Suppr超能文献

SGF29核凝聚物加剧细胞衰老。

SGF29 nuclear condensates reinforce cellular aging.

作者信息

Yan Kaowen, Ji Qianzhao, Zhao Dongxin, Li Mingheng, Sun Xiaoyan, Wang Zehua, Liu Xiaoqian, Liu Zunpeng, Li Hongyu, Ding Yingjie, Wang Si, Belmonte Juan Carlos Izpisua, Qu Jing, Zhang Weiqi, Liu Guang-Hui

机构信息

State Key Laboratory of Membrane Biology, Institute of Zoology, Chinese Academy of Sciences, Beijing, China.

University of Chinese Academy of Sciences, Beijing, China.

出版信息

Cell Discov. 2023 Nov 7;9(1):110. doi: 10.1038/s41421-023-00602-7.

Abstract

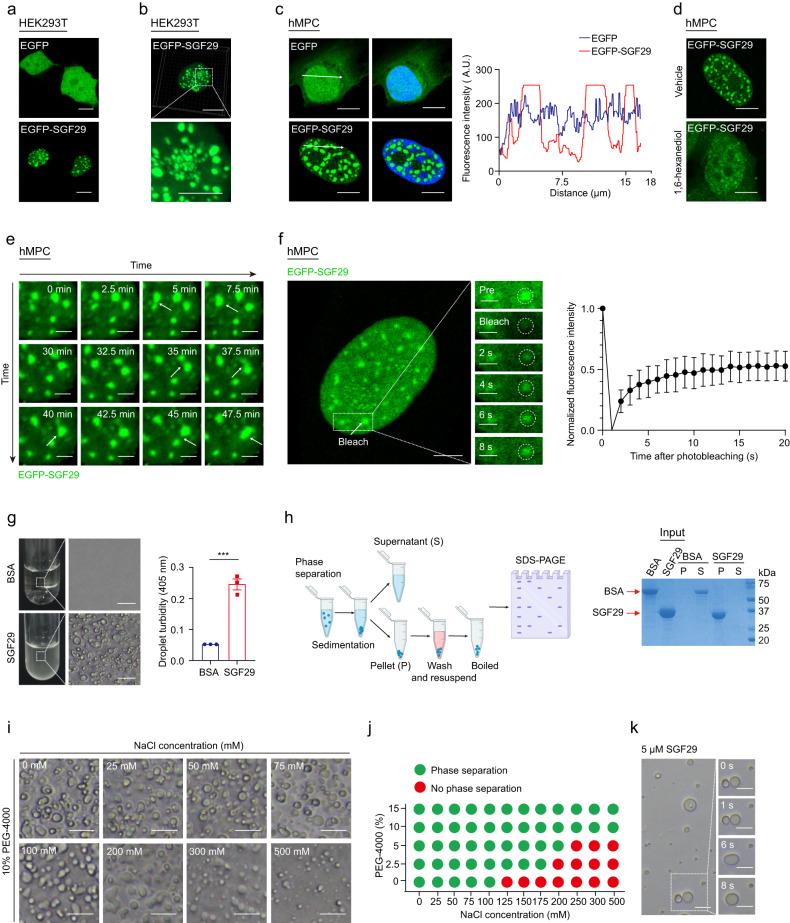
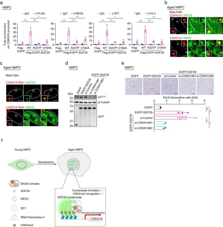
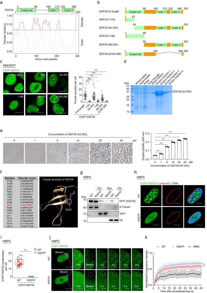
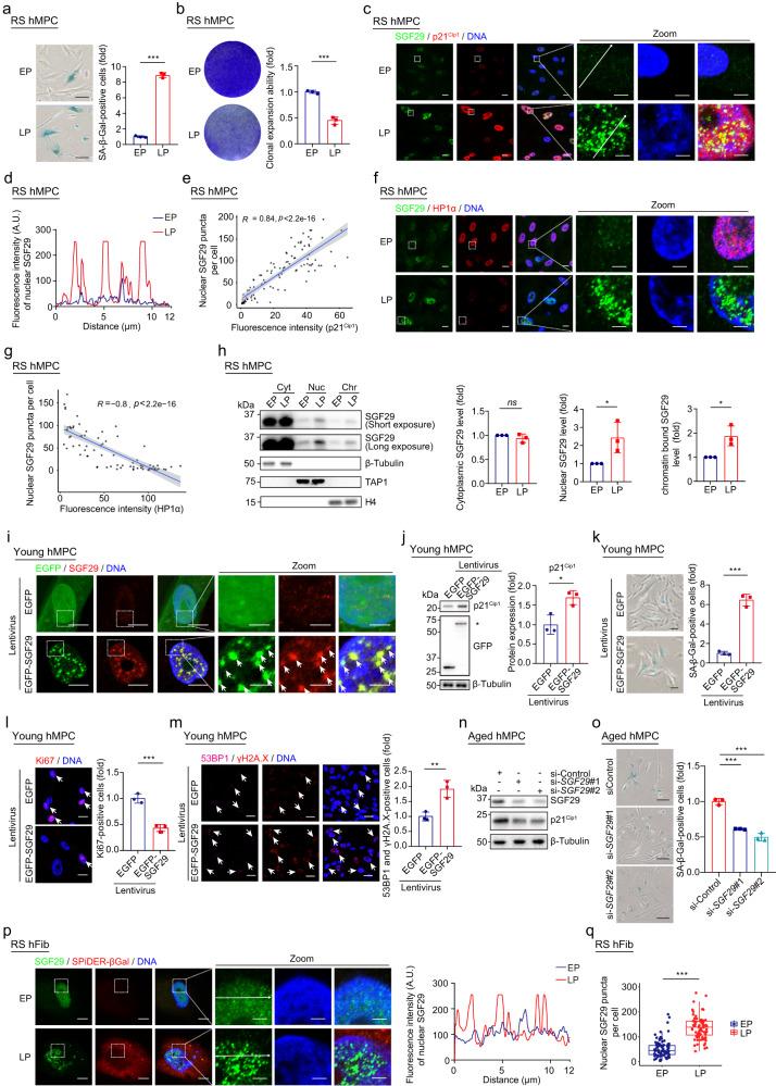
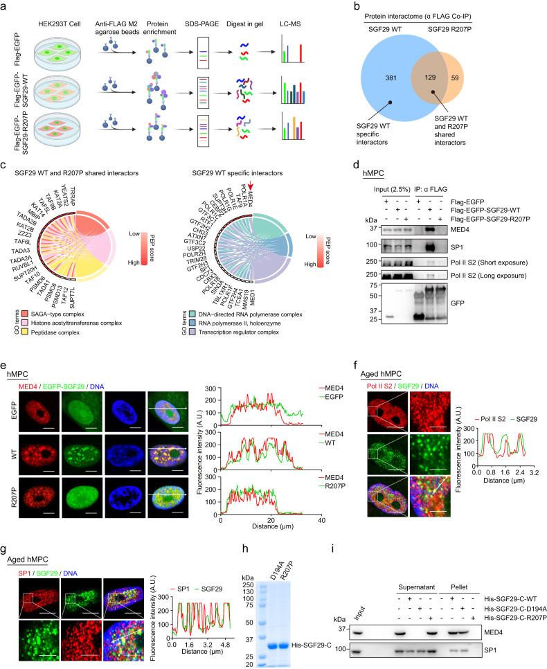
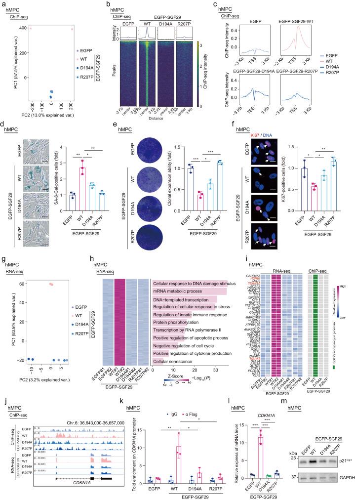
Phase separation, a biophysical segregation of subcellular milieus referred as condensates, is known to regulate transcription, but its impacts on physiological processes are less clear. Here, we demonstrate the formation of liquid-like nuclear condensates by SGF29, a component of the SAGA transcriptional coactivator complex, during cellular senescence in human mesenchymal progenitor cells (hMPCs) and fibroblasts. The Arg 207 within the intrinsically disordered region is identified as the key amino acid residue for SGF29 to form phase separation. Through epigenomic and transcriptomic analysis, our data indicated that both condensate formation and H3K4me3 binding of SGF29 are essential for establishing its precise chromatin location, recruiting transcriptional factors and co-activators to target specific genomic loci, and initiating the expression of genes associated with senescence, such as CDKN1A. The formation of SGF29 condensates alone, however, may not be sufficient to drive H3K4me3 binding or achieve transactivation functions. Our study establishes a link between phase separation and aging regulation, highlighting nuclear condensates as a functional unit that facilitate shaping transcriptional landscapes in aging.

摘要

相分离是一种被称为凝聚物的亚细胞环境的生物物理分离,已知其可调节转录,但其对生理过程的影响尚不清楚。在此,我们证明了在人间充质祖细胞(hMPC)和成纤维细胞的细胞衰老过程中,SAGA转录共激活复合物的一个组分SGF29形成了液滴状核凝聚物。无序区域内的精氨酸207被确定为SGF29形成相分离的关键氨基酸残基。通过表观基因组和转录组分析,我们的数据表明,凝聚物形成和SGF29与H3K4me3的结合对于确定其精确的染色质定位、招募转录因子和共激活因子至特定基因组位点以及启动与衰老相关基因(如CDKN1A)的表达至关重要。然而,仅SGF29凝聚物的形成可能不足以驱动H3K4me3结合或实现反式激活功能。我们的研究建立了相分离与衰老调节之间的联系,强调核凝聚物作为一个功能单元,有助于塑造衰老过程中的转录格局。

https://cdn.ncbi.nlm.nih.gov/pmc/blobs/25a0/10630320/fe7f16cfd6a8/41421_2023_602_Fig1_HTML.jpg

文献AI研究员

20分钟写一篇综述,助力文献阅读效率提升50倍。

立即体验

用中文搜PubMed

大模型驱动的PubMed中文搜索引擎

马上搜索

文档翻译

学术文献翻译模型,支持多种主流文档格式。

立即体验