Suppr超能文献

通过使用异源活疫苗进行初免和使用异源或同源灭活疫苗进行加强免疫来保护产蛋鸡免受加拿大 DMV/1639 传染性支气管炎病毒感染。

Protection of laying chickens against the Canadian DMV/1639 infectious bronchitis virus infection through priming with heterologous live vaccine and boosting with heterologous or homologous inactivated vaccine.

机构信息

Faculty of Veterinary Medicine, University of Calgary, 3330 Hospital Drive NW, Calgary, AB T2N 4N1, Canada; Department of Avian and Rabbit Medicine, Faculty of Veterinary Medicine, Assiut University, Assiut 71515, Egypt.

Faculty of Veterinary Medicine, University of Calgary, 3330 Hospital Drive NW, Calgary, AB T2N 4N1, Canada; Department of Pathology, Faculty of Veterinary Medicine, Beni-Suef University, Beni Suef 62521, Egypt.

出版信息

Virus Res. 2024 Jan 2;339:199281. doi: 10.1016/j.virusres.2023.199281. Epub 2023 Nov 25.

Abstract

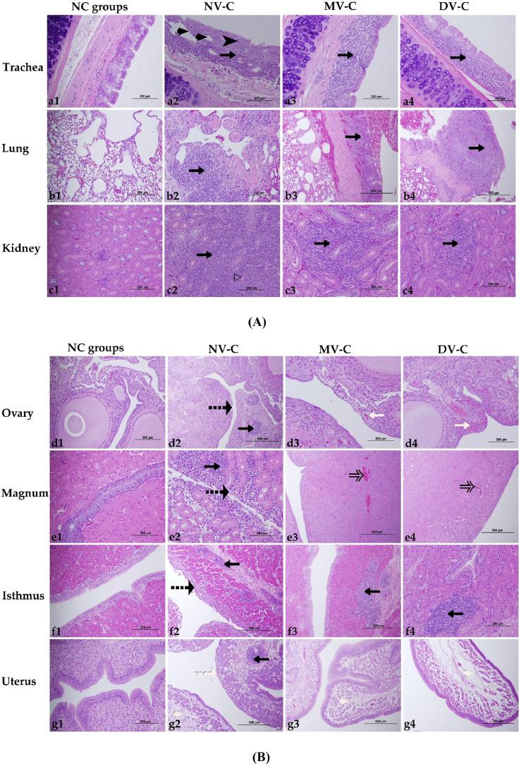
The emergence of the Canadian Delmarva (DMV)/1639 infectious bronchitis virus (IBV) type strains was associated with egg production disorders in Eastern Canadian layer operations. While developing vaccines for novel IBV variants is not typically a reasonable approach, the consideration of an autogenous vaccine becomes more appealing, particularly when the new variant presents significant economic challenges. The current study aimed to compare the efficacies of two vaccination programs that included heterologous live priming by Massachusetts (Mass) and Connecticut (Conn) type vaccines followed by either a commercial inactivated Mass type vaccine or a locally prepared autogenous inactivated DMV/1639 type vaccine against DMV/1639 IBV challenge. The protection parameters evaluated were egg production, viral shedding, dissemination of the virus in tissues, gross and microscopic lesions, and immunological responses. The challenge with the DMV/1639 caused severe consequences in the non-vaccinated laying hens including significant drop in egg production, production of low-quality eggs, serious damage to the reproductive organs, and yolk peritonitis. The two vaccination programs protected the layers from the poor egg-laying performance and the pathology. The vaccination program incorporating the autogenous inactivated DMV/1639 type vaccine was more effective in reducing vial loads in renal and reproductive tissues. This was associated with a higher virus neutralization titer compared to the group that received the commercial inactivated Mass type vaccine. Additionally, the autogenous vaccine boost led to a significant reduction in the viral shedding compared to the non-vaccinated laying hens. However, both vaccination programs induced significant level of protection considering all parameters examined. Overall, the findings from this study underscore the significance of IBV vaccination for protecting laying hens.

摘要

加拿大德拉华州/1639(DMV/1639)传染性支气管炎病毒(IBV)型毒株的出现与加拿大东部蛋鸡生产中的产蛋障碍有关。虽然针对新型 IBV 变异株开发疫苗通常不是一种合理的方法,但考虑使用同源疫苗变得更具吸引力,特别是当新变异株带来重大经济挑战时。本研究旨在比较两种疫苗接种方案的效果,这些方案包括马萨诸塞州(Mass)和康涅狄格州(Conn)型疫苗的异源活疫苗接种,然后使用商业灭活 Mass 型疫苗或本地制备的同源灭活 DMV/1639 型疫苗进行接种,以对抗 DMV/1639 IBV 挑战。评估的保护参数包括产蛋率、病毒脱落、病毒在组织中的传播、大体和显微镜病变以及免疫反应。DMV/1639 的挑战给未接种的产蛋母鸡带来了严重的后果,包括产蛋量显著下降、产蛋质量下降、生殖器官严重受损和卵黄性腹膜炎。两种疫苗接种方案都能保护产蛋母鸡免受不良产蛋性能和病理学的影响。包含同源灭活 DMV/1639 型疫苗的疫苗接种方案在减少肾脏和生殖组织中的病毒载量方面更有效。这与商业灭活 Mass 型疫苗组相比,病毒中和滴度更高有关。此外,与未接种的产蛋母鸡相比,同源疫苗加强免疫导致病毒脱落显著减少。然而,考虑到所有检查的参数,两种疫苗接种方案都能诱导出显著的保护水平。总体而言,这项研究的结果强调了 IBV 疫苗接种对于保护产蛋母鸡的重要性。

https://cdn.ncbi.nlm.nih.gov/pmc/blobs/b788/10751723/45268ca87477/gr1.jpg

文献AI研究员

20分钟写一篇综述,助力文献阅读效率提升50倍。

立即体验

用中文搜PubMed

大模型驱动的PubMed中文搜索引擎

马上搜索

文档翻译

学术文献翻译模型,支持多种主流文档格式。

立即体验