Suppr超能文献

评估顺铂对头颈部鳞状细胞癌(HNSCC)中Notch信号通路影响的三维培养方法的优化

Optimization of a Three-Dimensional Culturing Method for Assessing the Impact of Cisplatin on Notch Signaling in Head and Neck Squamous Cell Carcinoma (HNSCC).

作者信息

Anameriç Alinda, Czerwonka Arkadiusz, Nees Matthias

机构信息

Department of Biochemistry and Molecular Biology, Medical University of Lublin, 20-093 Lublin, Poland.

出版信息

Cancers (Basel). 2023 Nov 7;15(22):5320. doi: 10.3390/cancers15225320.

Abstract

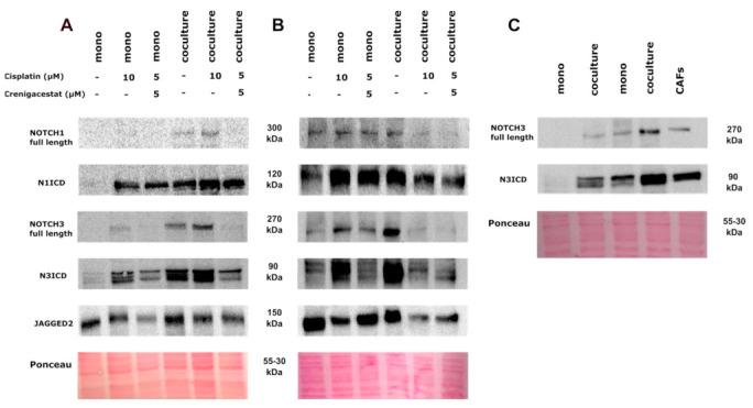
Head and neck squamous cell carcinoma (HNSCC) is a prevalent cancer type, with cisplatin being a primary treatment approach. However, drug resistance and therapy failure pose a significant challenge, affecting nearly 50% of patients over time. This research had two aims: (1) to optimize a 3D cell-culture method for assessing the interplay between tumor cells and cancer-associated fibroblasts (CAFs) in vitro; and (2) to study how cisplatin impacts the Notch pathway, particularly considering the role of CAFs. Using our optimized "3D sheet model" approach, we tested two HNSCC cell lines with different cisplatin sensitivities and moderate, non-mutated NOTCH1 and -3 expressions. Combining cisplatin with a γ-secretase inhibitor (crenigacestat) increased sensitivity and induced cell death in the less sensitive cell line, while cisplatin alone was more effective in the moderately sensitive line and sensitivity decreased with the Notch inhibitor. Cisplatin boosted the expression of core Notch signaling proteins in 3D monocultures of both lines, which was counteracted by crenigacestat. In contrast, the presence of patient-derived CAFs mitigated effects and protected both cell lines from cisplatin toxicity. Elevated NOTCH1 and NOTCH3 protein levels were consistently correlated with reduced cisplatin sensitivity and increased cell survival. Additionally, the Notch ligand JAG2 had additional, protective effects reducing cell death from cisplatin exposure. In summary, we observed an inverse relationship between NOTCH1 and NOTCH3 levels and cisplatin responsiveness, overall protective effects by CAFs, and a potential link between JAG2 expression with tumor cell survival.

摘要

头颈部鳞状细胞癌(HNSCC)是一种常见的癌症类型,顺铂是主要的治疗方法。然而,耐药性和治疗失败带来了重大挑战,随着时间的推移,近50%的患者受到影响。本研究有两个目的:(1)优化一种3D细胞培养方法,用于在体外评估肿瘤细胞与癌症相关成纤维细胞(CAF)之间的相互作用;(2)研究顺铂如何影响Notch信号通路,特别是考虑CAF的作用。使用我们优化的“3D薄片模型”方法,我们测试了两种对顺铂敏感性不同且NOTCH1和-3表达中等、未突变的HNSCC细胞系。将顺铂与γ-分泌酶抑制剂(环尼加司他)联合使用可提高较不敏感细胞系的敏感性并诱导细胞死亡,而单独使用顺铂在中度敏感细胞系中更有效,并且与Notch抑制剂联合使用时敏感性降低。顺铂可提高两种细胞系3D单培养物中Notch信号核心蛋白的表达,而环尼加司他可抵消这种作用。相反,患者来源的CAF的存在减轻了影响,并保护两种细胞系免受顺铂毒性。NOTCH1和NOTCH3蛋白水平升高始终与顺铂敏感性降低和细胞存活率增加相关。此外,Notch配体JAG2具有额外的保护作用,可减少顺铂暴露引起的细胞死亡。总之,我们观察到NOTCH1和NOTCH3水平与顺铂反应性之间呈负相关,CAF具有总体保护作用,以及JAG2表达与肿瘤细胞存活之间存在潜在联系。

https://cdn.ncbi.nlm.nih.gov/pmc/blobs/0256/10670464/57c335ebac05/cancers-15-05320-g001.jpg

文献AI研究员

20分钟写一篇综述,助力文献阅读效率提升50倍。

立即体验

用中文搜PubMed

大模型驱动的PubMed中文搜索引擎

马上搜索

文档翻译

学术文献翻译模型,支持多种主流文档格式。

立即体验