Suppr超能文献

致癌性 PIK3CA 通过 5-脂氧合酶依赖的花生四烯酸途径招募髓源性抑制细胞来塑造腔乳腺癌中的免疫抑制肿瘤微环境。

Oncogenic PIK3CA recruits myeloid-derived suppressor cells to shape the immunosuppressive tumour microenvironment in luminal breast cancer through the 5-lipoxygenase-dependent arachidonic acid pathway.

机构信息

Cancer Molecular Diagnostics Core, Tianjin Medical University Cancer Institute and Hospital, National Clinical Research Center of Cancer, Tianjin's Clinical Research Center for Cancer, Tianjin, China.

Key Laboratory of Cancer Immunology and Biotherapy, Tianjin, China.

出版信息

Clin Transl Med. 2023 Nov;13(11):e1483. doi: 10.1002/ctm2.1483.

Abstract

BACKGROUND

Oncogenic PIK3CA mutations (PIK3CA ) frequently occur in a higher proportion in luminal breast cancer (LBC), especially in refractory advanced cases, and are associated with changes in tumour cellular metabolism. Nevertheless, its effect on the progression of the immune microenvironment (TIME) within tumours and vital molecular events remains veiled.

METHODS

Multiplex immunohistochemistry (mIHC) and single-cell mass cytometry (CyTOF) was used to describe the landscape of TIME in PIK3CA LBC. The PIK3CA mutant cell lines were established using CRISPER/Cas9 system. The gene expression levels, protein secretion and activity of signaling pathways were measured by real-time RT-PCR, ELISA, immunofluorescence staining or western blotting. GSEA analysis, transwell chemotaxis assay, live cell imaging, flow cytometry metabolite analysis targeting arachidonic acid, Dual-luciferase reporter assay, and Chromatin immunoprecipitation assay were used to investigate the underlying function and mechanism of the PI3K/5-LOX/LTB4 axis.

RESULTS

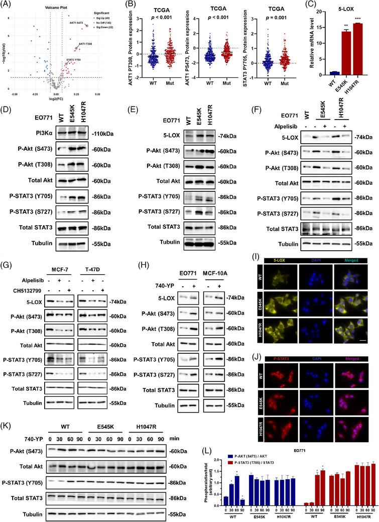
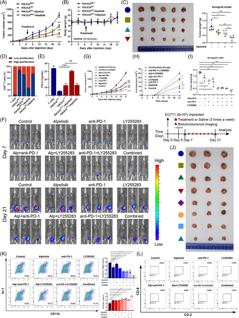
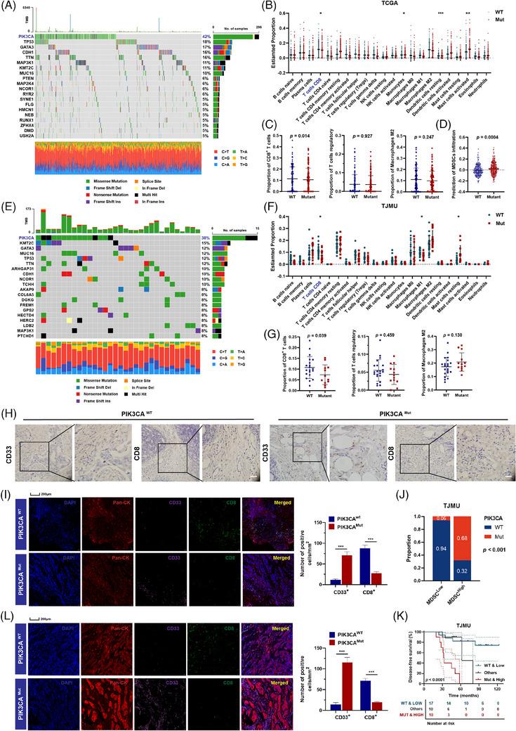
PIK3CA LBC cells can induce an immunosuppressive TIME by recruiting myeloid-derived suppressor cells (MDSCs) and excluding cytotoxic T cells via the arachidonic acid (AA) metabolism pathway. Mechanistically, PIK3CA activates the transcription of 5-lipoxygenase (5-LOX) in a STAT3-dependent manner, which in turn directly results in high LTB4 production, binding to BLT2 on MDSCs and promoting their infiltration. Since a suppressive TIME is a critical barrier for the success of cancer immunotherapy, the strategies that can convert "cold" tumours into "hot" tumours were compared. Targeted therapy against the PI3K/5-LOX/LTB4 axis synergizing with immune checkpoint blockade (ICB) therapy achieved dramatic shrinkage in vivo.

CONCLUSIONS

The results emphasize that PIK3CA can induce immune evasion by recruiting MDSCs through the 5-LOX-dependent AA pathway, and combination targeted therapy with ICB may provide a promising treatment option for refractory advanced LBC patients.

摘要

背景

致癌性 PIK3CA 突变(PIK3CA)在腔面型乳腺癌(LBC)中经常以更高的比例发生,尤其是在难治性晚期病例中,并且与肿瘤细胞代谢的变化有关。然而,其对肿瘤内免疫微环境(TIME)的进展及其重要分子事件的影响仍然未知。

方法

采用多重免疫组化(mIHC)和单细胞质谱流式细胞术(CyTOF)来描述 PIK3CA LBC 中 TIME 的图谱。使用 CRISPER/Cas9 系统建立 PIK3CA 突变细胞系。通过实时 RT-PCR、ELISA、免疫荧光染色或 Western blot 测量基因表达水平、蛋白质分泌和信号通路活性。GSEA 分析、Transwell 趋化实验、活细胞成像、针对花生四烯酸的代谢物分析、双荧光素酶报告基因分析和染色质免疫沉淀分析用于研究 PI3K/5-LOX/LTB4 轴的潜在功能和机制。

结果

PIK3CA LBC 细胞可以通过招募髓系来源的抑制细胞(MDSCs)并通过花生四烯酸(AA)代谢途径排除细胞毒性 T 细胞来诱导免疫抑制性 TIME。从机制上讲,PIK3CA 以 STAT3 依赖的方式激活 5-脂氧合酶(5-LOX)的转录,进而直接导致 LTB4 的高产量,与 MDSCs 上的 BLT2 结合并促进其浸润。由于抑制性 TIME 是癌症免疫治疗成功的关键障碍,因此比较了将“冷”肿瘤转化为“热”肿瘤的策略。针对 PI3K/5-LOX/LTB4 轴的靶向治疗与免疫检查点阻断(ICB)治疗联合具有显著的体内缩瘤效果。

结论

这些结果强调了 PIK3CA 可以通过 5-LOX 依赖性 AA 途径招募 MDSCs 来诱导免疫逃逸,针对 PI3K/5-LOX/LTB4 轴的靶向治疗与 ICB 联合可能为难治性晚期 LBC 患者提供一种有前途的治疗选择。

https://cdn.ncbi.nlm.nih.gov/pmc/blobs/0be9/10646754/db249b94c29d/CTM2-13-e1483-g003.jpg

文献AI研究员

20分钟写一篇综述,助力文献阅读效率提升50倍。

立即体验

用中文搜PubMed

大模型驱动的PubMed中文搜索引擎

马上搜索

文档翻译

学术文献翻译模型,支持多种主流文档格式。

立即体验