Suppr超能文献

使用新型工程化旋转加速闭合性颅脑损伤模型(CHIMERA)对脑回状雪貂模型中的创伤性脑损伤进行特征描述。

Characterization of Traumatic Brain Injury in a Gyrencephalic Ferret Model Using the Novel Closed Head Injury Model of Engineered Rotational Acceleration (CHIMERA).

作者信息

Krieg Justin L, Leonard Anna V, Tuner Renee J, Corrigan Frances

机构信息

Translational Neuropathology Laboratory, School of Biomedicine, Faculty of Health and Medical Sciences, The University of Adelaide, Adelaide, Australia.

出版信息

Neurotrauma Rep. 2023 Nov 9;4(1):761-780. doi: 10.1089/neur.2023.0047. eCollection 2023.

Abstract

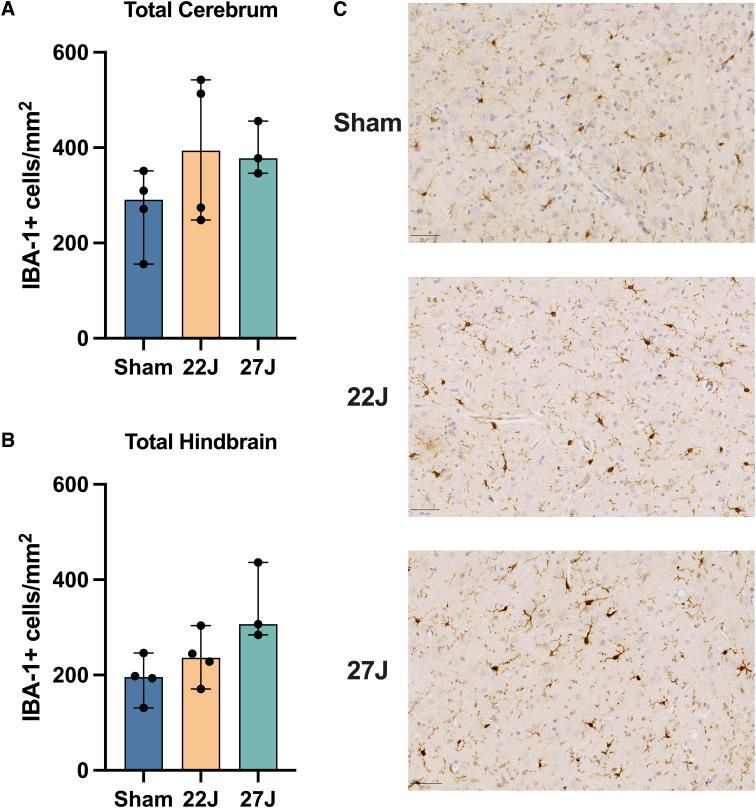
Traumatic brain injury (TBI) results from mechanical force to the brain and leads to a series of biochemical responses that further damage neurons and supporting cells. Clinically, most TBIs result from an impact to the intact skull, making closed head TBI pre-clinical models highly relevant. However, most of these closed head TBI models use lissencephalic rodents, which may not transduce biomechanical load in the same manner as gyrencephalic humans. To address this translational gap, this study aimed to characterize acute axonal injury and microglial responses in ferrets-the smallest gyrencephalic mammal. Injury was induced in male ferrets (; 1.20-1.51 kg; 6-9 months old) with the novel Closed Head Injury Model of Engineered Rotational Acceleration (CHIMERA) model. Animals were randomly allocated to either sham ( = 4), a 22J (joules) impact ( = 4), or a 27J impact ( = 4). Axonal injury was examined histologically with amyloid precursor protein (APP), neurofilament M (RMO 14.9) (RMO-14), and phosphorylated tau (AT180) and the microglial response with ionized calcium-binding adaptor molecule 1 at 24 h post-injury in gray and white matter regions. Graded axonal injury was observed with modest increases in APP and RMO-14 immunoreactivity in the 22J TBI group, mostly within the corpus callosum and fornix and more extensive diffuse axonal injury encompassing gray matter structures like the thalamus and hypothalamus in the 27J group. Accompanying microglial activation was only observed in the 27J group, most prominently within the white matter tracts in response to the larger amounts of axonal injury. The 27J, but not the 22J, group showed an increase in AT180 within the base of the sulci post-injury. This could suggest that the strain may be highest in this region, demonstrating the different responses in gyrencephalic compared to lissencephalic brains. The CHIMERA model in ferrets mimic many of the histopathological features of human closed head TBI acutely and provides a promising model to investigate the pathophysiology of TBI.

摘要

创伤性脑损伤(TBI)是由作用于脑部的机械力导致的,并引发一系列生化反应,进一步损害神经元和支持细胞。临床上,大多数TBI是由完整颅骨受到撞击引起的,这使得闭合性颅脑损伤的临床前模型具有高度相关性。然而,这些闭合性颅脑损伤模型大多使用无脑回的啮齿动物,它们传导生物力学负荷的方式可能与有脑回的人类不同。为了弥补这一转化差距,本研究旨在描述雪貂(最小的有脑回哺乳动物)急性轴突损伤和小胶质细胞反应的特征。使用新型的工程旋转加速度闭合性颅脑损伤模型(CHIMERA)在雄性雪貂(体重1.20 - 1.51千克;6 - 9个月大)中诱导损伤。将动物随机分为假手术组(n = 4)、22焦耳(J)撞击组(n = 4)或27J撞击组(n = 4)。在损伤后24小时,用淀粉样前体蛋白(APP)、神经丝M(RMO 14.9)(RMO - 14)和磷酸化tau蛋白(AT180)对轴突损伤进行组织学检查,并在灰质和白质区域用离子钙结合衔接分子1检测小胶质细胞反应。在22J TBI组中观察到轴突损伤分级,APP和RMO - 14免疫反应性适度增加,主要在胼胝体和穹窿内;在27J组中,轴突损伤更广泛,包括丘脑和下丘脑等灰质结构的弥漫性轴突损伤。仅在27J组中观察到伴随的小胶质细胞激活,最明显的是在白质束内,以应对大量的轴突损伤。27J组而非22J组在损伤后沟底部的AT180增加。这可能表明该区域的应变可能最高,显示出有脑回的大脑与无脑回的大脑有不同的反应。雪貂中的CHIMERA模型急性模拟了人类闭合性颅脑损伤的许多组织病理学特征,并为研究TBI的病理生理学提供了一个有前景的模型。

https://cdn.ncbi.nlm.nih.gov/pmc/blobs/72d9/10659026/ca1a607556f5/neur.2023.0047_figure1.jpg

文献AI研究员

20分钟写一篇综述,助力文献阅读效率提升50倍。

立即体验

用中文搜PubMed

大模型驱动的PubMed中文搜索引擎

马上搜索

文档翻译

学术文献翻译模型,支持多种主流文档格式。

立即体验