Suppr超能文献

N6-甲基腺苷修饰通过富含circ-CDYL且EpCAM阳性的肝脏肿瘤起始外泌体促进肝癌发生。

N6-methyladenosine modification promotes hepatocarcinogenesis through circ-CDYL-enriched and EpCAM-positive liver tumor-initiating exosomes.

作者信息

Wei Yanping, Fu Jingbo, Zhang Hailing, Ling Yan, Tang Xuewu, Liu Shuowu, Yu Miao, Liu Fuyan, Zhuang Guokun, Qian Haihua, Zhang Kecheng, Yang Pinhua, Yang Xinwei, Yang Qi, Ge Shennian, Zhang Baohua, Tan Yexiong, Li Liang, Wang Hongyang

机构信息

International Cooperation Laboratory on Signal Transduction, Eastern Hepato-biliary Surgery Institute, Second Military Medical University, Shanghai, China.

National Center for Liver Cancer, Shanghai, China.

出版信息

iScience. 2023 Oct 13;26(10):108022. doi: 10.1016/j.isci.2023.108022. eCollection 2023 Oct 20.

Abstract

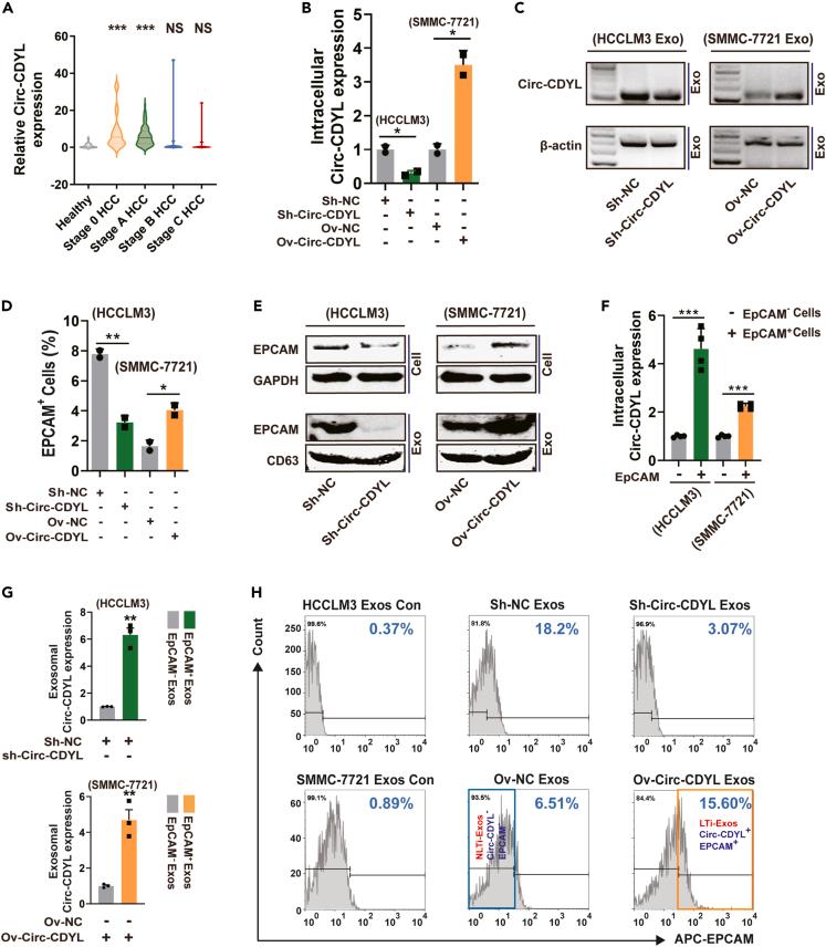
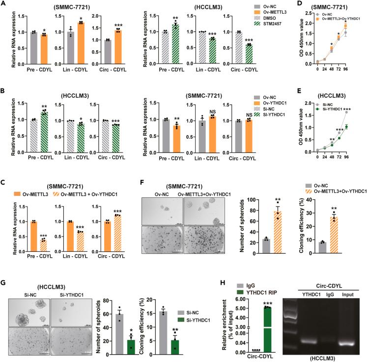
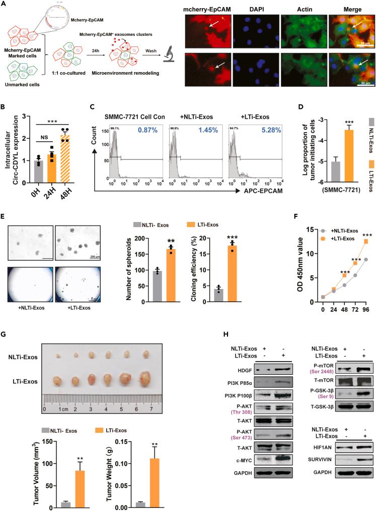
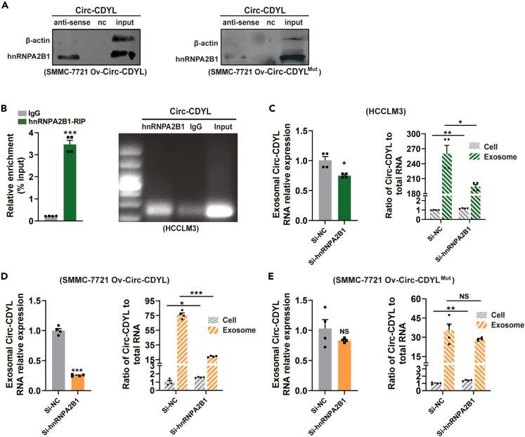
CircRNAs play multiple roles in a variety of cellular processes. We found that Circ-CDYL is highly enriched in early HCC plasma exosomes. Moreover, EpCAM HCC cells and exosomes had significant Circ-CDYL levels. We postulated that Circ-CDYL-enriched and EpCAM-positive exosomes would function as liver tumor-initiating exosomes (LTi-Exos). As predicted, intercellular transfer of LTi-Exos activates the HDGF-PI3K-AKT-mTOR and HIF1AN-NOTCH2 axes in recipient cells, promoting malignancy. Upstream, we found that the N6-methyladenosine (mA) modification of Circ-CDYL exerted its action in HCC cells through a dual mechanism. First, it stimulated back-splicing processes via YTHDC1 to promote Circ-CDYL biogenesis. Second, it facilitates the active sorting of Circ-CDYL into exosomes via hnRNPA2/B1. Clinically, the combination of LTi-Exos and plasma alpha-fetoprotein (AFP) provides a promising early diagnostic biomarker for HCC with an AUC of 0.896. This study highlights the effect and mechanism by which mA modification promotes hepatocarcinogenesis via modulation of the tumor microenvironment by LTi-Exos.

摘要

环状RNA(CircRNAs)在多种细胞过程中发挥多种作用。我们发现Circ-CDYL在早期肝癌血浆外泌体中高度富集。此外,上皮细胞黏附分子(EpCAM)阳性的肝癌细胞和外泌体具有显著的Circ-CDYL水平。我们推测,富含Circ-CDYL且EpCAM阳性的外泌体将作为肝肿瘤起始外泌体(LTi-Exos)发挥作用。正如预测的那样,LTi-Exos的细胞间转移激活了受体细胞中的HDGF-PI3K-AKT-mTOR和HIF1AN-NOTCH2轴,促进了恶性肿瘤的发生。在 upstream方面,我们发现Circ-CDYL的N6-甲基腺苷(mA)修饰通过双重机制在肝癌细胞中发挥作用。首先,它通过YTHDC1刺激反向剪接过程,促进Circ-CDYL的生物合成。其次,它通过hnRNPA2/B1促进Circ-CDYL向外泌体的主动分选。临床上,LTi-Exos与血浆甲胎蛋白(AFP)的联合为肝癌提供了一种有前景的早期诊断生物标志物,曲线下面积(AUC)为0.896。本研究强调了mA修饰通过LTi-Exos调节肿瘤微环境促进肝癌发生的作用和机制。

https://cdn.ncbi.nlm.nih.gov/pmc/blobs/d5b3/10638478/b1549bdba350/fx1.jpg

文献AI研究员

20分钟写一篇综述,助力文献阅读效率提升50倍。

立即体验

用中文搜PubMed

大模型驱动的PubMed中文搜索引擎

马上搜索

文档翻译

学术文献翻译模型,支持多种主流文档格式。

立即体验