Suppr超能文献

SMARCB1 缺陷型鼻腔鼻窦腺癌:一种罕见的 SWI/SNF 缺陷型恶性肿瘤,常被误诊为高级别非肠型鼻腔鼻窦腺癌或肌上皮癌。

SMARCB1-deficient sinonasal adenocarcinoma: a rare variant of SWI/SNF-deficient malignancy often misclassified as high-grade non-intestinal-type sinonasal adenocarcinoma or myoepithelial carcinoma.

机构信息

Department of Pathology, Faculty of Medicine in Pilsen, Charles University, E. Benese 13, 305 99, Pilsen, Czech Republic.

Bioptic Laboratory, Ltd., Pilsen, Czech Republic.

出版信息

Virchows Arch. 2024 Aug;485(2):245-256. doi: 10.1007/s00428-023-03650-2. Epub 2023 Dec 12.

Abstract

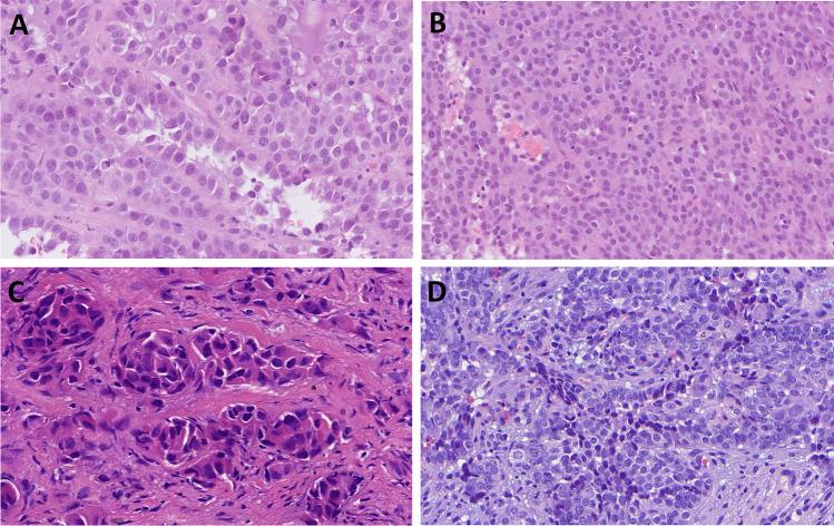
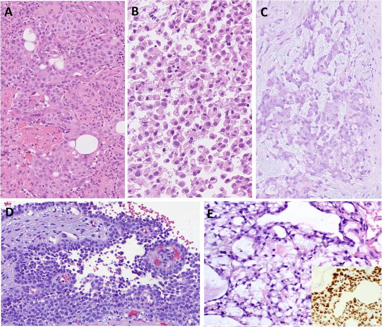
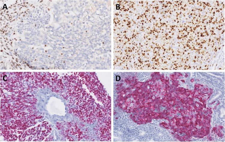
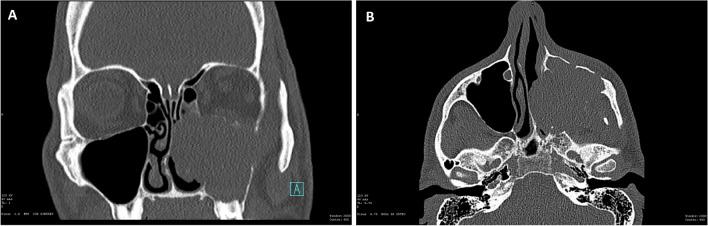
SMARCB1-deficient sinonasal adenocarcinoma is a rare variant of SWI/SNF-deficient malignancies with SMARCB1 loss and adenocarcinoma features. More than 200 high-grade epithelial sinonasal malignancies were retrieved. A total of 14 cases exhibited complete SMARCB1 (INI1) loss and glandular differentiation. SMARCA2 and SMARCA4 were normal, except for one case with a loss of SMARCA2. Next-generation sequencing (NGS) and/or fluorescence in situ hybridization (FISH) revealed an alteration in the SMARCB1 gene in 9/13 cases, while 2/13 were negative. Two tumors harbored SMARCB1 mutations in c.157C > T p.(Arg53Ter) and c.842G > A p.(Trp281Ter). One harbored ARID1B mutations in c.1469G > A p.(Trp490Ter) and MGA c.3724C > T p.(Arg1242Ter). Seven tumors had a SMARCB1 deletion. One carried an ESR1 mutation in c.644-2A > T, and another carried a POLE mutation in c.352_374del p.(Ser118GlyfsTer78). One case had a PAX3 mutation in c.44del p.(Gly15AlafsTer95). Histomorphology of SMARCB1-deficient adenocarcinoma was oncocytoid/rhabdoid and glandular, solid, or trabecular in 9/14 cases. Two had basaloid/blue cytoplasm and one showed focal signet ring cells. Yolk sac tumor-like differentiation with Schiller-Duval-like bodies was seen in 6/14 cases, with 2 cases showing exclusively reticular-microcystic yolk sac pattern. Follow-up of a maximum of 26 months (median 10 months) was available for 8/14 patients. Distant metastasis to the lung, liver, mediastinum, bone, and/or retroperitoneum was seen in 4/8 cases. Locoregional failure was seen in 75% of patients, with 6/8 local recurrences and 3 cervical lymph node metastases. At the last follow-up, 5 of 8 (62%) patients had died of their disease 2 to 20 months after diagnosis (median 8.2 months), and 3 were alive with the disease. The original diagnosis was usually high-grade non-intestinal-type adenocarcinoma or high-grade myoepithelial carcinoma. A correct diagnosis of these aggressive tumors could lead to improved targeted therapies with potentially better overall disease-specific survival.

摘要

SMARCB1 缺陷型鼻腔鼻窦腺癌是一种罕见的 SWI/SNF 缺陷性恶性肿瘤,具有 SMARCB1 缺失和腺癌特征。我们共检索到 200 多例高级别上皮性鼻腔鼻窦恶性肿瘤。共有 14 例完全缺失 SMARCB1(INI1)和腺分化。SMARCA2 和 SMARCA4 正常,除了 1 例 SMARCA2 缺失。下一代测序(NGS)和/或荧光原位杂交(FISH)显示,在 9/13 例中存在 SMARCB1 基因改变,而 2/13 例为阴性。2 个肿瘤在 c.157C>T p.(Arg53Ter)和 c.842G>A p.(Trp281Ter)处存在 SMARCB1 突变。1 个肿瘤存在 ARID1B 在 c.1469G>A p.(Trp490Ter)和 MGA c.3724C>T p.(Arg1242Ter)处的突变。7 个肿瘤存在 SMARCB1 缺失。1 个肿瘤存在 ESR1 在 c.644-2A>T 处的突变,另 1 个肿瘤存在 POLE 在 c.352_374del p.(Ser118GlyfsTer78)处的突变。1 个肿瘤存在 PAX3 在 c.44del p.(Gly15AlafsTer95)处的突变。SMARCB1 缺陷型腺癌的组织形态学为 9/14 例为类癌样/横纹肌样和腺性,实性或小梁状。2 例为基底细胞样/蓝色细胞质,1 例为局灶性印戒细胞样。6/14 例存在卵黄囊瘤样分化伴 Schiller-Duval 样小体,其中 2 例仅存在网状微囊状卵黄囊样模式。8/14 例患者中,有 26 个月(中位 10 个月)的最大随访时间。4/8 例患者出现肺、肝、纵隔、骨和/或腹膜后远处转移。75%的患者出现局部区域复发,其中 6/8 例局部复发,3 例出现颈部淋巴结转移。在最后一次随访时,8 例中有 5 例(62%)患者在诊断后 2 至 20 个月(中位 8.2 个月)死于疾病,3 例仍患有疾病。这些侵袭性肿瘤的正确诊断可能会导致更好的靶向治疗,从而提高总体疾病特异性生存率。

https://cdn.ncbi.nlm.nih.gov/pmc/blobs/413f/11329539/ab6fedf410f7/428_2023_3650_Fig1_HTML.jpg

文献AI研究员

20分钟写一篇综述,助力文献阅读效率提升50倍。

立即体验

用中文搜PubMed

大模型驱动的PubMed中文搜索引擎

马上搜索

文档翻译

学术文献翻译模型,支持多种主流文档格式。

立即体验