Suppr超能文献

在转移性乳腺癌的快速斑马鱼异种移植模型中评估 CAR-NK 细胞介导的杀伤效力和药代动力学。

Preclinical assessment of CAR-NK cell-mediated killing efficacy and pharmacokinetics in a rapid zebrafish xenograft model of metastatic breast cancer.

机构信息

Transfusion Medicine, Faculty of Medicine Carl Gustav Carus, Dresden University of Technology, Dresden, Germany.

Institute for Transfusion Medicine Dresden, German Red Cross Blood Donation Service North-East, Dresden, Germany.

出版信息

Front Immunol. 2023 Oct 11;14:1254821. doi: 10.3389/fimmu.2023.1254821. eCollection 2023.

Abstract

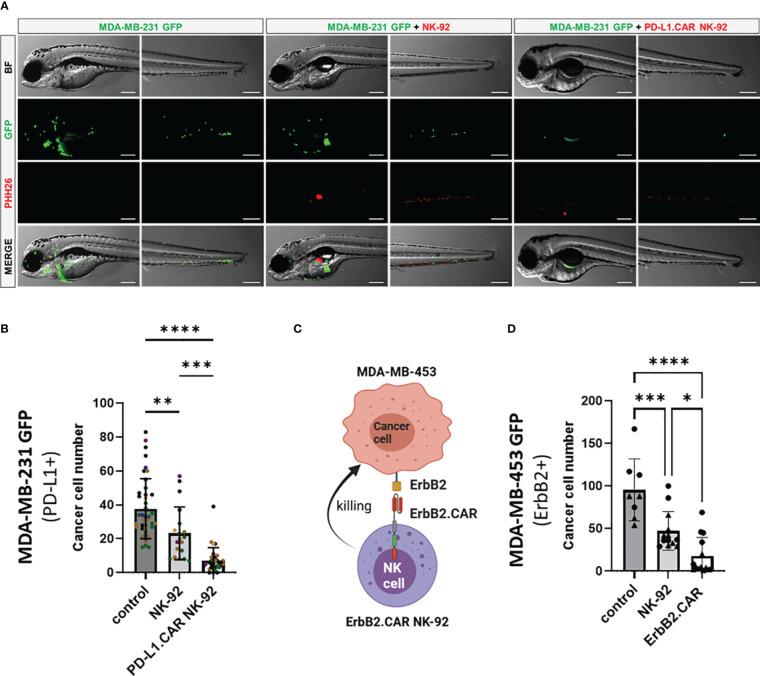
Natural killer (NK) cells are attractive effectors for adoptive immunotherapy of cancer. Results from first-in-human studies using chimeric antigen receptor (CAR)-engineered primary NK cells and NK-92 cells are encouraging in terms of efficacy and safety. In order to further improve treatment strategies and to test the efficacy of CAR-NK cells in a personalized manner, preclinical screening assays using patient-derived tumor samples are needed. Zebrafish () embryos and larvae represent an attractive xenograft model to study growth and dissemination of patient-derived tumor cells because of their superb live cell imaging properties. Injection into the organism's circulation allows investigation of metastasis, cancer cell-to-immune cell-interactions and studies of the tumor cell response to anti-cancer drugs. Here, we established a zebrafish larval xenograft model to test the efficacy of CAR-NK cells against metastatic breast cancer by injecting metastatic breast cancer cells followed by CAR-NK cell injection into the Duct of Cuvier (DoC). We validated the functionality of the system with two different CAR-NK cell lines specific for PD-L1 and ErbB2 (PD-L1.CAR NK-92 and ErbB2.CAR NK-92 cells) against the PD-L1-expressing MDA-MB-231 and ErbB2-expressing MDA-MB-453 breast cancer cell lines. Injected cancer cells were viable and populated peripheral regions of the larvae, including the caudal hematopoietic tissue (CHT), simulating homing of cancer cells to blood forming sites. CAR-NK cells injected 2.5 hours later migrated to the CHT and rapidly eliminated individual cancer cells throughout the organism. Unmodified NK-92 also demonstrated minor cytotoxicity. Confocal live-cell imaging demonstrated intravascular migration and real-time interaction of CAR-NK cells with MDA-MB-231 cells, explaining the rapid and effective cytotoxicity. Thus, our data suggest that zebrafish larvae can be used for rapid and cost-effective assessment of CAR-NK cell potency and to predict patient response to therapy.

摘要

自然杀伤 (NK) 细胞是癌症过继免疫治疗的有吸引力的效应物。使用嵌合抗原受体 (CAR) 工程化原代 NK 细胞和 NK-92 细胞进行的首次人体研究的结果在疗效和安全性方面令人鼓舞。为了进一步改进治疗策略,并以个性化的方式测试 CAR-NK 细胞的疗效,需要使用患者来源的肿瘤样本进行临床前筛选检测。斑马鱼 () 胚胎和幼虫因其出色的活细胞成像特性,成为研究患者来源的肿瘤细胞生长和扩散的有吸引力的异种移植模型。将其注入生物体的循环系统中,可以研究转移、癌细胞与免疫细胞的相互作用,并研究肿瘤细胞对抗癌药物的反应。在这里,我们建立了一个斑马鱼幼虫异种移植模型,通过将转移性乳腺癌细胞注射到 Ductor Cuvier (DoC) 中,然后注射 CAR-NK 细胞,来测试 CAR-NK 细胞对转移性乳腺癌的疗效。我们使用两种针对 PD-L1 和 ErbB2 的不同 CAR-NK 细胞系 (PD-L1.CAR NK-92 和 ErbB2.CAR NK-92 细胞) 验证了该系统的功能,该系统针对表达 PD-L1 的 MDA-MB-231 和表达 ErbB2 的 MDA-MB-453 乳腺癌细胞系。注射的癌细胞是有活力的,并在幼虫的外周区域(包括尾造血组织 [CHT])中繁殖,模拟癌细胞向造血部位的归巢。2.5 小时后注射的 CAR-NK 细胞迁移到 CHT,并迅速在整个生物体中消除单个癌细胞。未经修饰的 NK-92 也表现出轻微的细胞毒性。共聚焦活细胞成像显示 CAR-NK 细胞在血管内的迁移以及与 MDA-MB-231 细胞的实时相互作用,解释了其快速有效的细胞毒性。因此,我们的数据表明,斑马鱼幼虫可用于快速、经济高效地评估 CAR-NK 细胞的效力,并预测患者对治疗的反应。

https://cdn.ncbi.nlm.nih.gov/pmc/blobs/aae1/10599014/2f3dc150564e/fimmu-14-1254821-g001.jpg

文献AI研究员

20分钟写一篇综述,助力文献阅读效率提升50倍。

立即体验

用中文搜PubMed

大模型驱动的PubMed中文搜索引擎

马上搜索

文档翻译

学术文献翻译模型,支持多种主流文档格式。

立即体验