Suppr超能文献

一种新型载脂蛋白 E 模拟物可增加脑内载脂蛋白 E 水平,减少 Aβ 病理,并改善表达 APOE3 的雄性小鼠在病理发生前开始治疗时的记忆功能。

A novel apoE-mimetic increases brain apoE levels, reduces Aβ pathology and improves memory when treated before onset of pathology in male mice that express APOE3.

机构信息

Department of Anatomy and Cell Biology, University of Illinois at Chicago, Chicago, IL, USA.

Department of Surgery, University of Washington, Seattle, WA, USA.

出版信息

Alzheimers Res Ther. 2023 Dec 15;15(1):216. doi: 10.1186/s13195-023-01353-z.

Abstract

BACKGROUND

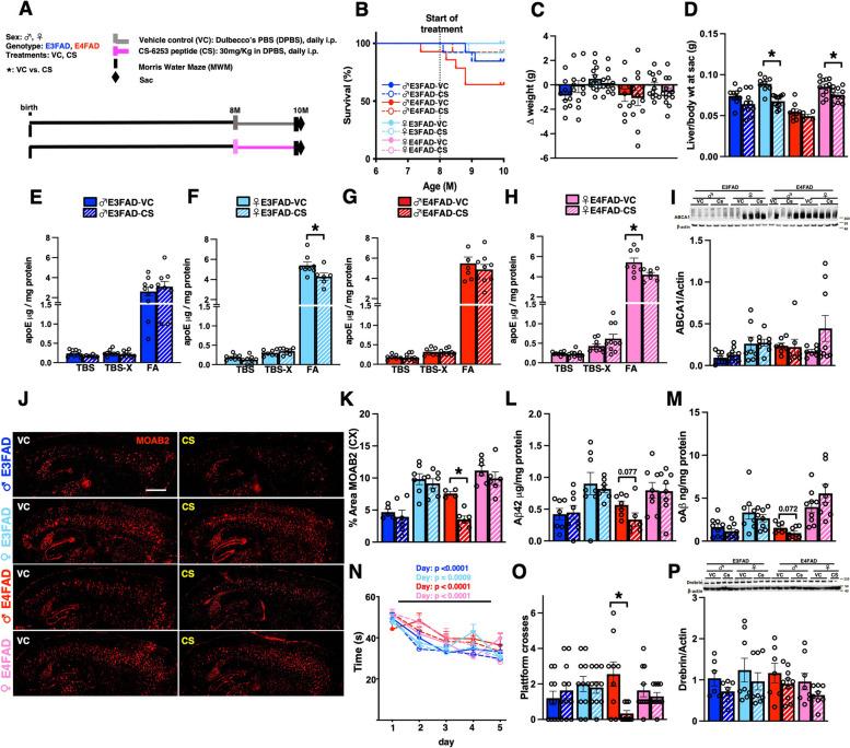
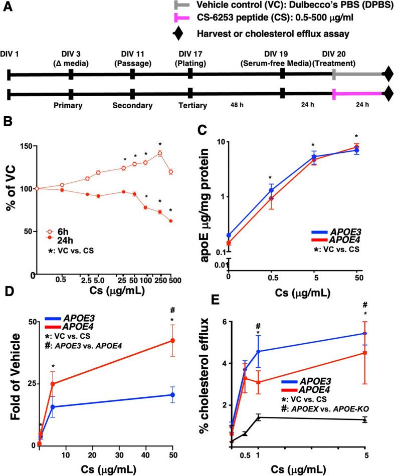
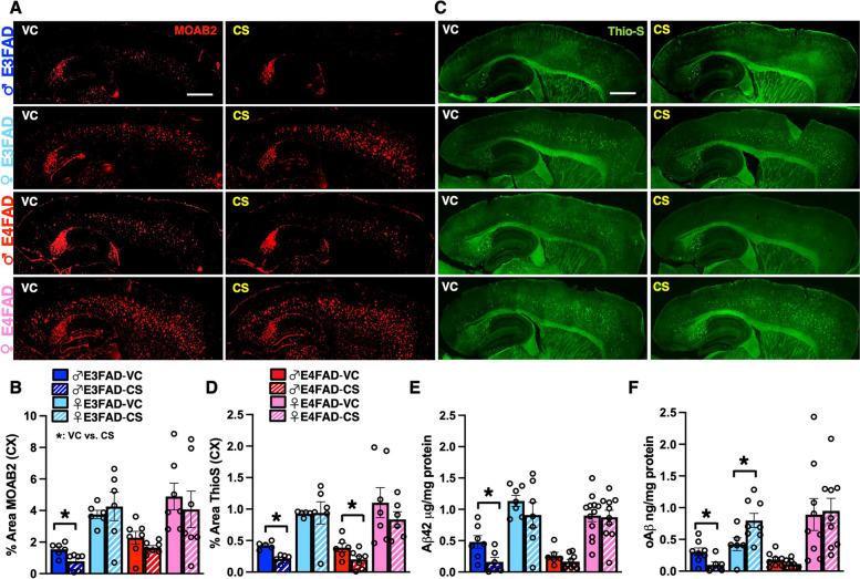
Alzheimer's disease (AD) is characterized by cognitive dysfunction and amyloid plaques composed of the amyloid-beta peptide (Aβ). APOE is the greatest genetic risk for AD with APOE4 increasing risk up to ~ 15-fold compared to APOE3. Evidence suggests that levels and lipidation of the apoE protein could regulate AD progression. In glia, apoE is lipidated via cholesterol efflux from intracellular pools, primarily by the ATP-binding cassette transporter A1 (ABCA1). Therefore, increasing ABCA1 activity is suggested to be a therapeutic approach for AD. CS-6253 (CS) is a novel apoE mimetic peptide that was developed to bind and stabilize ABCA1 and maintain its localization into the plasma membrane therefore promoting cholesterol efflux. The goal of this study was to determine whether CS could modulate apoE levels and lipidation, Aβ pathology, and behavior in a model that expresses human APOE and overproduce Aβ.

METHODS

In vitro, APOE3-glia or APOE4-glia were treated with CS. In vivo, male and female, E3FAD (5xFAD/APOE3) and E4FAD (5xFAD/APOE4) mice were treated with CS via intraperitoneal injection at early (from 4 to 8 months of age) and late ages (from 8 to 10 months of age). ApoE levels, ABCA1 levels and, apoE lipidation were measured by western blot and ELISA. Aβ and amyloid levels were assessed by histochemistry and ELISA. Learning and memory were tested by Morris Water Maze and synaptic proteins were measured by Western blot.

RESULTS

CS treatment increased apoE levels and cholesterol efflux in primary glial cultures. In young male E3FAD mice, CS treatment increased soluble apoE and lipid-associated apoE, reduced soluble oAβ and insoluble Aβ levels as well as Aβ and amyloid deposition, and improved memory and synaptic protein levels. CS treatment did not induce any therapeutic benefits in young female E3FAD and E4FAD mice or in any groups when treatment was started at later ages.

CONCLUSIONS

CS treatment reduced Aβ pathology and improved memory only in young male E3FAD, the cohort with the least AD pathology. Therefore, the degree of Aβ pathology or Aβ overproduction may impact the ability of targeting ABCA1 to be an effective AD therapeutic. This suggests that ABCA1-stabilizing treatment by CS-6253 works best in conditions of modest Aβ levels.

摘要

背景

阿尔茨海默病(AD)的特征是认知功能障碍和由淀粉样β肽(Aβ)组成的淀粉样斑块。APOE 是 AD 的最大遗传风险因素,与 APOE3 相比,APOE4 使风险增加了约 15 倍。有证据表明,载脂蛋白 E 蛋白的水平和脂质化可以调节 AD 的进展。在神经胶质细胞中,载脂蛋白 E 通过细胞内池的胆固醇外排进行脂质化,主要由 ATP 结合盒转运蛋白 A1(ABCA1)介导。因此,增加 ABCA1 的活性被认为是治疗 AD 的一种方法。CS-6253(CS)是一种新型载脂蛋白 E 模拟肽,它的开发目的是结合并稳定 ABCA1 并维持其在质膜中的定位,从而促进胆固醇外排。本研究的目的是确定 CS 是否可以调节 APOE 水平和脂质化、Aβ 病理学和行为在表达人 APOE 并过度产生 Aβ的模型中。

方法

体外,用 CS 处理 APOE3-神经胶质细胞或 APOE4-神经胶质细胞。体内,雄性和雌性 E3FAD(5xFAD/APOE3)和 E4FAD(5xFAD/APOE4)小鼠通过腹腔注射用 CS 治疗,早期(4 至 8 个月龄)和晚期(8 至 10 个月龄)。通过 Western blot 和 ELISA 测定载脂蛋白 E 水平、ABCA1 水平和载脂蛋白 E 脂质化。通过组织化学和 ELISA 评估 Aβ和淀粉样蛋白水平。通过 Morris 水迷宫测试学习和记忆,通过 Western blot 测量突触蛋白。

结果

CS 处理可增加原代神经胶质细胞培养物中的载脂蛋白 E 水平和胆固醇外排。在年轻雄性 E3FAD 小鼠中,CS 处理增加了可溶性载脂蛋白 E 和脂质结合的载脂蛋白 E,减少了可溶性 oAβ和不溶性 Aβ水平以及 Aβ和淀粉样蛋白沉积,并改善了记忆和突触蛋白水平。CS 治疗在年轻雌性 E3FAD 和 E4FAD 小鼠或在任何组中从较晚开始治疗时均未诱导出任何治疗益处。

结论

CS 治疗仅在年轻雄性 E3FAD 中降低 Aβ 病理学并改善记忆,而 E3FAD 是 AD 病理最不严重的队列。因此,Aβ 病理学或 Aβ 过度产生的程度可能会影响 ABCA1 作为有效 AD 治疗的能力。这表明 CS-6253 通过稳定 ABCA1 进行的治疗在 Aβ 水平适度的情况下效果最佳。

https://cdn.ncbi.nlm.nih.gov/pmc/blobs/0f83/10722727/9faf28a7d426/13195_2023_1353_Fig1_HTML.jpg

文献AI研究员

20分钟写一篇综述,助力文献阅读效率提升50倍。

立即体验

用中文搜PubMed

大模型驱动的PubMed中文搜索引擎

马上搜索

文档翻译

学术文献翻译模型,支持多种主流文档格式。

立即体验