Suppr超能文献

药理抑制瞬时受体电位离子通道锚蛋白 1 可对抗 2-氯苯甲腈催泪瓦斯剂引起的皮肤损伤。

Pharmacologic Inhibition of Transient Receptor Potential Ion Channel Ankyrin 1 Counteracts 2-Chlorobenzalmalononitrile Tear Gas Agent-Induced Cutaneous Injuries.

机构信息

Center for Translational Pain Medicine, Department of Anesthesiology (S.A., B.L., S.-E.J.) and Department of Pharmacology and Cancer Biology (S.-E.J.), Duke University School of Medicine, Durham, North Carolina; Department of Pharmacology, Yale University School of Medicine, New Haven, Connecticut (N.R.C., S.B.); and Integrated Toxicology and Environmental Health Program (ITEHP), Nicholas School of the Environment, Duke University, Durham, North Carolina (S.-E.J.)

Center for Translational Pain Medicine, Department of Anesthesiology (S.A., B.L., S.-E.J.) and Department of Pharmacology and Cancer Biology (S.-E.J.), Duke University School of Medicine, Durham, North Carolina; Department of Pharmacology, Yale University School of Medicine, New Haven, Connecticut (N.R.C., S.B.); and Integrated Toxicology and Environmental Health Program (ITEHP), Nicholas School of the Environment, Duke University, Durham, North Carolina (S.-E.J.).

出版信息

J Pharmacol Exp Ther. 2024 Jan 17;388(2):613-623. doi: 10.1124/jpet.123.001666.

Abstract

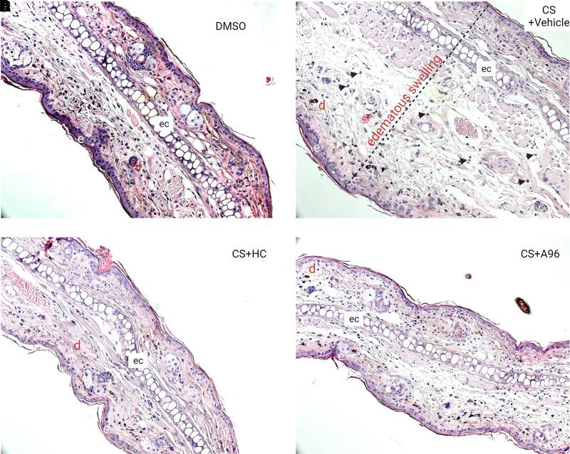
Deployment of the tear gas agent 2-chlorobenzalmalononitrile (CS) for riot control has significantly increased in recent years. The effects of CS have been believed to be transient and benign. However, CS induces severe pain, blepharospasm, lachrymation, airway obstruction, and skin blisters. Frequent injuries and hospitalizations have been reported after exposure. We have identified the sensory neuronal ion channel, transient receptor potential ankyrin 1 (TRPA1), as a key CS target resulting in acute irritation and pain and also as a mediator of neurogenic inflammation. Here, we examined the effects of pharmacologic TRPA1 inhibition on CS-induced cutaneous injury. We modeled CS-induced cutaneous injury by applying 10 l CS agent [200 mM in dimethyl sulfoxide (DMSO)] to each side of the right ears of 8- to 9-week-old C57BL/6 male mice, whereas left ears were applied with solvent only (DMSO). The TRPA1 inhibitor HC-030031 or A-967079 was administered after CS exposure. CS exposure induced strong tissue swelling, plasma extravasation, and a dramatic increase in inflammatory cytokine levels in the mouse ear skin. We also showed that the effects of CS were not transient but caused persistent skin injuries. These injury parameters were reduced with TRPA1 inhibitor treatment. Further, we tested the pharmacologic activity of advanced TRPA1 antagonists in vitro. Our findings showed that TRPA1 is a crucial mediator of CS-induced nociception and tissue injury and that TRPA1 inhibitors are effective countermeasures that reduce key injury parameters when administered after exposure. Additional therapeutic efficacy studies with advanced TRPA1 antagonists and decontamination strategies are warranted. SIGNIFICANCE STATEMENT: 2-Chlorobenzalmalononitrile (CS) tear gas agent has been deployed as a crowd dispersion chemical agent in recent times. Exposure to CS tear gas agents has been believed to cause transient acute toxic effects that are minimal at most. Here we found that CS tear gas exposure causes both acute and persistent skin injuries and that treatment with transient receptor potential ion channel ankyrin 1 (TRPA1) antagonists ameliorated skin injuries.

摘要

催泪瓦斯制剂 2-氯苯亚甲基丙二腈(CS)近年来在防暴中大量使用。人们一直认为 CS 的作用是短暂的,而且是良性的。然而,CS 会引起严重的疼痛、眼脸痉挛、流泪、气道阻塞和皮肤水疱。据报道,接触 CS 后频繁出现受伤和住院的情况。我们已经确定感觉神经元离子通道,瞬时受体电位锚蛋白 1(TRPA1)是 CS 导致急性刺激和疼痛的关键靶点,也是神经源性炎症的介质。在这里,我们研究了药物抑制 TRPA1 对 CS 引起的皮肤损伤的影响。我们通过将 10 l CS 制剂(二甲基亚砜(DMSO)中 200mM)应用于 8-9 周龄 C57BL/6 雄性小鼠右侧耳朵的每一侧,而左侧耳朵仅应用溶剂(DMSO)来模拟 CS 引起的皮肤损伤。在 CS 暴露后给予 TRPA1 抑制剂 HC-030031 或 A-967079。CS 暴露导致小鼠耳部皮肤组织肿胀、血浆外渗和炎症细胞因子水平显著增加。我们还表明,CS 的作用不是短暂的,而是导致持续的皮肤损伤。用 TRPA1 抑制剂治疗可降低这些损伤参数。此外,我们在体外测试了先进的 TRPA1 拮抗剂的药理活性。我们的研究结果表明,TRPA1 是 CS 引起的伤害感受和组织损伤的关键介质,TRPA1 抑制剂是有效的对策,在暴露后给予时可降低关键的损伤参数。需要进一步进行具有先进 TRPA1 拮抗剂和去污策略的治疗功效研究。

重要性声明

2-氯苯亚甲基丙二腈(CS)催泪瓦斯制剂近年来已被用作驱散人群的化学剂。接触 CS 催泪瓦斯被认为会引起短暂的急性毒性作用,在大多数情况下是最小的。在这里,我们发现 CS 催泪瓦斯暴露会引起急性和持续性皮肤损伤,而用瞬时受体电位离子通道锚蛋白 1(TRPA1)拮抗剂治疗可改善皮肤损伤。

https://cdn.ncbi.nlm.nih.gov/pmc/blobs/ea62/10801748/ace16ec1f1ca/jpet.123.001666absf1.jpg

文献AI研究员

20分钟写一篇综述,助力文献阅读效率提升50倍。

立即体验

用中文搜PubMed

大模型驱动的PubMed中文搜索引擎

马上搜索

文档翻译

学术文献翻译模型,支持多种主流文档格式。

立即体验