Suppr超能文献

2008 - 2021年通过免疫组化研究评估伊朗南部儿童高级别脑肿瘤中INI1蛋白的表达情况

Evaluation of INI1 Protein Expression Through IHC Study in Pediatric High-Grade Brain Tumors in South of Iran in 2008-2021.

作者信息

Mohebbi Maryam, Shokripour Mansoureh, Mokhtari Maral

机构信息

Department of Pathology, Medical School, Shiraz University of Medical Sciences, Shiraz, Iran.

出版信息

Iran J Pathol. 2023 Summer;18(3):279-288. doi: 10.30699/IJP.2023.561858.297. Epub 2023 Jul 15.

Abstract

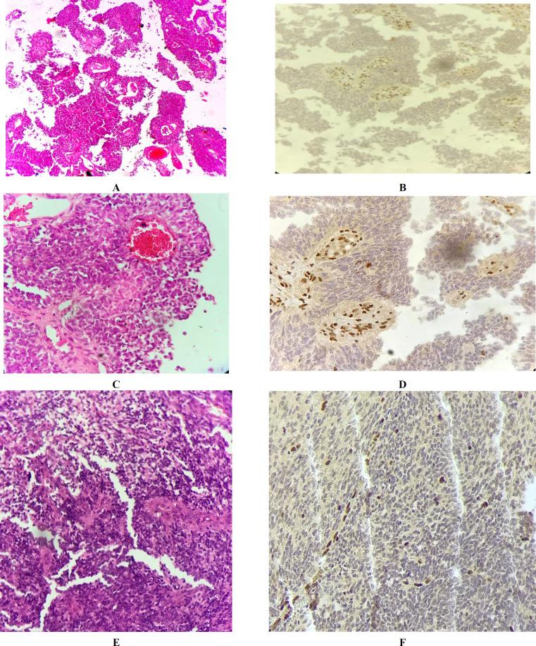
BACKGROUND & OBJECTIVE: Brain tumors are the most frequent solid tumors in children. High-grade tumors are more challenging in diagnosis. Atypical teratoid rhabdoid tumor (ATRT) may be mistaken for other high-grade brain tumors. Molecular genetic analysis of ATRT has shown deletion and mutation in the gene in most of the cases. The INI1 protein expression can be helpful for the accurate diagnosis.

METHODS

In this study, immunohistochemical staining (IHC) using INI1 antibody was performed to determine the possibility of ATRT misdiagnosis. Totally, 147 tumors including 6 ATRTs, 81 medulloblastomas, and 60 other CNS tumors were examined in children between 0 and 17 years old.

RESULTS

No nuclear staining was found in the six ATRT cases, while most of other CNS tumors demonstrated nuclear staining. Five cases were previously diagnosed with medulloblastoma, primitive neuroectodermal tumor (PNET), and anaplastic oligodendroglioma, while the diagnoses were changed to ATRT based on the re-evaluation of the H&E slides and INI1 study. Additionally, two cases were recurrent tumors whose features were consistent with those of ATRT. The INI1 immunostaining was negative in these cases.

CONCLUSION

INI1 was very helpful in distinguishing ATRT from its mimickers in challenging cases. All known ATRT cases in this study were immunonegative for INI1. Thus, INI1 is recommended to be used in the initial IHC panel for the high-grade brain tumors, especially in children under the age of three years, so that they can benefit from intensified therapeutic regimens.

摘要

背景与目的

脑肿瘤是儿童最常见的实体瘤。高级别肿瘤在诊断上更具挑战性。非典型畸胎样横纹肌样瘤(ATRT)可能被误诊为其他高级别脑肿瘤。对ATRT的分子遗传学分析显示,大多数病例中该基因存在缺失和突变。INI1蛋白表达有助于准确诊断。

方法

在本研究中,使用INI1抗体进行免疫组化染色(IHC)以确定ATRT误诊的可能性。共检查了147例肿瘤,包括6例ATRT、81例髓母细胞瘤和60例其他中枢神经系统肿瘤,患儿年龄在0至17岁之间。

结果

6例ATRT病例均未发现核染色,而大多数其他中枢神经系统肿瘤显示核染色。5例之前被诊断为髓母细胞瘤、原始神经外胚层肿瘤(PNET)和间变性少突胶质细胞瘤,根据苏木精-伊红(H&E)切片的重新评估和INI1研究,诊断改为ATRT。此外,2例为复发肿瘤,其特征与ATRT一致。这些病例中INI1免疫染色均为阴性。

结论

在具有挑战性的病例中,INI1对区分ATRT与其相似肿瘤非常有帮助。本研究中所有已知的ATRT病例INI1免疫均为阴性。因此,建议将INI1用于高级别脑肿瘤的初始免疫组化检测,尤其是三岁以下儿童,以便他们能从强化治疗方案中获益。

https://cdn.ncbi.nlm.nih.gov/pmc/blobs/8269/10628376/2369a39e8275/ijp-18-279-g001.jpg

文献AI研究员

20分钟写一篇综述,助力文献阅读效率提升50倍。

立即体验

用中文搜PubMed

大模型驱动的PubMed中文搜索引擎

马上搜索

文档翻译

学术文献翻译模型,支持多种主流文档格式。

立即体验