Suppr超能文献

TIGIT 在某些淋巴瘤的肿瘤微环境中频繁表达:对靶向治疗的影响。

TIGIT is Frequently Expressed in the Tumor Microenvironment of Select Lymphomas: Implications for Targeted Therapy.

机构信息

Departments of Pathology.

Medicine, Stanford University School of Medicine, Stanford, CA.

出版信息

Am J Surg Pathol. 2024 Mar 1;48(3):337-352. doi: 10.1097/PAS.0000000000002168. Epub 2023 Dec 22.

Abstract

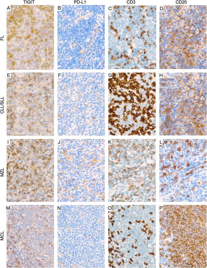
Immune checkpoint inhibitors against Programmed Cell Death Protein 1/Programmed Cell (PD-1/PD-L1) and CTLA-4/B7 axes have had limited success in hematologic malignancies, requiring the need to explore alternative targets such as T-cell immunoreceptor with Ig and ITIM domains (TIGIT)/CD155 to improve durable clinical responses. We undertook this study to investigate the expression profile of TIGIT such that the potential efficacy of TIGIT blockade could be mapped among lymphoma subtypes. We validated an immunohistochemical assay for TIGIT and evaluated its expression in lymphoma and tumor microenvironment (TME) cells in 661 lymphoma/leukemia biopsies. Multiplex immunofluorescence was used for correlation with normal TME cell subsets. Tumor or TME TIGIT-positivity was defined as moderate to strong membrane staining in at least 10% of tumor or TME cells, respectively. TME TIGIT expression was correlated with overall survival and progression-free survival and comparison with PD-L1 expression. In most cases, lymphoma cells were TIGIT-negative except for angioimmunoblastic and peripheral T-cell lymphomas, which showed 91% and 47% positivity, respectively. A high proportion of small B-cell lymphoma and anaplastic large cell lymphoma cases had TIGIT-positive TME cells. Chronic lymphocytic leukemia/small lymphocytic lymphoma patients with TIGIT-negative TME cells showed significantly shorter overall survival ( P =0.04). No other statistically significant differences were found. When TIGIT was expressed in TME cells, there were a comparable number of TIGIT-positive only and dual TIGIT/PD-L1 positive cases except for more TIGIT-positive only cases in CLL/SLL. TIGIT expression shows distinctive profiles among lymphoma subtypes. Chronic lymphocytic leukemia/small lymphocytic lymphoma and anaplastic large cell lymphoma demonstrated high TME TIGIT expression compared with PD-L1, with a high proportion of dual TIGIT and PD-L1-positivity. Our results are likely to contribute to the design and correlative study of therapeutic response in clinical trials targeting TIGIT alone or in combination with PD1/PDL1.

摘要

针对程序性细胞死亡蛋白 1/程序性细胞(PD-1/PD-L1)和 CTLA-4/B7 轴的免疫检查点抑制剂在血液恶性肿瘤中的疗效有限,因此需要探索替代靶点,例如 T 细胞免疫受体 Ig 和 ITIM 结构域(TIGIT)/CD155,以提高持久的临床反应。我们进行了这项研究,以调查 TIGIT 的表达谱,以便可以在淋巴瘤亚型中映射 TIGIT 阻断的潜在疗效。我们验证了用于 TIGIT 的免疫组织化学测定,并评估了其在 661 例淋巴瘤/白血病活检中的淋巴瘤和肿瘤微环境(TME)细胞中的表达。多重免疫荧光用于与正常 TME 细胞亚群的相关性。肿瘤或 TME TIGIT 阳性定义为肿瘤或 TME 细胞中至少 10%的细胞具有中度至强膜染色。TME TIGIT 表达与总生存和无进展生存相关,并与 PD-L1 表达进行了比较。在大多数情况下,除了血管免疫母细胞性和外周 T 细胞淋巴瘤外,淋巴瘤细胞均为 TIGIT 阴性,分别为 91%和 47%阳性。高比例的小 B 细胞淋巴瘤和间变大细胞淋巴瘤病例具有 TIGIT 阳性的 TME 细胞。TIGIT 阴性 TME 细胞的慢性淋巴细胞白血病/小淋巴细胞淋巴瘤患者的总生存期明显更短(P=0.04)。没有发现其他具有统计学意义的差异。当 TIGIT 在 TME 细胞中表达时,除了 CLL/SLL 中有更多的 TIGIT 阳性单阳性病例外,TIGIT 阳性单阳性和双 TIGIT/PD-L1 阳性病例的数量相当。TIGIT 表达在淋巴瘤亚型中具有独特的特征。与 PD-L1 相比,慢性淋巴细胞白血病/小淋巴细胞淋巴瘤和间变大细胞淋巴瘤显示出较高的 TME TIGIT 表达,并且双 TIGIT 和 PD-L1 阳性的比例较高。我们的结果可能有助于设计和相关研究,以针对 TIGIT 或与 PD1/PDL1 联合进行临床试验,以评估治疗反应。

https://cdn.ncbi.nlm.nih.gov/pmc/blobs/24cd/10876169/2511f7175c13/pas-48-337-g001.jpg

文献AI研究员

20分钟写一篇综述,助力文献阅读效率提升50倍。

立即体验

用中文搜PubMed

大模型驱动的PubMed中文搜索引擎

马上搜索

文档翻译

学术文献翻译模型,支持多种主流文档格式。

立即体验