Suppr超能文献

ABLIM1,一种新型的泛素 E3 连接酶,通过靶向 IKBα 的泛素化和激活 NF-κB 信号通路促进结直肠癌的生长和转移。

ABLIM1, a novel ubiquitin E3 ligase, promotes growth and metastasis of colorectal cancer through targeting IĸBα ubiquitination and activating NF-ĸB signaling.

机构信息

Central Laboratory, First Affiliated Hospital of Huzhou University, Huzhou, 313000, Zhejiang, China.

Huzhou Key Laboratory of Translational Medicine, First People's Hospital of Huzhou, Huzhou, 313000, Zhejiang, China.

出版信息

Cell Death Differ. 2024 Feb;31(2):203-216. doi: 10.1038/s41418-024-01256-y. Epub 2024 Jan 16.

Abstract

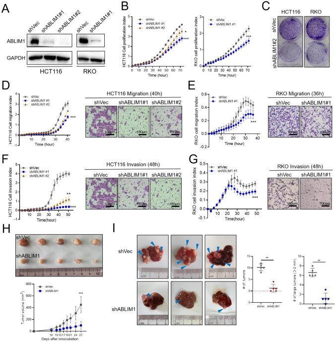
Actin-binding LIM protein 1 (ABLIM1), a member of the LIM-domain protein family, has been reported as a suppressor in several tumors whereas its role in colorectal cancer (CRC) remains unknown. In this study, we find that ABLIM1 is up-regulated in CRC patients and high levels of ABLIM1 predict short disease-free survival time. Knock-down of ABLIM1 in CRC cell lines by lenti-virus leads to inhibited cell proliferation, migration, and invasion capabilities in vitro and impaired growth of tumor xenografts and liver metastasis lesions in vivo, while ABLIM1 overexpression accelerates tumor growth and invasion in vitro. Mechanistically, we uncover that ABLIM1 activates the NF-ĸB/CCL-20 signaling through modulating IĸBα ubiquitination and proteasomal-mediated degradation. Further co-immunoprecipitation, in vivo and in vitro ubiquitination assays reveal ABLIM1 as a novel ubiquitin E3 ligase binding to IĸBα. Interestingly, The E3 ligase catalysis activity of ABLIM1 depends on its 402-778aa rather than its LIM domains and its interaction with IĸBα relies on the HP domain. Our findings delineate the oncogenic role of ABLIM1 in CRC progression and reveal it as a novel E3 ligase targeting IĸBα, providing new insights into the regulation of NF-ĸB signaling in tumors.

摘要

肌动蛋白结合 LIM 蛋白 1(ABLIM1)是 LIM 结构域蛋白家族的成员,在几种肿瘤中被报道为抑制因子,但其在结直肠癌(CRC)中的作用尚不清楚。在这项研究中,我们发现 ABLIM1 在 CRC 患者中上调,高水平的 ABLIM1 预示着无病生存时间短。通过慢病毒敲低 CRC 细胞系中的 ABLIM1 导致体外细胞增殖、迁移和侵袭能力受到抑制,体内肿瘤异种移植物和肝转移病变的生长受损,而 ABLIM1 过表达则加速体外肿瘤生长和侵袭。从机制上讲,我们发现 ABLIM1 通过调节 IĸBα泛素化和蛋白酶体介导的降解来激活 NF-ĸB/CCL-20 信号通路。进一步的共免疫沉淀、体内和体外泛素化实验表明 ABLIM1 是一种新型的泛素 E3 连接酶,与 IĸBα结合。有趣的是,ABLIM1 的 E3 连接酶催化活性取决于其 402-778aa 而不是其 LIM 结构域,并且其与 IĸBα的相互作用依赖于 HP 结构域。我们的研究结果描绘了 ABLIM1 在 CRC 进展中的致癌作用,并揭示了它作为一种新型的针对 IĸBα的 E3 连接酶,为肿瘤中 NF-ĸB 信号的调节提供了新的见解。

https://cdn.ncbi.nlm.nih.gov/pmc/blobs/abaa/10850134/29d9b3bb8ec1/41418_2024_1256_Fig1_HTML.jpg

文献AI研究员

20分钟写一篇综述,助力文献阅读效率提升50倍。

立即体验

用中文搜PubMed

大模型驱动的PubMed中文搜索引擎

马上搜索

文档翻译

学术文献翻译模型,支持多种主流文档格式。

立即体验