Suppr超能文献

皮肤驻留抗病毒 T 细胞广泛且动态地表达颗粒酶 C。

Widespread and dynamic expression of granzyme C by skin-resident antiviral T cells.

机构信息

Viral Immunity and Pathogenesis Unit, Laboratory of Clinical Immunology and Microbiology, National Institute of Allergy and Infectious Diseases (NIAID), National Institutes of Health (NIH), Bethesda, MD, United States.

School of Nursing, Duke University, Durham, NC, United States.

出版信息

Front Immunol. 2023 Sep 21;14:1236595. doi: 10.3389/fimmu.2023.1236595. eCollection 2023.

Abstract

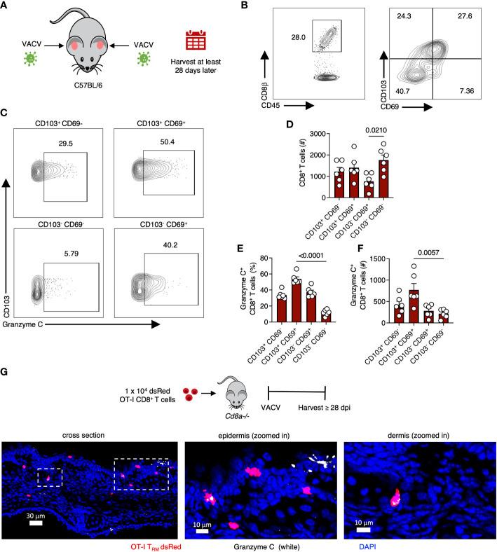
After recognition of cognate antigen (Ag), effector CD8 T cells secrete serine proteases called granzymes in conjunction with perforin, allowing granzymes to enter and kill target cells. While the roles for some granzymes during antiviral immune responses are well characterized, the function of others, such as granzyme C and its human ortholog granzyme H, is still unclear. Granzyme C is constitutively expressed by mature, cytolytic innate lymphoid 1 cells (ILC1s). Whether other antiviral effector cells also produce granzyme C and whether it is continually expressed or responsive to the environment is unknown. To explore this, we analyzed granzyme C expression in different murine skin-resident antiviral lymphocytes. At steady-state, dendritic epidermal T cells (DETCs) expressed granzyme C while dermal γδ T cells did not. CD8 tissue-resident memory T cells (T) generated in response to cutaneous viral infection with the poxvirus vaccinia virus (VACV) also expressed granzyme C. Both DETCs and virus-specific CD8 T upregulated granzyme C upon local VACV infection. Continual Ag exposure was not required for maintained T expression of granzyme C, although re-encounter with cognate Ag boosted expression. Additionally, IL-15 treatment increased granzyme C expression in both DETCs and T. Together, our data demonstrate that granzyme C is widely expressed by antiviral T cells in the skin and that expression is responsive to both environmental stimuli and TCR engagement. These data suggest that granzyme C may have functions other than killing in tissue-resident lymphocytes.

摘要

在识别同源抗原 (Ag) 后,效应 CD8 T 细胞与穿孔素一起分泌称为颗粒酶的丝氨酸蛋白酶,允许颗粒酶进入并杀死靶细胞。虽然一些颗粒酶在抗病毒免疫反应中的作用已经得到很好的描述,但其他颗粒酶(如颗粒酶 C 和其人类同源物颗粒酶 H)的功能仍不清楚。颗粒酶 C 由成熟的细胞毒性固有淋巴样 1 细胞 (ILC1) 组成型表达。其他抗病毒效应细胞是否也产生颗粒酶 C,以及它是否持续表达或对环境有反应尚不清楚。为了探索这一点,我们分析了不同的鼠皮肤抗病毒淋巴细胞中的颗粒酶 C 表达。在稳态下,树突状表皮 T 细胞 (DETC) 表达颗粒酶 C,而真皮 γδ T 细胞不表达。对痘病毒疫苗接种病毒 (VACV) 引起的皮肤病毒感染产生的 CD8 组织驻留记忆 T 细胞 (T) 也表达颗粒酶 C。DETC 和病毒特异性 CD8 T 细胞在局部 VACV 感染时均上调颗粒酶 C 的表达。虽然再次遇到同源 Ag 会增强表达,但持续的 Ag 暴露并不是维持 T 细胞表达颗粒酶 C 所必需的。此外,IL-15 处理可增加 DETCs 和 T 细胞中颗粒酶 C 的表达。总之,我们的数据表明,颗粒酶 C 广泛表达于皮肤中的抗病毒 T 细胞,并且表达对环境刺激和 TCR 结合均有反应。这些数据表明颗粒酶 C 在组织驻留淋巴细胞中可能具有除杀伤之外的其他功能。

https://cdn.ncbi.nlm.nih.gov/pmc/blobs/b449/10552530/2fe341227398/fimmu-14-1236595-g001.jpg

文献AI研究员

20分钟写一篇综述,助力文献阅读效率提升50倍。

立即体验

用中文搜PubMed

大模型驱动的PubMed中文搜索引擎

马上搜索

文档翻译

学术文献翻译模型,支持多种主流文档格式。

立即体验