Suppr超能文献

缺失与高度近视有关,并以剂量依赖的方式参与大鼠眼球发育。

Defect of Is Associated with High Myopia and Participates in Rat Ocular Development in a Dose-Dependent Manner.

机构信息

State Key Laboratory of Ophthalmology, Zhongshan Ophthalmic Center, Sun Yat-Sen University, Guangdong Provincial Key Laboratory of Ophthalmology and Visual Science, Guangzhou 510000, China.

出版信息

Int J Mol Sci. 2023 Nov 29;24(23):16928. doi: 10.3390/ijms242316928.

Abstract

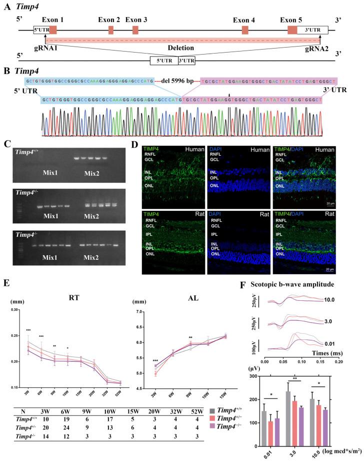
Thinning of the sclera happens in myopia eyes owing to extracellular matrix (ECM) remodeling, but the initiators of the ECM remodeling in myopia are mainly unknown. The matrix metalloproteinase (MMPs) and tissue inhibitors of matrix metalloproteinase (TIMPs) regulate the homeostasis of the ECM. However, genetic studies of the MMPs and TIMPs in the occurrence of myopia are poor and limited. This study systematically investigated the association between twenty-nine genes of the TIMPs and MMPs families and early-onset high myopia (eoHM) based on whole exome sequencing data. Two heterozygous loss-of-function (LoF) variants, c.528C>A in six patients and c.234_235insAA in one patient, were statistically enriched in 928 eoHM probands compared to that in 5469 non-high myopia control ( = 3.7 × 10) and that in the general population ( = 2.78 × 10). Consequently, the gene editing rat was further evaluated to explore the possible role of on ocular and myopia development. A series of ocular morphology abnormalities in a dose-dependent manner ( < < ) were observed in a rat model, including the decline in the retinal thickness, the elongation in the axial length, more vulnerable to the form deprivation model, morphology changes in sclera collagen bundles, and the decrease in collagen contents of the sclera and retina. Electroretinogram revealed that the b-wave amplitudes of defect rats were significantly reduced, consistent with the shorter length of the bipolar axons detected by HE and IF staining. Heterozygous LoF variants in the are associated with early onset high myopia, and the defect disturbs ocular development by influencing the morphology and function of the ocular tissue.

摘要

巩膜变薄发生在近视眼中,是由于细胞外基质(ECM)重塑,但是导致近视 ECM 重塑的启动子主要未知。基质金属蛋白酶(MMPs)和基质金属蛋白酶抑制剂(TIMPs)调节 ECM 的动态平衡。然而,MMPs 和 TIMPs 的遗传研究在近视中的发生情况较差且有限。本研究基于全外显子测序数据,系统研究了 TIMPs 和 MMPs 家族的 29 个基因与早发性高度近视(eoHM)的关联。在 928 名 eoHM 先证者中,与 5469 名非高度近视对照者(= 3.7 × 10)和一般人群(= 2.78 × 10)相比,6 名患者中有 1 名患者存在杂合性无功能(LoF)变异 c.528C>A 和 c.234_235insAA,存在统计学富集。因此,进一步评估基因编辑大鼠,以探讨 可能在眼部和近视发展中的作用。在大鼠模型中,观察到一系列以剂量依赖性方式的眼部形态异常( < < ),包括视网膜厚度下降、眼轴延长、对形觉剥夺模型更敏感、巩膜胶原束形态改变以及巩膜和视网膜胶原含量减少。视网膜电图显示, 缺陷大鼠的 b 波幅度显著降低,与 HE 和 IF 染色检测到的双极轴突缩短一致。 中的杂合性 LoF 变异与早发性高度近视相关, 缺陷通过影响眼组织的形态和功能干扰眼部发育。

https://cdn.ncbi.nlm.nih.gov/pmc/blobs/b961/10707432/2abb4bed79af/ijms-24-16928-g0A1.jpg

相似文献

2
3
Variants in HNRNPH1 are associated with high myopia in humans and ocular coloboma in zebrafish.
Clin Genet. 2022 Nov;102(5):424-433. doi: 10.1111/cge.14213. Epub 2022 Aug 29.
4
Up-Regulation of NLRP3 in the Sclera Correlates with Myopia Progression in a Form-Deprivation Myopia Mouse Model.
Front Biosci (Landmark Ed). 2023 Feb 8;28(2):27. doi: 10.31083/j.fbl2802027.
5
Establishment of novel therapy to reduce progression of myopia in rats with experimental myopia by fibroblast transplantation on sclera.
J Tissue Eng Regen Med. 2018 Jan;12(1):e451-e461. doi: 10.1002/term.2275. Epub 2017 Apr 11.
7
A novel deep intronic COL2A1 mutation in a family with early-onset high myopia/ocular-only Stickler syndrome.
Ophthalmic Physiol Opt. 2020 May;40(3):281-288. doi: 10.1111/opo.12682. Epub 2020 Mar 20.
8
Novel mutations of the X-linked genes associated with early-onset high myopia in five Chinese families.
BMC Med Genomics. 2023 Sep 25;16(1):223. doi: 10.1186/s12920-023-01665-x.
10
The sclera and myopia.
Exp Eye Res. 2006 Feb;82(2):185-200. doi: 10.1016/j.exer.2005.08.009. Epub 2005 Oct 3.

引用本文的文献

1
Timp2-modified gelatinhydroxyphenylpropionic acid hydrogels reverse enhanced scleral recovery and suppress myopia development in mice.
Mater Today Bio. 2025 Jun 7;33:101942. doi: 10.1016/j.mtbio.2025.101942. eCollection 2025 Aug.
2
Decreased serum TIMP4 levels in patients with rheumatoid arthritis.
Open Life Sci. 2025 Apr 25;20(1):20221037. doi: 10.1515/biol-2022-1037. eCollection 2025.
3
Retinal glia in myopia: current understanding and future directions.
Front Cell Dev Biol. 2024 Dec 20;12:1512988. doi: 10.3389/fcell.2024.1512988. eCollection 2024.

本文引用的文献

1
P4HA2 induces hepatic ductular reaction and biliary fibrosis in chronic cholestatic liver diseases.
Hepatology. 2023 Jul 1;78(1):10-25. doi: 10.1097/HEP.0000000000000317. Epub 2023 Feb 20.
2
Variants in HNRNPH1 are associated with high myopia in humans and ocular coloboma in zebrafish.
Clin Genet. 2022 Nov;102(5):424-433. doi: 10.1111/cge.14213. Epub 2022 Aug 29.
4
A Novel Rat Model of Dry Eye Induced by Aerosol Exposure of Particulate Matter.
Invest Ophthalmol Vis Sci. 2022 Jan 3;63(1):39. doi: 10.1167/iovs.63.1.39.
6
Expression of and after form-deprivation myopia in Guinea pigs.
Eur J Ophthalmol. 2022 Sep;32(5):3050-3057. doi: 10.1177/11206721211070305. Epub 2021 Dec 28.
7
Benchmarking of tools for axon length measurement in individually-labeled projection neurons.
PLoS Comput Biol. 2021 Dec 8;17(12):e1009051. doi: 10.1371/journal.pcbi.1009051. eCollection 2021 Dec.
8
Mitral Valve Prolapse Induces Regionalized Myocardial Fibrosis.
J Am Heart Assoc. 2021 Dec 21;10(24):e022332. doi: 10.1161/JAHA.121.022332. Epub 2021 Dec 7.
9
Pathophysiology and Pathogenesis of Marfan Syndrome.
Adv Exp Med Biol. 2021;1348:185-206. doi: 10.1007/978-3-030-80614-9_8.
10
Morphological and distributional properties of SMI-32 immunoreactive ganglion cells in the rat retina.
J Comp Neurol. 2022 Jun;530(8):1276-1287. doi: 10.1002/cne.25275. Epub 2021 Dec 15.

文献AI研究员

20分钟写一篇综述,助力文献阅读效率提升50倍。

立即体验

用中文搜PubMed

大模型驱动的PubMed中文搜索引擎

马上搜索

文档翻译

学术文献翻译模型,支持多种主流文档格式。

立即体验