Suppr超能文献

靶向酸性鞘磷脂酶增强结直肠癌的抗肿瘤免疫反应。

Targeting acid ceramidase enhances antitumor immune response in colorectal cancer.

机构信息

Cancer Research Program, Rajiv Gandhi Centre for Biotechnology (RGCB), Thiruvananthapuram, 695014, India; Manipal Academy of Higher Education (MAHE), Manipal, 576104, India.

Cancer Research Program, Rajiv Gandhi Centre for Biotechnology (RGCB), Thiruvananthapuram, 695014, India.

出版信息

J Adv Res. 2024 Nov;65:73-87. doi: 10.1016/j.jare.2023.12.013. Epub 2023 Dec 21.

Abstract

INTRODUCTION

Acid ceramidase (hereafter referred as ASAH1) is an enzyme in sphingolipid metabolism that converts pro-survival ceramide into sphingosine. ASAH1 has been shown to be overexpressed in certain cancers. However, the role of ASAH1 in colorectal cancer still remain elusive.

OBJECTIVE

The present study is aimed to understand how ASAH1 regulates colorectal cancer (CRC) progression and resistance to checkpoint inhibitor therapy.

METHODS

Both pharmacological and genetic silencing of ASAH1 was used in the study. In vitro experiments were done on human and mouse CRC cell lines. The in vivo studies were conducted in NOD-SCID and BALB/c mice models. The combination of ASAH1 inhibitor and checkpoint inhibitor was tested using a syngeneic tumor model of CRC. Transcriptomic and metabolomic analyses were done to understand the effect of ASAH1 silencing.

RESULTS

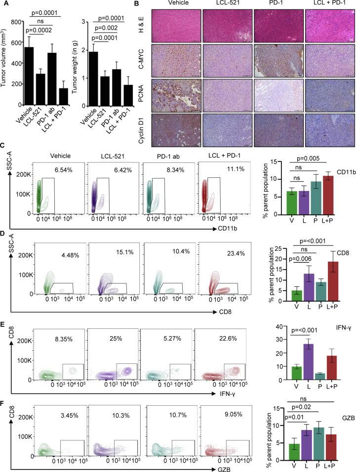
ASAH1 is overexpressed in human CRC cases, and silencing the expression resulted in the induction of immunological cell death (ICD) and mitochondrial stress. The ASAH1 inhibitor (LCL-521), either as monotherapy or in combination with an anti-PD-1 antibody, resulted in reduction of tumors and, through induction of type I and II interferon response, activation of M1 macrophages and T cells, leading to enhanced infiltration of cytotoxic T cells. Our findings supported that the combination of LCL-521 and ICIs, which enhances the antitumor responses, and ASAH1 can be a druggable target in CRC.

摘要

简介

酸性神经酰胺酶(简称 ASAH1)是鞘脂代谢中的一种酶,可将生存相关的神经酰胺转化为神经鞘氨醇。已有研究表明,ASAH1 在某些癌症中过度表达。然而,ASAH1 在结直肠癌中的作用仍不清楚。

目的

本研究旨在了解 ASAH1 如何调节结直肠癌(CRC)的进展和对检查点抑制剂治疗的耐药性。

方法

本研究采用 ASAH1 的药理学和基因沉默方法。在人源和鼠源 CRC 细胞系中进行体外实验。在 NOD-SCID 和 BALB/c 小鼠模型中进行体内研究。使用 CRC 的同源肿瘤模型测试 ASAH1 抑制剂与检查点抑制剂的联合应用。通过转录组学和代谢组学分析来了解 ASAH1 沉默的影响。

结果

ASAH1 在人 CRC 病例中过度表达,沉默其表达可诱导免疫细胞死亡(ICD)和线粒体应激。ASAH1 抑制剂(LCL-521)无论是单独使用还是与抗 PD-1 抗体联合使用,都能减少肿瘤,通过诱导 I 型和 II 型干扰素反应,激活 M1 巨噬细胞和 T 细胞,从而增强细胞毒性 T 细胞的浸润。我们的研究结果表明,LCL-521 和 ICI 的联合应用增强了抗肿瘤反应,并且 ASAH1 可以作为 CRC 的一个可药物靶标。

https://cdn.ncbi.nlm.nih.gov/pmc/blobs/dc5f/11518951/feabd4940466/ga1.jpg

文献AI研究员

20分钟写一篇综述,助力文献阅读效率提升50倍。

立即体验

用中文搜PubMed

大模型驱动的PubMed中文搜索引擎

马上搜索

文档翻译

学术文献翻译模型,支持多种主流文档格式。

立即体验