Suppr超能文献

SMARCA4 突变性鼻腔鼻窦胚胎性癌肉瘤的临床前体外模型的特征描述。

Characterization of a Preclinical In Vitro Model Derived from a SMARCA4-Mutated Sinonasal Teratocarcinosarcoma.

机构信息

Department of Head and Neck Cancer, Health Research Institute of the Principality of Asturias, 33011 Oviedo, Spain.

Department of Pathology, Hospital Universitario Central de Asturias, 33011 Oviedo, Spain.

出版信息

Cells. 2023 Dec 30;13(1):81. doi: 10.3390/cells13010081.

Abstract

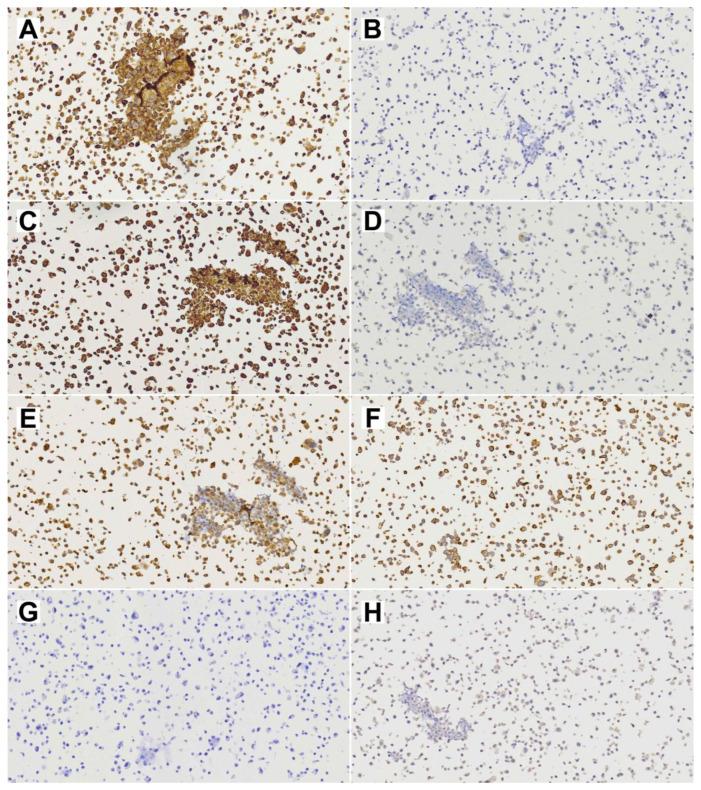
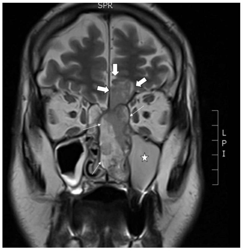
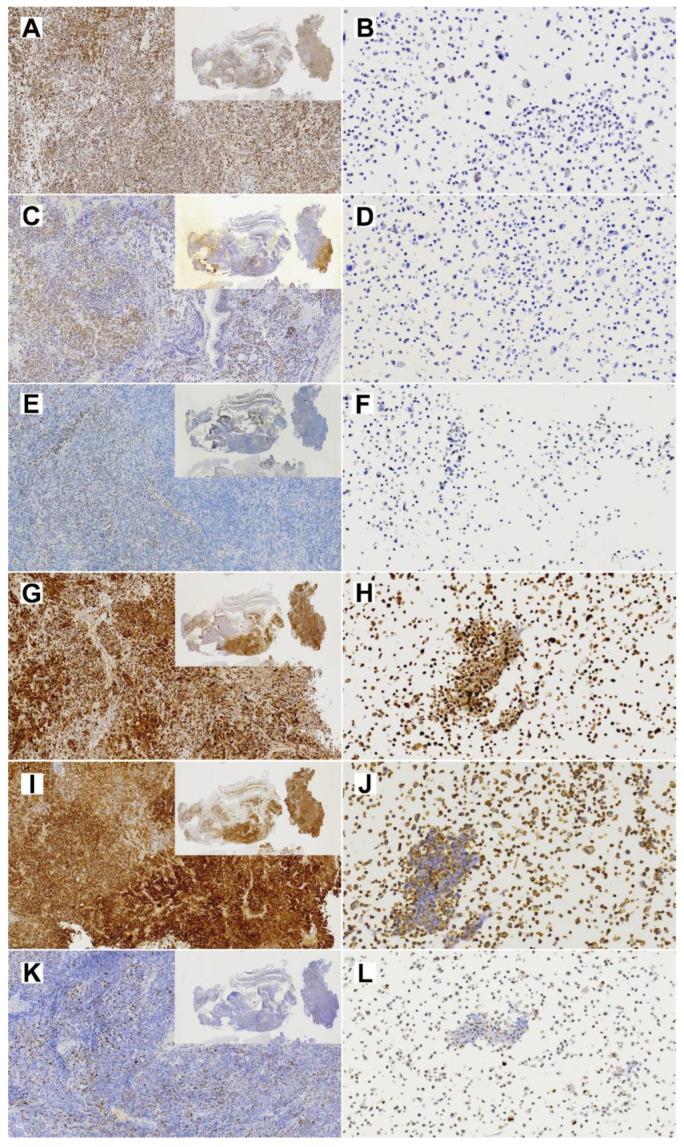
Sinonasal teratocarcinosarcoma (TCS) is a rare tumor that displays a variable histology with admixtures of epithelial, mesenchymal, neuroendocrine and germ cell elements. Facing a very poor prognosis, patients with TCS are in need of new options for treatment. Recently identified recurrent mutations in may serve as target for modern therapies with EZH1/2 and CDK4/6 inhibitors. Here, we present the first in vitro cell line TCS627, established from a previously untreated primary TCS originating in the ethmoid sinus with invasion into the brain. The cultured cells expressed immunohistochemical markers, indicating differentiation of epithelial, neuroepithelial, sarcomatous and teratomatous components. Whole-exome sequencing revealed 99 somatic mutations including , , , , , and , all present both in the primary tumor and in the cell line. Focusing on mutated as the therapeutic target, growth inhibition assays showed a strong response to the CDK4/6 inhibitor palbociclib, but much less to the EZH1/2 inhibitor valemetostat. In conclusion, cell line TCS627 carries both histologic and genetic features characteristic of TCS and is a valuable model for both basic research and preclinical testing of new therapeutic options for treatment of TCS patients.

摘要

鼻窦胚胎性横纹肌肉瘤(TCS)是一种罕见的肿瘤,其组织学表现多样,混合有上皮、间叶、神经内分泌和生殖细胞成分。由于预后极差,TCS 患者需要新的治疗选择。最近发现的 中的反复突变可作为 EZH1/2 和 CDK4/6 抑制剂等现代治疗方法的靶点。在这里,我们首次报道了源自未治疗过的原发于筛窦并侵犯大脑的 TCS 的体外细胞系 TCS627。培养的细胞表达免疫组织化学标志物,表明上皮、神经上皮、肉瘤和畸胎瘤成分的分化。全外显子组测序显示 99 个体细胞突变,包括 、 、 、 、 、 和 ,这些突变均存在于原发肿瘤和细胞系中。聚焦于突变的 作为治疗靶点,生长抑制试验显示对 CDK4/6 抑制剂 palbociclib 有强烈的反应,但对 EZH1/2 抑制剂 valemetostat 的反应要小得多。总之,细胞系 TCS627 具有 TCS 的组织学和遗传学特征,是用于 TCS 患者治疗新治疗选择的基础研究和临床前测试的有价值模型。

https://cdn.ncbi.nlm.nih.gov/pmc/blobs/3e52/10778008/bf0b07ee66e7/cells-13-00081-g001.jpg

文献AI研究员

20分钟写一篇综述,助力文献阅读效率提升50倍。

立即体验

用中文搜PubMed

大模型驱动的PubMed中文搜索引擎

马上搜索

文档翻译

学术文献翻译模型,支持多种主流文档格式。

立即体验