Suppr超能文献

表观遗传学和转录因子Sp1在人软骨中D类前列腺素受体1表达中的作用

Role of epigenetics and the transcription factor Sp1 in the expression of the D prostanoid receptor 1 in human cartilage.

作者信息

Najar Mehdi, Alsabri Sami G, Guedi Gadid G, Merimi Makram, Lavoie Frédéric, Grabs Detlev, Pelletier Jean-Pierre, Martel-Pelletier Johanne, Benderdour Mohamed, Fahmi Hassan

机构信息

Osteoarthritis Research Unit, University of Montreal Hospital Research Center (CRCHUM), Montreal, QC, Canada.

Laboratory of Experimental Hematology, Institut Jules Bordet, Université Libre de Bruxelles (ULB), Brussels, Belgium.

出版信息

Front Cell Dev Biol. 2023 Nov 30;11:1256998. doi: 10.3389/fcell.2023.1256998. eCollection 2023.

Abstract

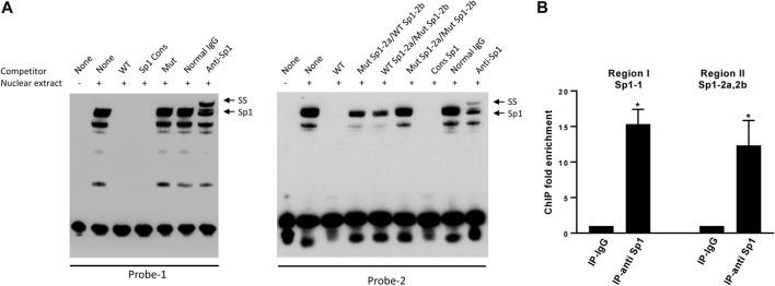
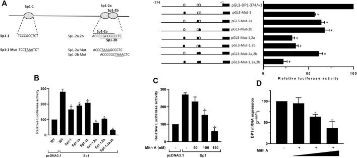
D prostanoid receptor 1 (DP1), a prostaglandin D2 receptor, plays a central role in the modulation of inflammation and cartilage metabolism. We have previously shown that activation of DP1 signaling downregulated catabolic responses in cultured chondrocytes and was protective in mouse osteoarthritis (OA). However, the mechanisms underlying its transcriptional regulation in cartilage remained poorly understood. In the present study, we aimed to characterize the human DP1 promoter and the role of DNA methylation in DP1 expression in chondrocytes. In addition, we analyzed the expression level and methylation status of the DP1 gene promoter in normal and OA cartilage. Deletion and site-directed mutagenesis analyses identified a minimal promoter region (-250/-120) containing three binding sites for specificity protein 1 (Sp1). Binding of Sp1 to the DP1 promoter was confirmed using electrophoretic mobility shift assay (EMSA) and chromatin immunoprecipitation (ChIP) assays Treatment with the Sp1 inhibitor mithramycin A reduced DP1 promoter activity and DP1 mRNA expression. Inhibition of DNA methylation by 5-Aza-2'-deoxycytidine upregulated DP1 expression, and methylation reduced the DP1 promoter activity. Neither the methylation status of the DP1 promoter nor the DP1 expression level were different between normal and OA cartilage. In conclusion, our results suggest that the transcription factor Sp1 and DNA methylation are important determinants of DP1 transcription regulation. They also suggest that the methylation status and expression level of DP1 are not altered in OA cartilage. These findings will improve our understanding of the regulatory mechanisms of DP1 transcription and may facilitate the development of intervention strategies involving DP1.

摘要

D前列腺素受体1(DP1)是一种前列腺素D2受体,在炎症调节和软骨代谢中起核心作用。我们之前已经表明,DP1信号的激活下调了培养软骨细胞中的分解代谢反应,并对小鼠骨关节炎(OA)具有保护作用。然而,其在软骨中转录调控的潜在机制仍知之甚少。在本研究中,我们旨在表征人DP1启动子以及DNA甲基化在软骨细胞中DP1表达中的作用。此外,我们分析了正常和OA软骨中DP1基因启动子的表达水平和甲基化状态。缺失和定点诱变分析确定了一个最小启动子区域(-250/-120),其中包含三个特异性蛋白1(Sp1)结合位点。使用电泳迁移率变动分析(EMSA)和染色质免疫沉淀(ChIP)分析证实了Sp1与DP1启动子的结合。用Sp1抑制剂光神霉素A处理降低了DP1启动子活性和DP1 mRNA表达。5-氮杂-2'-脱氧胞苷抑制DNA甲基化上调了DP1表达,而甲基化降低了DP1启动子活性。正常和OA软骨之间DP1启动子的甲基化状态和DP1表达水平均无差异。总之,我们的结果表明转录因子Sp1和DNA甲基化是DP1转录调控的重要决定因素。它们还表明OA软骨中DP1的甲基化状态和表达水平没有改变。这些发现将增进我们对DP1转录调控机制的理解,并可能促进涉及DP1的干预策略的开发。

https://cdn.ncbi.nlm.nih.gov/pmc/blobs/07d3/10720455/c4861d3ba0ad/fcell-11-1256998-g001.jpg

文献AI研究员

20分钟写一篇综述,助力文献阅读效率提升50倍。

立即体验

用中文搜PubMed

大模型驱动的PubMed中文搜索引擎

马上搜索

文档翻译

学术文献翻译模型,支持多种主流文档格式。

立即体验