Suppr超能文献

七氟醚和富勒醇 C60 对链脲佐菌素诱导糖尿病小鼠下肢缺血再灌注损伤肝肾功能的影响。

The Effect of Sevoflurane and Fullerenol C 60 on the Liver and Kidney in Lower Extremity Ischemia-Reperfusion Injury in Mice with Streptozocin-Induced Diabetes.

机构信息

Department of Oral and Maxillofacial Surgery, (As a Specialist in Anesthesiology and Reanimation), Gazi University Faculty of Dentistry, Ankara, Turkey.

Department of Physiology, Kutahya Health Sciences University Faculty of Medicine, Kutahya, Turkey.

出版信息

Int J Nanomedicine. 2023 Dec 12;18:7543-7557. doi: 10.2147/IJN.S432924. eCollection 2023.

Abstract

OBJECTIVE

This study aimed to demonstrate whether fullerenol C60, sevoflurane anesthesia, or a combination of both had protective effects on the liver and kidneys in lower extremity ischemia-reperfusion injury (IRI) in mice with streptozocin-induced diabetes.

METHODS

A total of 46 Swiss albino mice were divided into six groups as follows: control group (group C, n=7), diabetes group (group D, n=7), diabetes-ischemia/reperfusion (group DIR, n=8), diabetes-ischemia/reperfusion-fullerenol C60 (group DIR-FC60, n=8), diabetes-ischemia/reperfusion-sevoflurane (group DIR-S, n=8), and the diabetes-ischemia/reperfusion-fullerenol C60-sevoflurane (group DIR-S-FC60, n=8). Fullerenol C60 (100mg/kg) was administered intraperitoneally 30 min before the ischemia-reperfusion procedure to the fullerenol groups (DIR-FC60 and DIR-S-FC60). In the DIR groups, 2 hours (h) ischemia-2h reperfusion periods were performed. In the sevoflurane groups, sevoflurane was applied during the ischemia-reperfusion period with 100% O. Liver and kidney tissues were removed at the end of the reperfusion procedure for biochemical and histopathological examinations.

RESULTS

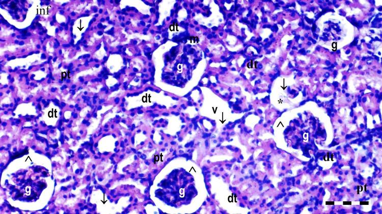
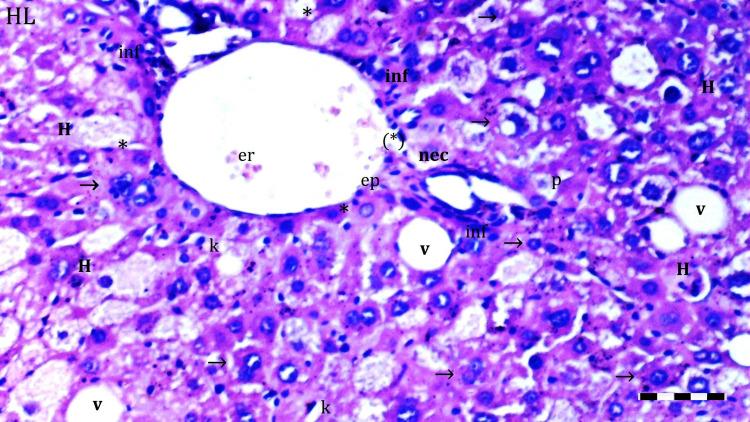
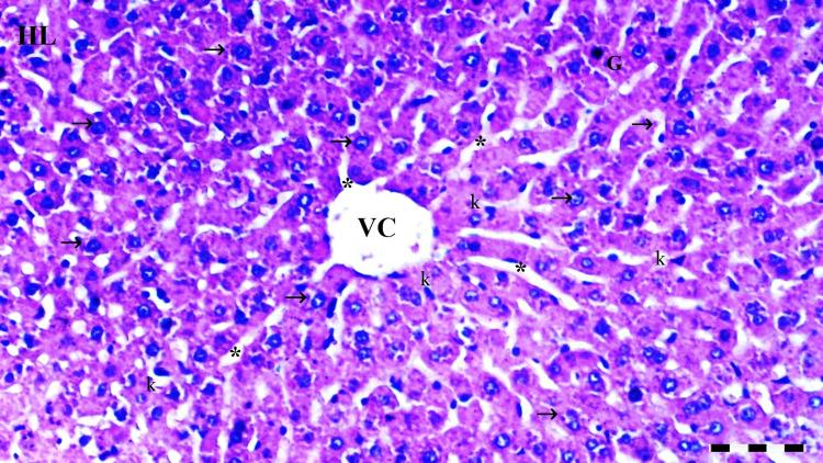
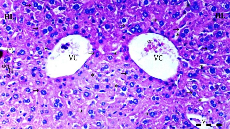
In liver tissue, hydropic degeneration, sinusoidal dilatation, pycnotic nuclei, prenecrotic cells, and mononuclear cell infiltration in parenchyma were significantly more frequent in group DIR than in groups D and group C. In terms of the histopathologic criteria examined, more positive results were seen in group DIR-FC60, and when group DIR-FC60 was compared with group DIR, the difference was significant. The best results in AST, ALT, glucose, TBARS levels, and SOD enzyme activities in liver tissue were in group DIR-FC60 compared with group DIR, followed by groups DIR-S-FC60 and DIR-S, respectively. Regarding TBARS levels and SOD enzyme activities in kidney tissue, the best results were in groups DIR-FC60, DIR-S-FC60, and DIR-S, respectively.

CONCLUSION

According to our findings, it is clear that fullerenol C60 administered intraperitoneally 30 min before ischemia, alone or together with sevoflurane, reduces oxidative stress in distant organ damage caused by lower extremity IRI, and reduces liver and kidney tissue damage in histopathologic examinations.

摘要

目的

本研究旨在探讨富勒醇 C60、七氟醚麻醉或两者联合应用对链脲佐菌素诱导糖尿病小鼠下肢缺血再灌注损伤(IRI)时肝肾功能的保护作用。

方法

将 46 只瑞士白化雄性小鼠随机分为 6 组:对照组(C 组,n=7)、糖尿病组(D 组,n=7)、糖尿病-缺血再灌注组(DIR 组,n=8)、糖尿病-缺血再灌注-富勒醇 C60 组(DIR-FC60 组,n=8)、糖尿病-缺血再灌注-七氟醚组(DIR-S 组,n=8)和糖尿病-缺血再灌注-富勒醇 C60-七氟醚组(DIR-S-FC60 组,n=8)。富勒醇组(DIR-FC60 和 DIR-S-FC60 组)在缺血再灌注前 30 分钟腹腔内给予富勒醇 C60(100mg/kg)。在 DIR 组中,进行 2 小时(h)缺血-2h 再灌注期。在七氟醚组中,在缺血再灌注期间应用 100%O2。再灌注结束时,取出肝、肾组织进行生化和组织病理学检查。

结果

在肝组织中,与 D 组和 C 组相比,DIR 组肝组织中出现水样变性、窦扩张、核固缩、前坏死细胞和单核细胞浸润的情况更为频繁。根据检查的组织病理学标准,DIR-FC60 组阳性结果更多,与 DIR 组相比,差异有统计学意义。与 DIR 组相比,DIR-FC60 组肝组织中 AST、ALT、葡萄糖、TBARS 水平和 SOD 酶活性的最佳结果,其次是 DIR-S-FC60 组和 DIR-S 组。在肾组织中,TBARS 水平和 SOD 酶活性的最佳结果分别在 DIR-FC60 组、DIR-S-FC60 组和 DIR-S 组。

结论

根据我们的发现,富勒醇 C60 在缺血前 30 分钟腹腔内给药,单独或与七氟醚联合使用,可减轻下肢 IRI 引起的远隔器官损伤中的氧化应激,减轻肝肾功能损伤。

https://cdn.ncbi.nlm.nih.gov/pmc/blobs/cd01/10725837/24c81c070b34/IJN-18-7543-g0001.jpg

文献AI研究员

20分钟写一篇综述,助力文献阅读效率提升50倍。

立即体验

用中文搜PubMed

大模型驱动的PubMed中文搜索引擎

马上搜索

文档翻译

学术文献翻译模型,支持多种主流文档格式。

立即体验