Suppr超能文献

SMURF1 调控 PPP3/calcineurin 复合物和 TFEB 形成溶酶体生物发生的调节节点。

SMURF1 controls the PPP3/calcineurin complex and TFEB at a regulatory node for lysosomal biogenesis.

机构信息

Key Laboratory of Molecular Medicine and Biological Diagnosis and Treatment (Ministry of Industry and Information Technology), School of Life Science, Beijing Institute of Technology, Beijing, China.

State Key Laboratory of Molecular Oncology, Department of Medical Oncology, National Cancer Center/National Clinical Research Center for Cancer/Cancer Hospital, Chinese Academy of Medical Sciences & Peking Union Medical College, Beijing, China.

出版信息

Autophagy. 2024 Apr;20(4):735-751. doi: 10.1080/15548627.2023.2267413. Epub 2023 Nov 1.

Abstract

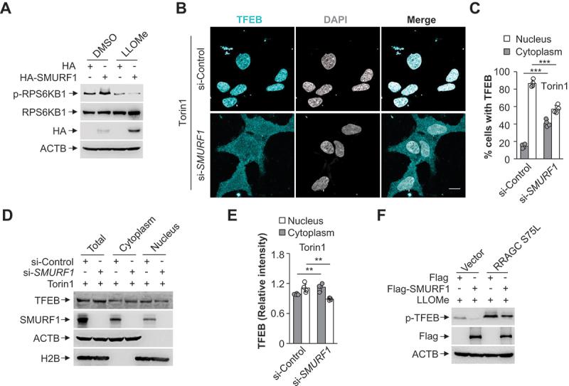
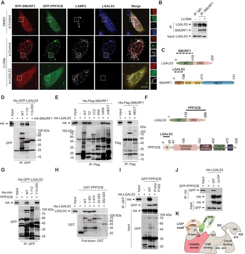
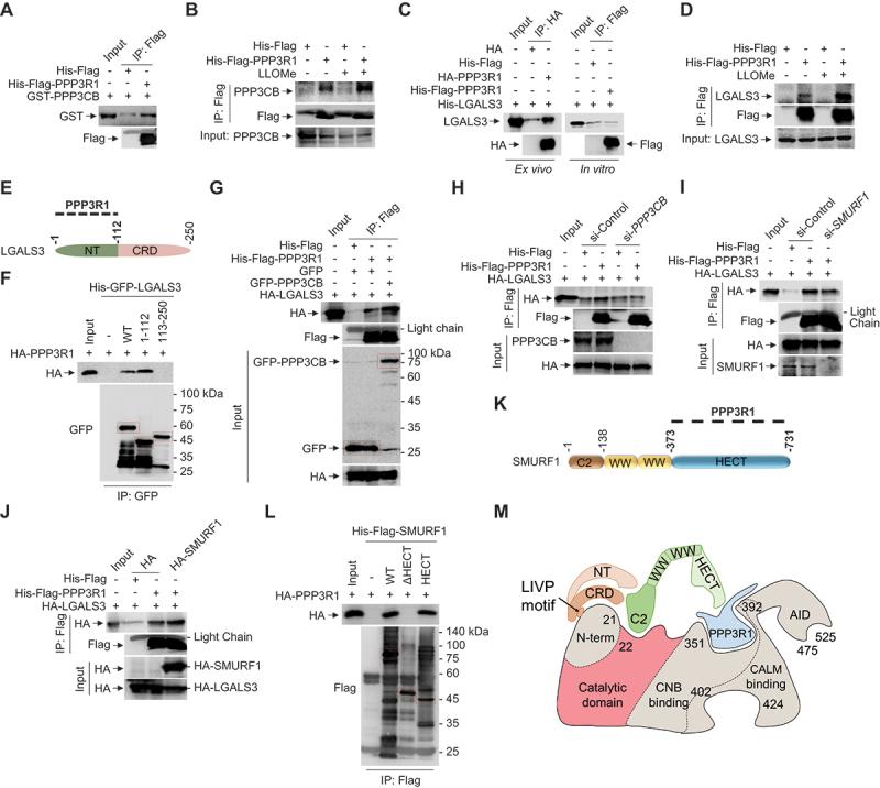
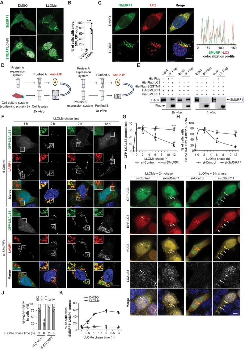
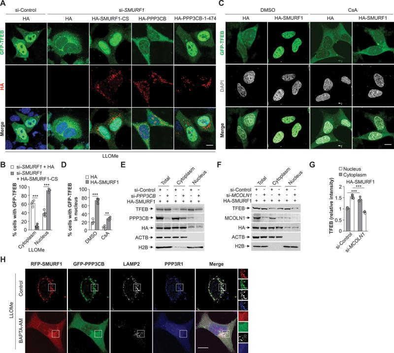
Macroautophagy/autophagy is a homeostatic process in response to multiple signaling, such as the lysosome-dependent recycling process of cellular components. Starvation-induced MTOR inactivation and PPP3/calcineurin activation were shown to promote the nuclear translocation of TFEB. However, the mechanisms via which signals from endomembrane damage are transmitted to activate PPP3/calcineurin and orchestrate autophagic responses remain unknown. This study aimed to show that autophagy regulator SMURF1 controlled TFEB nuclear import for transcriptional activation of the lysosomal biogenesis. We showed that blocking SMURF1 affected lysosomal biogenesis in response to lysosomal damage by preventing TFEB nuclear translocation. It revealed galectins recognized endolysosomal damage, and led to recruitment of SMURF1 and the PPP3/calcineurin apparatus on lysosomes. SMURF1 interacts with both LGALS3 and PPP3CB to form the LGALS3-SMURF1-PPP3/calcineurin complex. Importantly, this complex further stabilizes TFEB, thereby activating TFEB for lysosomal biogenesis. We determined that LLOMe-mediated TFEB nuclear import is dependent on SMURF1 under the condition of MTORC1 inhibition. In addition, SMURF1 is required for PPP3/calcineurin activity as a positive regulator of TFEB. SMURF1 controlled the phosphatase activity of the PPP3CB by promoting the dissociation of its autoinhibitory domain (AID) from its catalytic domain (CD). Overexpression of SMURF1 showed similar effects as the constitutive activation of PPP3CB. Thus, SMURF1, which bridges environmental stress with the core autophagosomal and autolysosomal machinery, interacted with endomembrane sensor LGALS3 and phosphatase PPP3CB to control TFEB activation.: ATG: autophagy-related; LLOMe: L-Leucyl-L-Leucine methyl ester; ML-SA1: mucolipin synthetic agonist 1; MTOR: mechanistic target of rapamycin kinase; PPP3CB: protein phosphatase 3 catalytic subunit beta; RPS6KB1/p70S6K: ribosomal protein S6 kinase B1; SMURF1: SMAD specific E3 ubiquitin protein ligase 1; TFEB: transcription factor EB.

摘要

自噬是一种对多种信号作出反应的细胞内稳态过程,如细胞成分的溶酶体依赖性循环过程。已经表明,饥饿诱导的 MTOR 失活和 PPP3/calcineurin 的激活促进了 TFEB 的核易位。然而,信号从内质网损伤传递到激活 PPP3/calcineurin 并协调自噬反应的机制尚不清楚。本研究旨在表明自噬调节剂 SMURF1 控制 TFEB 的核输入,以促进溶酶体生物发生的转录激活。我们表明,通过阻止 TFEB 的核易位,阻断 SMURF1 会影响溶酶体生物发生,以响应溶酶体损伤。它揭示了半乳糖凝集素识别内溶酶体损伤,并导致 SMURF1 和 PPP3/calcineurin 装置在溶酶体上的募集。SMURF1 与 LGALS3 和 PPP3CB 相互作用,形成 LGALS3-SMURF1-PPP3/calcineurin 复合物。重要的是,该复合物进一步稳定 TFEB,从而激活 TFEB 进行溶酶体生物发生。我们确定,在 MTORC1 抑制的情况下,LLOMe 介导的 TFEB 核输入依赖于 SMURF1。此外,SMURF1 是 PPP3/calcineurin 活性的必需调节剂,作为 TFEB 的正调节剂。SMURF1 通过促进其自抑制结构域 (AID) 与其催化结构域 (CD) 的解离来控制 PPP3CB 的磷酸酶活性。SMURF1 的过表达表现出与 PPP3CB 的组成激活相似的效果。因此,SMURF1 作为环境应激与核心自噬体和自溶酶体机制之间的桥梁,与内质网传感器 LGALS3 和磷酸酶 PPP3CB 相互作用,控制 TFEB 的激活。

https://cdn.ncbi.nlm.nih.gov/pmc/blobs/e719/11062382/d3e152ca1675/KAUP_A_2267413_F0001_C.jpg

文献AI研究员

20分钟写一篇综述,助力文献阅读效率提升50倍。

立即体验

用中文搜PubMed

大模型驱动的PubMed中文搜索引擎

马上搜索

文档翻译

学术文献翻译模型,支持多种主流文档格式。

立即体验