Suppr超能文献

富含多酚的饮食调节巨噬细胞-中性粒细胞与肠道微生物群的相互作用,从而缓解肠道炎症。

Polyphenol-rich diet mediates interplay between macrophage-neutrophil and gut microbiota to alleviate intestinal inflammation.

机构信息

State Key Laboratory of Animal Nutrition and Feeding, College of Animal Science and Technology, China Agricultural University, Beijing, 100193, China.

Department of Animal and Food Sciences, Oklahoma State University, Stillwater, OK, 74078, USA.

出版信息

Cell Death Dis. 2023 Oct 9;14(10):656. doi: 10.1038/s41419-023-06190-4.

Abstract

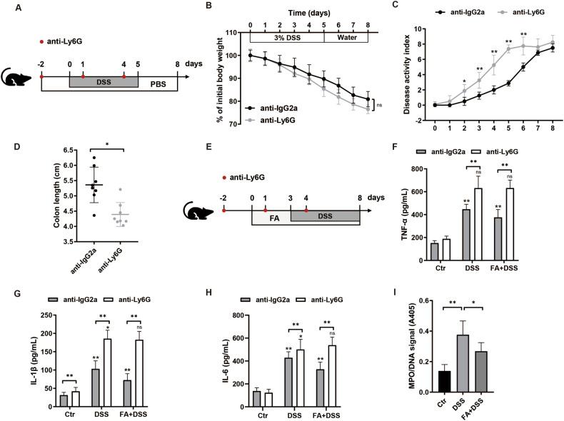
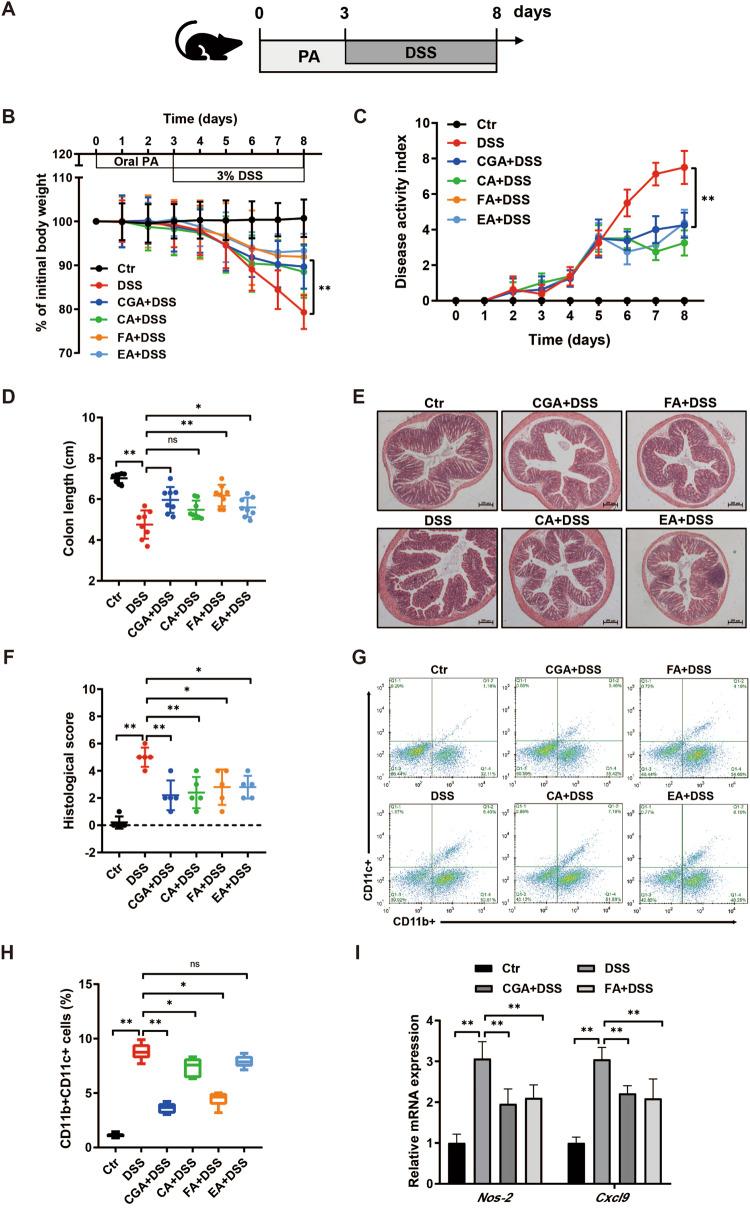
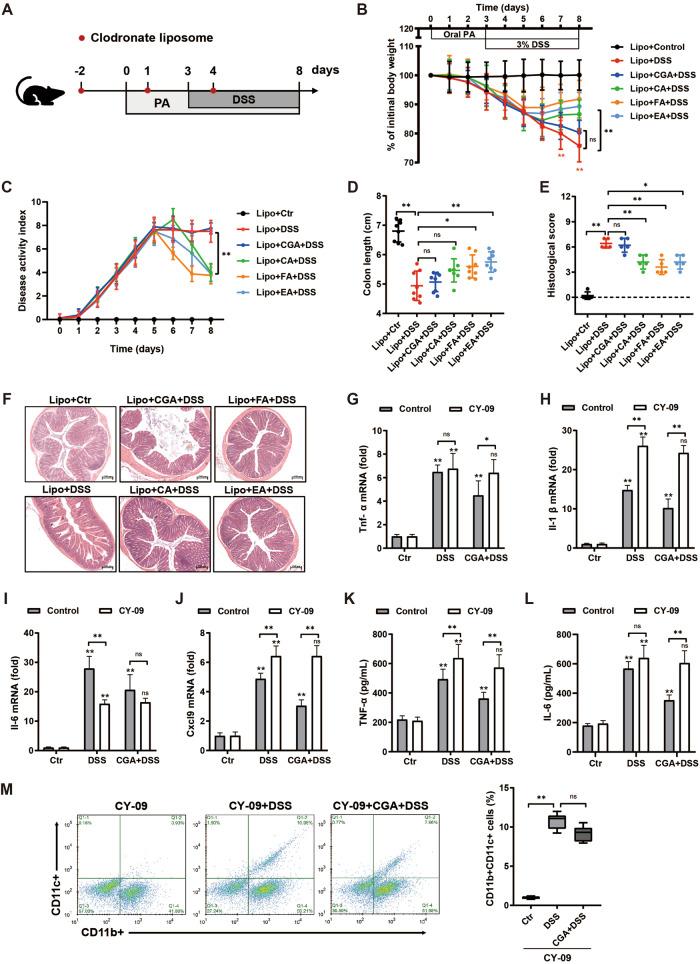
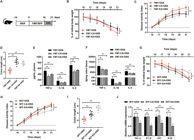
Dietary phenolic acids alleviate intestinal inflammation through altering gut microbiota composition and regulating macrophage activation. However, it is unclear how individual phenolic acids affect the interactions between intestinal microbiota and macrophages in the context of inflammatory bowel disease (IBD). Here, we aim to elucidate the mechanism by which phenolic acids alleviate gut inflammation. Mice with or without depletion of macrophages were administered with four individual phenolic acids including chlorogenic, ferulic, caffeic, and ellagic acids, following dextran sulfate sodium (DSS) treatment. Gut microbiota depletion and fecal microbiota transplantation were further performed in mice to investigate the role of the gut microbiota in phenolic acid-mediated protective effect. Colitis severity was evaluated using histological, serological, and immunological measurements. Absence of intestinal microbiota and macrophage deteriorate the epithelial injury in DSS colitis. Chlorogenic acid mitigated colitis by reducing M1 macrophage polarization through suppression of pyruvate kinase M 2 (Pkm2)-dependent glycolysis and inhibition of NOD-like receptor protein 3 (Nlrp3) activation. However, ferulic acid-mediated reduction of colitis was neutrophil-dependent through diminishing the formation of neutrophil extracellular traps. On the other hand, the beneficial effects of caffeic acid and ellagic acid were dependent upon the gut microbiota. In fact, urolithin A (UroA), a metabolite transformed from ellagic acid by the gut microbiota, was found to alleviate colitis and enhance gut barrier function in an IL22-dependent manner. Overall, our findings demonstrated that the mechanisms by which phenolic acid protected against colitis were resulted from the interaction between gut microbiota and macrophage-neutrophil.

摘要

膳食酚酸通过改变肠道微生物群落组成和调节巨噬细胞激活来缓解肠道炎症。然而,尚不清楚在炎症性肠病(IBD)背景下,个体酚酸如何影响肠道微生物群与巨噬细胞之间的相互作用。在这里,我们旨在阐明酚酸缓解肠道炎症的机制。用葡聚糖硫酸钠(DSS)处理后,给有或没有巨噬细胞耗竭的小鼠施用四种个体酚酸,包括绿原酸、阿魏酸、咖啡酸和鞣花酸。进一步在小鼠中进行肠道微生物群耗竭和粪便微生物群移植,以研究肠道微生物群在酚酸介导的保护作用中的作用。使用组织学、血清学和免疫学测量来评估结肠炎的严重程度。肠道微生物群和巨噬细胞的缺失恶化了 DSS 结肠炎中的上皮损伤。绿原酸通过抑制丙酮酸激酶 M2(Pkm2)依赖性糖酵解和抑制 NOD 样受体蛋白 3(Nlrp3)激活,减少 M1 巨噬细胞极化,从而缓解结肠炎。然而,阿魏酸介导的结肠炎减轻依赖于中性粒细胞,通过减少中性粒细胞胞外陷阱的形成。另一方面,咖啡酸和鞣花酸的有益作用依赖于肠道微生物群。事实上,肠道微生物群转化的鞣花酸代谢物尿石素 A(UroA)被发现以 IL22 依赖的方式缓解结肠炎并增强肠道屏障功能。总的来说,我们的研究结果表明,酚酸预防结肠炎的机制是由于肠道微生物群和巨噬细胞-中性粒细胞之间的相互作用。

https://cdn.ncbi.nlm.nih.gov/pmc/blobs/e2d2/10562418/117f6ab06128/41419_2023_6190_Fig1_HTML.jpg

文献AI研究员

20分钟写一篇综述,助力文献阅读效率提升50倍。

立即体验

用中文搜PubMed

大模型驱动的PubMed中文搜索引擎

马上搜索

文档翻译

学术文献翻译模型,支持多种主流文档格式。

立即体验