4 通过广泛抑制翻译效率和促进 DUX4 诱导的 mRNA 表达来协调翻译重编程。

The transcription factor DUX4 orchestrates translational reprogramming by broadly suppressing translation efficiency and promoting expression of DUX4-induced mRNAs.

机构信息

Human Biology Division, Fred Hutchinson Cancer Center, Seattle, Washington State, United States of America.

Molecular and Cellular Biology Program, University of Washington, Seattle, Washington State, United States of America.

出版信息

PLoS Biol. 2023 Sep 25;21(9):e3002317. doi: 10.1371/journal.pbio.3002317. eCollection 2023 Sep.

Abstract

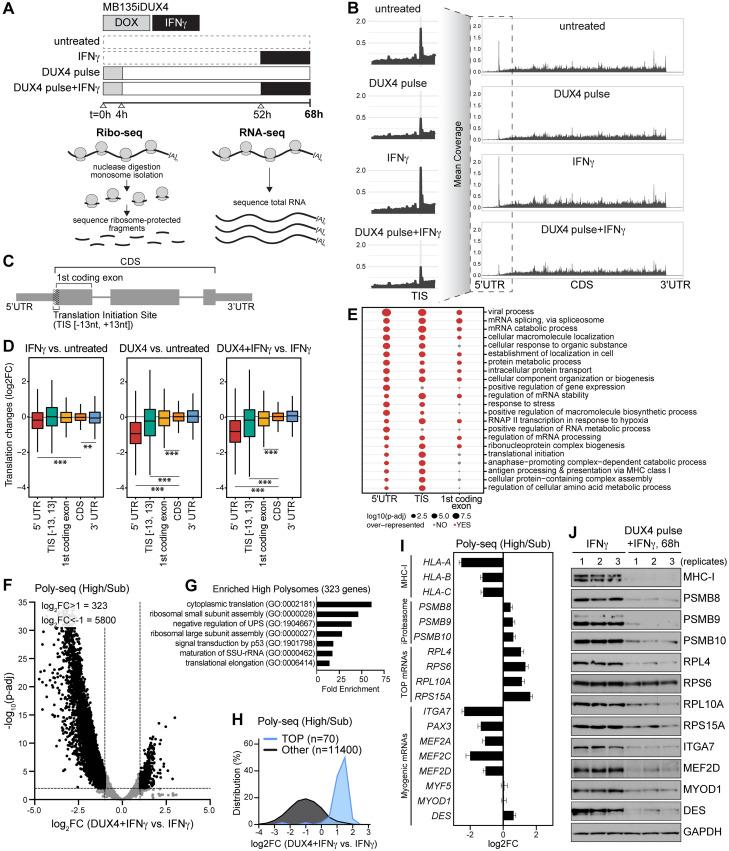
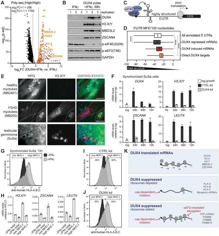
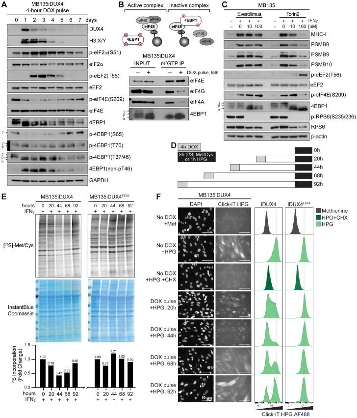
Translational control is critical for cell fate transitions during development, lineage specification, and tumorigenesis. Here, we show that the transcription factor double homeobox protein 4 (DUX4), and its previously characterized transcriptional program, broadly regulates translation to change the cellular proteome. DUX4 is a key regulator of zygotic genome activation in human embryos, whereas misexpression of DUX4 causes facioscapulohumeral muscular dystrophy (FSHD) and is associated with MHC-I suppression and immune evasion in cancer. We report that translation initiation and elongation factors are disrupted downstream of DUX4 expression in human myoblasts. Genome-wide translation profiling identified mRNAs susceptible to DUX4-induced translation inhibition, including those encoding antigen presentation factors and muscle lineage proteins, while DUX4-induced mRNAs were robustly translated. Endogenous expression of DUX4 in human FSHD myotubes and cancer cell lines also correlated with reduced protein synthesis and MHC-I presentation. Our findings reveal that DUX4 orchestrates cell state conversion by suppressing the cellular proteome while maintaining translation of DUX4-induced mRNAs to promote an early developmental program.

摘要

翻译调控对于细胞命运的转变至关重要,包括在发育、谱系特化和肿瘤发生过程中的转变。在这里,我们表明转录因子双同源盒蛋白 4(DUX4)及其先前表征的转录程序广泛调节翻译,从而改变细胞的蛋白质组。DUX4 是人类胚胎中合子基因组激活的关键调节因子,而 DUX4 的异常表达会导致面肩肱型肌营养不良症(FSHD),并与癌症中的 MHC-I 抑制和免疫逃逸相关。我们报告说,在人类成肌细胞中,表达 DUX4 后,翻译起始和延伸因子被破坏。全基因组翻译谱分析确定了易受 DUX4 诱导的翻译抑制的 mRNA,包括那些编码抗原呈递因子和肌肉谱系蛋白的 mRNA,而 DUX4 诱导的 mRNA 则被强烈翻译。内源性 DUX4 在人类 FSHD 肌管和成癌细胞系中的表达也与蛋白质合成和 MHC-I 呈递减少相关。我们的研究结果表明,DUX4 通过抑制细胞蛋白质组来协调细胞状态的转换,同时维持 DUX4 诱导的 mRNA 的翻译,以促进早期发育程序。

https://cdn.ncbi.nlm.nih.gov/pmc/blobs/6efe/10553841/b2e3d9eb58d4/pbio.3002317.g001.jpg

文献AI研究员

20分钟写一篇综述,助力文献阅读效率提升50倍。

立即体验

用中文搜PubMed

大模型驱动的PubMed中文搜索引擎

马上搜索

文档翻译

学术文献翻译模型,支持多种主流文档格式。

立即体验