Suppr超能文献

虾青素和含硫代缩醛聚合物通过重编程巨噬细胞极化、耗竭 ROS 来递送雷帕霉素治疗骨关节炎。

Reprogramming Macrophage Polarization, Depleting ROS by Astaxanthin and Thioketal-Containing Polymers Delivering Rapamycin for Osteoarthritis Treatment.

机构信息

Department of Orthopedic Surgery, The First Affiliated Hospital of University of South China, Hengyang, Hunan, 421001, China.

Department of Orthopaedic Surgery, China-Japan Friendship Hospital, No.2 Yinghuayuan East Street, Beijing, 100029, China.

出版信息

Adv Sci (Weinh). 2024 Mar;11(9):e2305363. doi: 10.1002/advs.202305363. Epub 2023 Dec 14.

Abstract

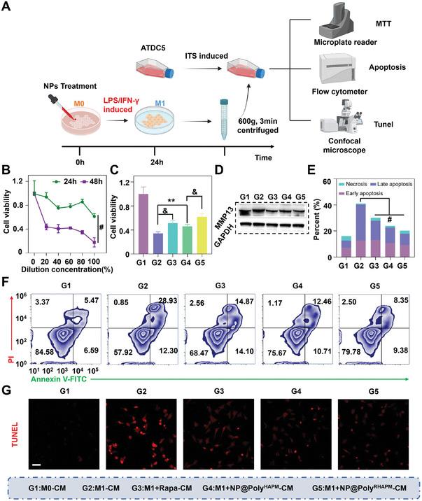
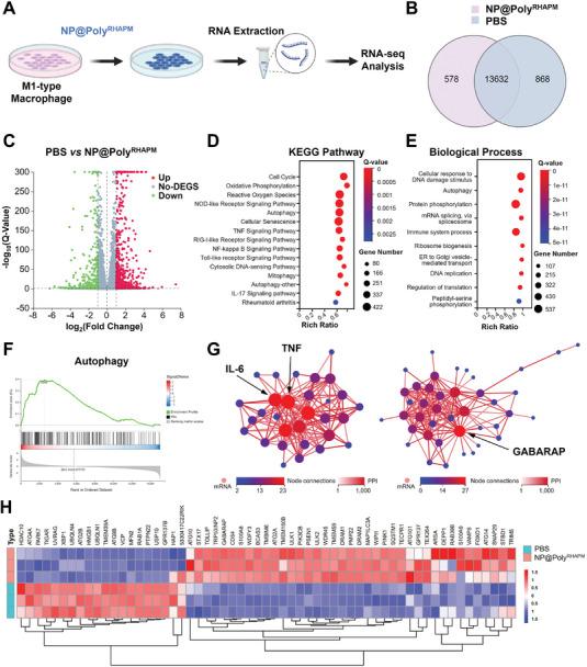
Osteoarthritis (OA) is a chronic joint disease characterized by synovitis and joint cartilage destruction. The severity of OA is highly associated with the imbalance between M1 and M2 synovial macrophages. In this study, a novel strategy is designed to modulate macrophage polarization by reducing intracellular reactive oxygen species (ROS) levels and regulating mitochondrial function. A ROS-responsive polymer is synthesized to self-assemble with astaxanthin and autophagy activator rapamycin to form nanoparticles (NP@Poly ). In vitro experiments show that NP@Poly significantly reduced intracellular ROS levels. Furthermore, NP@Poly restored mitochondrial membrane potential, increased glutathione (GSH) levels, and promoted intracellular autophagy, hence successfully repolarizing M1 macrophages into the M2 phenotype. This repolarization enhanced chondrocyte proliferation and vitality while inhibiting apoptosis. In vivo experiments utilizing an anterior cruciate ligament transection (ACLT)-induced OA mouse model revealed the anti-inflammatory and cartilage-protective effects of NP@Poly , effectively mitigating OA progression. Consequently, the findings suggest that intra-articular delivery of ROS-responsive nanocarrier systems holds significant promise as a potential and effective therapeutic strategy for OA treatment.

摘要

骨关节炎(OA)是一种慢性关节疾病,其特征为滑膜炎和关节软骨破坏。OA 的严重程度与 M1 和 M2 滑膜巨噬细胞之间的失衡高度相关。在这项研究中,设计了一种通过降低细胞内活性氧(ROS)水平和调节线粒体功能来调节巨噬细胞极化的新策略。合成了一种 ROS 响应性聚合物,使其与虾青素和自噬激活剂雷帕霉素自组装形成纳米颗粒(NP@Poly)。体外实验表明,NP@Poly 显著降低了细胞内 ROS 水平。此外,NP@Poly 恢复了线粒体膜电位,增加了谷胱甘肽(GSH)水平,并促进了细胞内自噬,从而成功地将 M1 巨噬细胞重新极化为 M2 表型。这种重极化增强了软骨细胞的增殖和活力,同时抑制了细胞凋亡。利用前交叉韧带切断(ACLT)诱导的 OA 小鼠模型进行的体内实验揭示了 NP@Poly 的抗炎和软骨保护作用,有效减轻了 OA 的进展。因此,这些发现表明,关节内递送 ROS 响应性纳米载体系统作为 OA 治疗的一种有潜力和有效的治疗策略具有重要意义。

https://cdn.ncbi.nlm.nih.gov/pmc/blobs/5f82/10916582/821a6b274633/ADVS-11-2305363-g003.jpg

文献AI研究员

20分钟写一篇综述,助力文献阅读效率提升50倍。

立即体验

用中文搜PubMed

大模型驱动的PubMed中文搜索引擎

马上搜索

文档翻译

学术文献翻译模型,支持多种主流文档格式。

立即体验