Suppr超能文献

OIP5-AS1 的 N6-甲基腺苷修饰通过抑制 Trim21 介导的 hnRNPA1 泛素化和降解促进胃癌的糖酵解、肿瘤发生和转移。

N6-methyladenosine modification of OIP5-AS1 promotes glycolysis, tumorigenesis, and metastasis of gastric cancer by inhibiting Trim21-mediated hnRNPA1 ubiquitination and degradation.

机构信息

Department of General Surgery, Affiliated Nanhua Hospital, Hengyang Medical School, University of South China, Zhuhui District, 336, Dongfeng South Road, Hengyang, 421002, China.

Department of General Surgery, Nanfang Hospital, The First School of Clinical Medicine, Southern Medical University, Baiyun District, 1838 Guangzhou Avenue North, Guangzhou, 510515, China.

出版信息

Gastric Cancer. 2024 Jan;27(1):49-71. doi: 10.1007/s10120-023-01437-7. Epub 2023 Oct 28.

Abstract

BACKGROUND

Opa-interacting protein 5 antisense transcript 1 (OIP5-AS1) has been demonstrated to play vital roles in development and progression of tumors such as gastric cancer (GC). However, the detailed molecular mechanism of OIP5-AS1 has not been completely elucidated. Our study aimed to investigate the role and the epigenetic regulation mechanism of OIP5-AS1 in GC.

METHODS

OIP5-AS1 expression in GC tissues was detected by RT-qPCR. Loss- and gain-of-function experiments were conducted to assess the biological function of OIP5-AS1 in vitro and in vivo. The interaction of OIP5-AS1 with insulin-like growth factor 2 mRNA-binding protein 3 (IGF2BP3) or heterogeneous nuclear nucleoprotein A1 (hnRNPA1) was verified by bioinformatics analysis, RNA pull-down assays, and RNA immunoprecipitation assays.

RESULTS

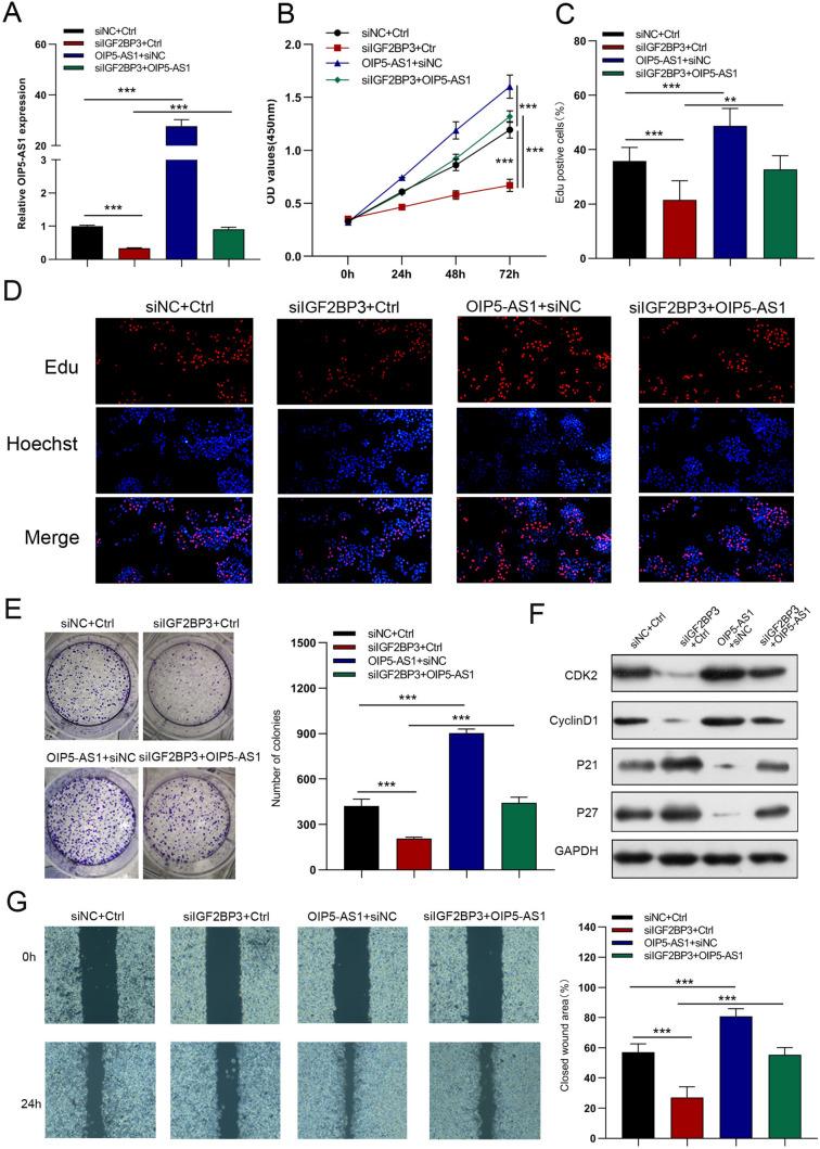
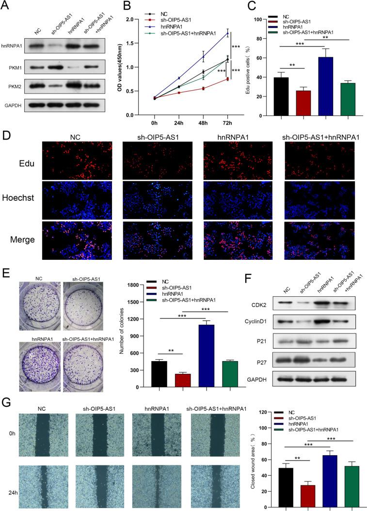
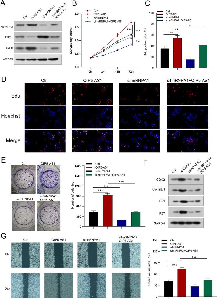
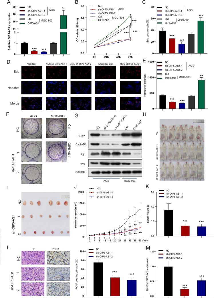
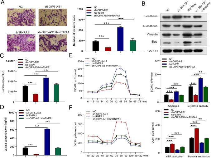
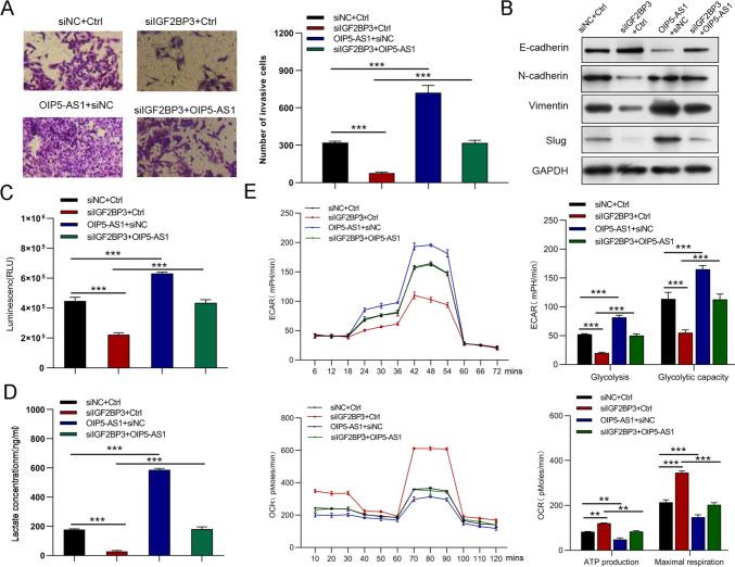
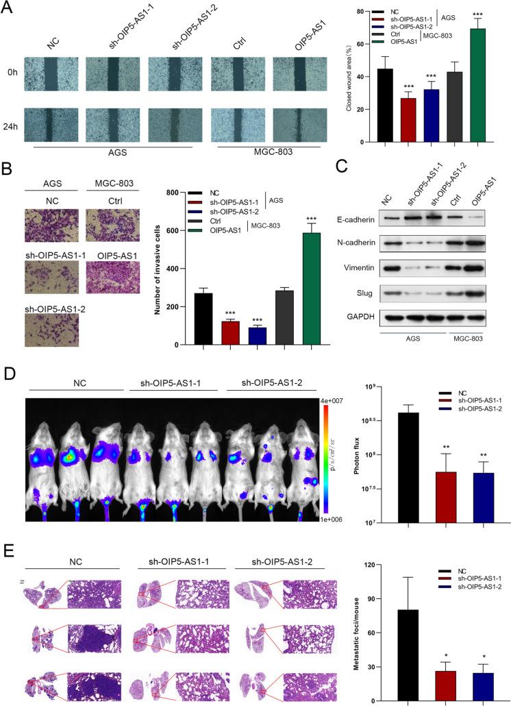
In this study, we identified that OIP5-AS1 is specifically overexpressed in GC tumor tissues and cell lines and correlated with a poor prognosis. The loss of OIP5-AS1 suppressed the proliferation, migration, invasion, epithelial-mesenchymal transition (EMT), and glycolysis of GC cells, but the ectopic expression of OIP5-AS1 had the opposite impact. Meanwhile, knockdown of OIP5-AS1 inhibited tumor growth in patient-derived xenograft models, as well as repressed tumor metastasis. Mechanistically, IGF2BP3 could bind to OIP5-AS1 by N6-methyladenosine (m6A) modification sites on OIP5-AS1, thereby stabilizing OIP5-AS1. Moreover, OIP5-AS1 prevented Trim21-mediated ubiquitination and degradation of hnRNPA1, stabilizing hnRNPA1 protein and promoting the malignant progression of GC by regulating PKM2 signaling pathway.

CONCLUSIONS

In conclusion, this study highlighted that OIP5-AS1 is an oncogenic m6A-modified long non-coding RNA (lncRNA) in GC and that IGF2BP3/OIP5-AS1/hnRNPA1 axis may provide a potential diagnostic or prognostic target for GC.

摘要

背景

已经证明,Opa 相互作用蛋白 5 反义转录本 1(OIP5-AS1)在胃癌(GC)等肿瘤的发生和发展中发挥着重要作用。然而,OIP5-AS1 的详细分子机制尚未完全阐明。我们的研究旨在探讨 OIP5-AS1 在 GC 中的作用及其表观遗传调控机制。

方法

通过 RT-qPCR 检测 GC 组织中的 OIP5-AS1 表达。通过体外和体内的缺失和功能获得实验来评估 OIP5-AS1 的生物学功能。通过生物信息学分析、RNA 下拉实验和 RNA 免疫沉淀实验验证 OIP5-AS1 与胰岛素样生长因子 2 mRNA 结合蛋白 3(IGF2BP3)或异质核核蛋白 A1(hnRNPA1)的相互作用。

结果

在这项研究中,我们确定 OIP5-AS1 在 GC 肿瘤组织和细胞系中特异性过表达,并与不良预后相关。OIP5-AS1 的缺失抑制了 GC 细胞的增殖、迁移、侵袭、上皮-间充质转化(EMT)和糖酵解,但 OIP5-AS1 的异位表达则产生相反的影响。同时,OIP5-AS1 的敲低抑制了患者来源的异种移植模型中的肿瘤生长,并抑制了肿瘤转移。机制上,IGF2BP3 可以通过 OIP5-AS1 上的 N6-甲基腺苷(m6A)修饰位点与 OIP5-AS1 结合,从而稳定 OIP5-AS1。此外,OIP5-AS1 阻止 Trim21 介导的 hnRNPA1 的泛素化和降解,稳定 hnRNPA1 蛋白,并通过调节 PKM2 信号通路促进 GC 的恶性进展。

结论

总之,这项研究强调了 OIP5-AS1 是 GC 中的一种致癌 m6A 修饰的长非编码 RNA(lncRNA),IGF2BP3/OIP5-AS1/hnRNPA1 轴可能为 GC 提供潜在的诊断或预后靶点。

https://cdn.ncbi.nlm.nih.gov/pmc/blobs/9223/10761432/87e4c8b7c6bd/10120_2023_1437_Fig1_HTML.jpg

文献AI研究员

20分钟写一篇综述,助力文献阅读效率提升50倍。

立即体验

用中文搜PubMed

大模型驱动的PubMed中文搜索引擎

马上搜索

文档翻译

学术文献翻译模型,支持多种主流文档格式。

立即体验