Suppr超能文献

一种基于靶向阴道毛滴虫重复 DNA 序列的 MIRA-CRISPR/Cas13a-LFD 的新型检测方法。

A novel detection method based on MIRA-CRISPR/Cas13a-LFD targeting the repeated DNA sequence of Trichomonas vaginalis.

机构信息

Xinxiang Key Laboratory of Pathogenic Biology, Department of Pathogenic Biology, School of Basic Medical Sciences, Xinxiang Medical University, Xinxiang, China.

Third Affiliated Hospital of Xinxiang Medical University, Xinxiang, China.

出版信息

Parasit Vectors. 2024 Jan 8;17(1):14. doi: 10.1186/s13071-023-06106-3.

Abstract

BACKGROUND

Trichomonas vaginalis is a protozoan parasite, widely recognized as the most prevalent non-viral sexually transmitted infection (STI) globally. This infection is linked to various complications, including pelvic inflammatory disease, adverse pregnancy outcomes, and an increased risk of acquiring HIV. Current molecular detection methods for T. vaginalis are often costly and technically challenging.

METHODS

We developed a novel detection method for T. vaginalis using a multi-enzyme isothermal rapid amplification-clustered regularly interspaced short palindromic repeats (MIRA-CRISPR)/Cas13a-lateral flow device (LFD). This assay targets the repeated DNA sequence (GenBank: L23861.1) of T. vaginalis and is performed at a constant temperature of 37 °C for approximately 1 hour.

RESULTS

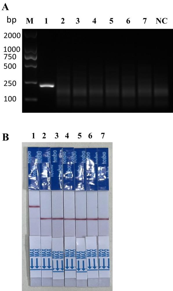
The detection limit of genomic DNA (gDNA) using our protocol was 1 × 10 ng/μl. Specificity was confirmed by the absence of cross-reaction with gDNA from various other microorganisms such as Staphylococcus aureus, Lactobacillus taiwanensis, Escherichia coli, Monilia albicans, Giardia lamblia, or Toxoplasma gondii. Among 30 clinical samples tested, the positive rates of T. vaginalis detection were 33.33% (10/30) by wet mount microscopy, 40% (12/30) by nested polymerase chain reaction (PCR), 40% (12/30) by MIRA-CRISPR/Cas13a-LFD, and 40% (12/30) by the culture method. Compared with the culture method, the gold standard for diagnosing trichomoniasis, wet mount microscopy showed a sensitivity of 83.3% and moderate diagnostic agreement (kappa value = 0.87). Both nested PCR and MIRA-CRISPR/Cas13a-LFD exhibited 100% sensitivity and excellent diagnostic agreement (kappa value = 1).

CONCLUSIONS

The MIRA-CRISPR/Cas13a-LFD method is a convenient, rapid, stable, and accurate diagnostic tool for detecting T. vaginalis. This method has the potential to enhance the diagnosis and management of vaginitis, offering a significant improvement over existing diagnostic techniques.

摘要

背景

阴道毛滴虫是一种原生动物寄生虫,被广泛认为是全球最普遍的非病毒性性传播感染(STI)。这种感染与各种并发症有关,包括盆腔炎、不良妊娠结局和增加感染 HIV 的风险。目前用于检测阴道毛滴虫的分子检测方法通常成本高昂且技术要求高。

方法

我们开发了一种使用多酶等温快速扩增-聚类规则间隔短回文重复(MIRA-CRISPR)/Cas13a-侧向流动装置(LFD)检测阴道毛滴虫的新方法。该检测方法针对阴道毛滴虫的重复 DNA 序列(GenBank:L23861.1),在 37°C 的恒温下进行,大约需要 1 小时。

结果

我们的方案检测基因组 DNA(gDNA)的检测限为 1×10ng/μl。通过与金黄色葡萄球菌、台湾乳杆菌、大肠杆菌、白色念珠菌、蓝氏贾第鞭毛虫或刚地弓形虫等各种其他微生物的 gDNA 无交叉反应,证实了特异性。在 30 个临床样本中,湿片镜检检测阴道毛滴虫的阳性率为 33.33%(10/30),巢式聚合酶链反应(PCR)为 40%(12/30),MIRA-CRISPR/Cas13a-LFD 为 40%(12/30),培养法为 40%(12/30)。与培养法作为诊断滴虫病的金标准相比,湿片镜检的敏感性为 83.3%,具有中度诊断一致性(kappa 值=0.87)。巢式 PCR 和 MIRA-CRISPR/Cas13a-LFD 均表现出 100%的敏感性和极好的诊断一致性(kappa 值=1)。

结论

MIRA-CRISPR/Cas13a-LFD 方法是一种方便、快速、稳定、准确的阴道毛滴虫检测诊断工具。与现有的诊断技术相比,该方法有可能改善阴道炎的诊断和管理。

https://cdn.ncbi.nlm.nih.gov/pmc/blobs/1213/10775430/dfe66e965888/13071_2023_6106_Figa_HTML.jpg

文献AI研究员

20分钟写一篇综述,助力文献阅读效率提升50倍。

立即体验

用中文搜PubMed

大模型驱动的PubMed中文搜索引擎

马上搜索

文档翻译

学术文献翻译模型,支持多种主流文档格式。

立即体验