Suppr超能文献

USP53通过去泛素化CRKL在三阴性乳腺癌中发挥促肿瘤作用。

USP53 Exerts Tumor-Promoting Effects in Triple-Negative Breast Cancer by Deubiquitinating CRKL.

作者信息

Liu Yi, Tang Wei, Yao Feng

机构信息

Department of Breast and Thyroid Surgery, Renmin Hospital of Wuhan University, Wuhan 430060, China.

Department of Pediartrics, Renmin Hospital of Wuhan University, Wuhan 430060, China.

出版信息

Cancers (Basel). 2023 Oct 18;15(20):5033. doi: 10.3390/cancers15205033.

Abstract

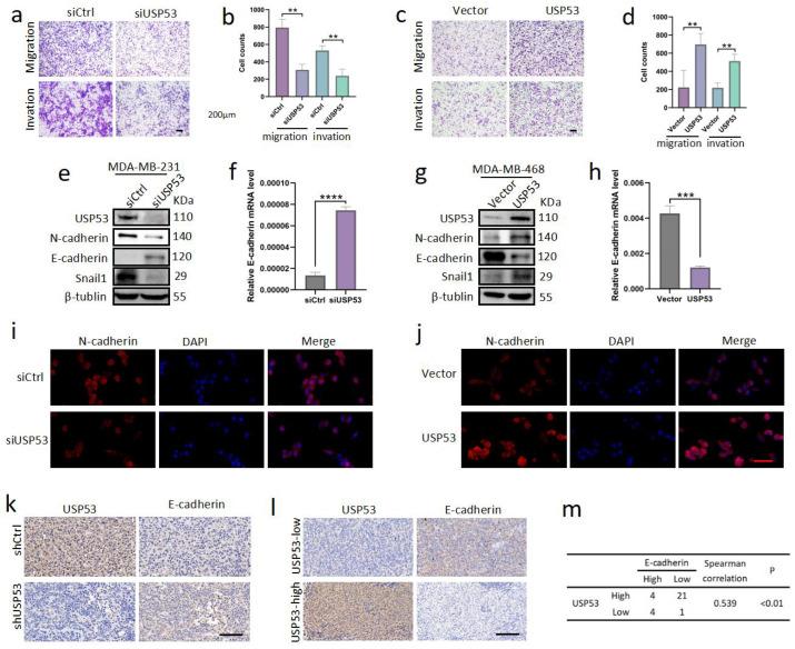
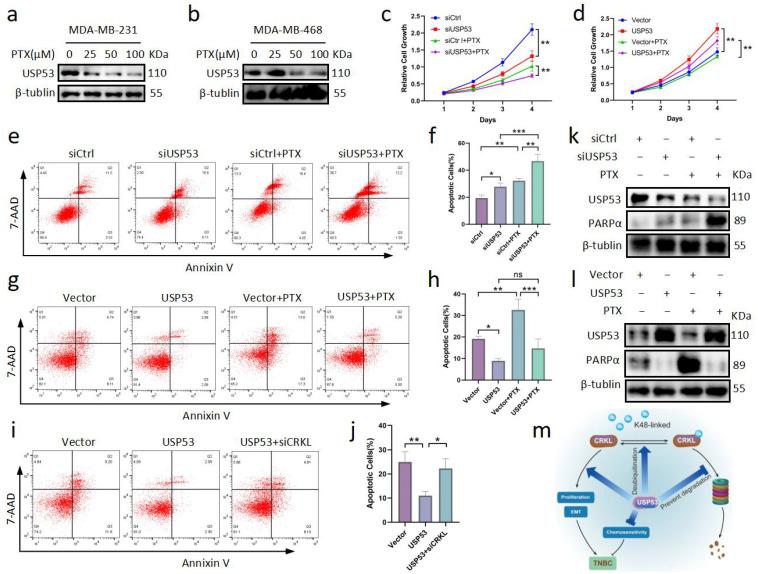
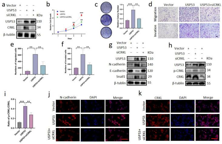
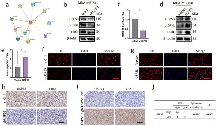
Breast cancer (BC) ranks in the top five malignant tumors in terms of morbidity and mortality rates. Among BC subtypes, TNBC has a high recurrence rate and metastasis rate and the worst prognosis. However, the exact mechanism by which TNBC develops is unclear. Here, we show that the deubiquitinase USP53 contributes to tumor growth and metastasis in TNBC. USP53 is overexpressed in TNBC, and this phenotype is linked to a poor prognosis. Functionally, USP53 promotes TNBC cell proliferation, migration, invasion, and epithelial-mesenchymal transition (EMT). More importantly, USP53 decreases the chemosensitivity of BC cells by enhancing v-crk sarcoma virus CT10 oncogene homologue (avian)-like (CRKL) expression. Mechanistically, USP53 directly binds CRKL to stabilize and deubiquitinate it, thereby preventing CRKL degradation. Overall, we discovered that USP53 deubiquitinates CRKL, encourages tumor development and metastasis, and reduces chemosensitivity in TNBC. These findings imply that USP53 might represent a new therapeutic target for the treatment of TNBC.

摘要

乳腺癌(BC)的发病率和死亡率位居五大恶性肿瘤之列。在BC亚型中,三阴性乳腺癌(TNBC)的复发率和转移率较高,预后最差。然而,TNBC发生的确切机制尚不清楚。在此,我们表明去泛素化酶USP53促进TNBC的肿瘤生长和转移。USP53在TNBC中过表达,这种表型与预后不良有关。在功能上,USP53促进TNBC细胞增殖、迁移、侵袭及上皮-间质转化(EMT)。更重要的是,USP53通过增强v-crk肉瘤病毒CT10癌基因同源物(禽类)样(CRKL)的表达降低BC细胞的化疗敏感性。机制上,USP53直接结合CRKL以使其稳定并去泛素化,从而防止CRKL降解。总体而言,我们发现USP53使CRKL去泛素化,促进肿瘤发展和转移,并降低TNBC的化疗敏感性。这些发现表明USP53可能是治疗TNBC的一个新的治疗靶点。

https://cdn.ncbi.nlm.nih.gov/pmc/blobs/59b6/10605207/82ac2729e58c/cancers-15-05033-g001.jpg

文献AI研究员

20分钟写一篇综述,助力文献阅读效率提升50倍。

立即体验

用中文搜PubMed

大模型驱动的PubMed中文搜索引擎

马上搜索

文档翻译

学术文献翻译模型,支持多种主流文档格式。

立即体验