Suppr超能文献

两名印度兄弟姐妹中与原发性纤毛运动障碍相关的纯合CCNO NM 021147.4突变首例病例。

The First Case of a Homozygous CCNO NM 021147.4 Mutation Associated With Primary Ciliary Dyskinesia in Two Indian Siblings.

作者信息

Alhalabi Ola, Abdulwahab Atqah, Thomas Merlin

机构信息

Pediatric Pulmonology, Sidra Medicine, Doha, QAT.

Pulmonology, Hamad General Hospital, Doha, QAT.

出版信息

Cureus. 2024 Jan 13;16(1):e52237. doi: 10.7759/cureus.52237. eCollection 2024 Jan.

Abstract

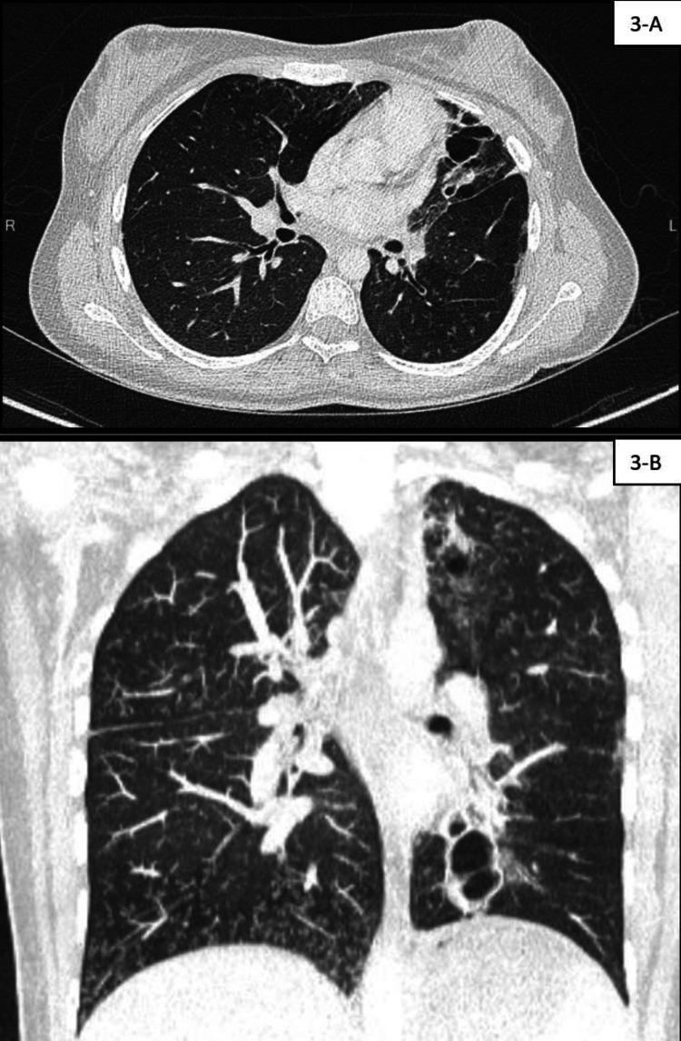
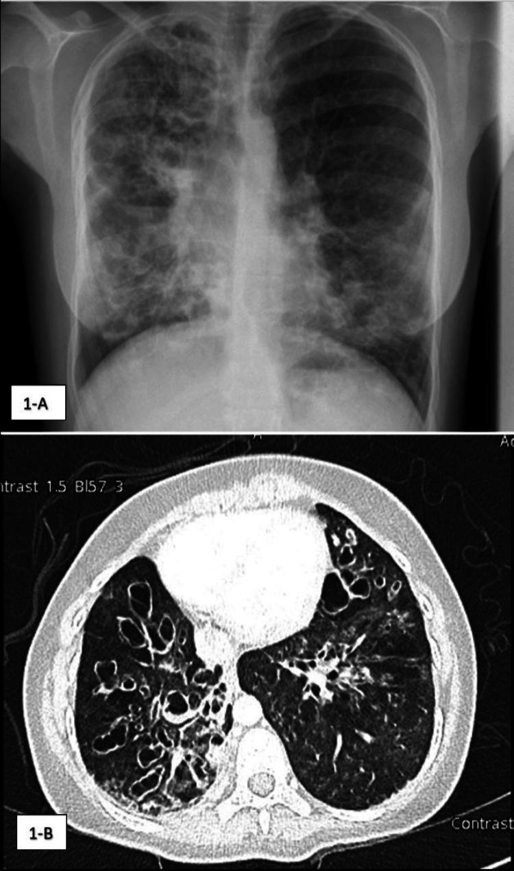
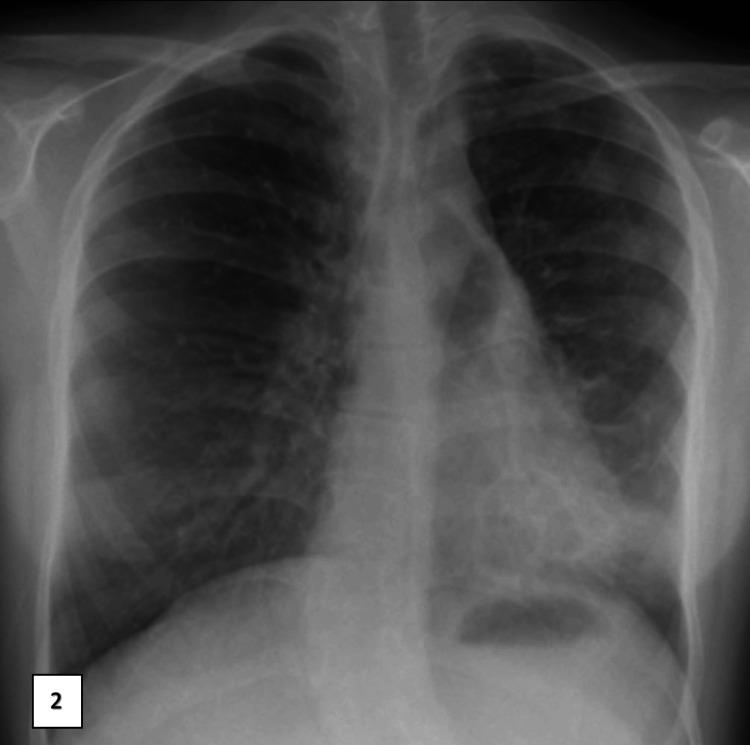
Primary ciliary dyskinesia (PCD) is a heterogeneous autosomal recessive disease marked by organ lateralization in 50% of patients, chronic sinopulmonary disease, infertility in men, and neonatal respiratory distress. Respiratory control cells contain in their apical cytoplasm, which is necessary for the development of multiciliate cells, basal body amplification, and migration. Reduced generation of multiple motile cilia, a rare form of PCD, has been linked to gene abnormalities Individuals with mutations have been reported to suffer from severe lower respiratory infections that cause progressive impairment of lung function. For the first time, we describe the (c.258 262dup.p, Gln88argfs*8 Homozygous) gene mutation in an Indian consanguineous family that resulted in severe PCD.

摘要

原发性纤毛运动障碍(PCD)是一种常染色体隐性遗传病,具有异质性,其特征为50%的患者出现器官定位异常、慢性鼻窦肺部疾病、男性不育以及新生儿呼吸窘迫。呼吸控制细胞在其顶端细胞质中含有(某种物质),这对于多纤毛细胞的发育、基体扩增和迁移是必需的。多根活动纤毛生成减少是PCD的一种罕见形式,它与(某个)基因异常有关。据报道,携带(该)基因突变的个体患有严重的下呼吸道感染,可导致肺功能进行性损害。我们首次在一个印度近亲家庭中描述了(某个基因)(c.258 262dup.p,Gln88argfs*8纯合子)基因突变,该突变导致了严重的PCD。

https://cdn.ncbi.nlm.nih.gov/pmc/blobs/9fa3/10787941/1966a385d60c/cureus-0016-00000052237-i01.jpg

文献AI研究员

20分钟写一篇综述,助力文献阅读效率提升50倍。

立即体验

用中文搜PubMed

大模型驱动的PubMed中文搜索引擎

马上搜索

文档翻译

学术文献翻译模型,支持多种主流文档格式。

立即体验