Suppr超能文献

HDAC6 抑制剂 ACY-1215 通过增强 STAT1 乙酰化来阻断 PD-L1 用于结直肠癌免疫治疗。

HDAC6 inhibitor ACY-1215 enhances STAT1 acetylation to block PD-L1 for colorectal cancer immunotherapy.

机构信息

Department of Gastroenterology, The Third Xiangya Hospital, Central South University, Changsha, Hunan, China.

Cancer Research Institute, School of Basic Medical Science, Central South University, Changsha, Hunan, China.

出版信息

Cancer Immunol Immunother. 2024 Jan 17;73(1):7. doi: 10.1007/s00262-023-03624-y.

Abstract

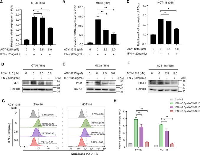
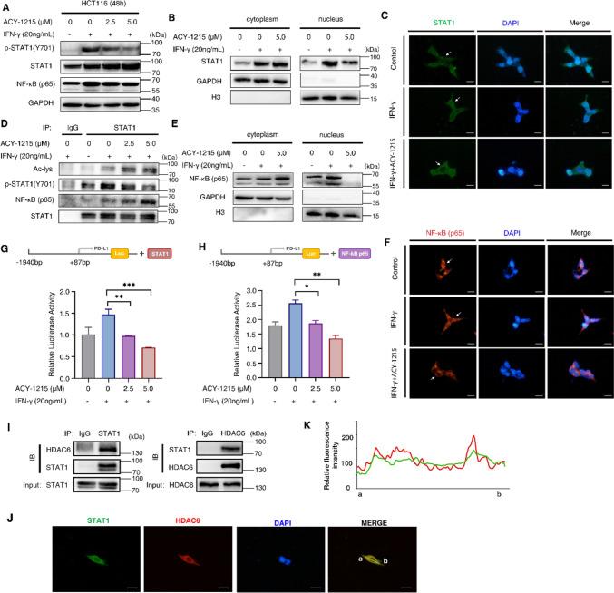
The search for effective combination therapy with immune checkpoint inhibitors (ICI) has become important for cancer patients who do not respond to the ICI well. Histone deacetylases (HDACs) inhibitors have attracted wide attention as anti-tumor agents. ACY-1215 is a selective inhibitor of HDAC6, which can inhibit the growth of a variety of tumor. We previously revealed that HDAC family is highly expressed in colorectal cancer specimens and mouse models. In this study, ACY-1215 was combined with anti-PD1 to treat tumor-bearing mice associated with colorectal cancer. ACY-1215 combined with anti-PD1 effectively inhibited the colorectal tumor growth. The expression of PD-L1 in tumor of mice were inhibited by ACY-1215 and anti-PD1 combination treatment, whereas some biomarkers reflecting T cell activation were upregulated. In a co-culture system of T cells and tumor cells, ACY-1215 helped T cells to kill tumor cells. Mechanically, HDAC6 enhanced the acetylation of STAT1 and inhibited the phosphorylation of STAT1, thus preventing STAT1 from entering the nucleus to activate PD-L1 transcription. This study reveals a novel regulatory mechanism of HDAC6 on non-histone substrates, especially on protein acetylation. HDAC6 inhibitors may be of great significance in tumor immunotherapy and related combination strategies.

摘要

寻找与免疫检查点抑制剂 (ICI) 联合有效的治疗方法对于那些对 ICI 反应不佳的癌症患者变得非常重要。组蛋白去乙酰化酶 (HDAC) 抑制剂作为抗肿瘤药物引起了广泛关注。ACY-1215 是一种选择性 HDAC6 抑制剂,可抑制多种肿瘤的生长。我们之前的研究表明,HDAC 家族在结直肠癌标本和小鼠模型中高度表达。在这项研究中,ACY-1215 与抗 PD1 联合用于治疗与结直肠癌相关的荷瘤小鼠。ACY-1215 与抗 PD1 联合治疗可有效抑制结直肠肿瘤生长。ACY-1215 和抗 PD1 联合治疗抑制了小鼠肿瘤中 PD-L1 的表达,而一些反映 T 细胞激活的生物标志物则上调。在 T 细胞和肿瘤细胞的共培养系统中,ACY-1215 有助于 T 细胞杀死肿瘤细胞。在机制上,HDAC6 增强了 STAT1 的乙酰化并抑制了 STAT1 的磷酸化,从而阻止 STAT1 进入细胞核激活 PD-L1 转录。这项研究揭示了 HDAC6 对非组蛋白底物的一种新的调控机制,特别是对蛋白质乙酰化的调控。HDAC6 抑制剂在肿瘤免疫治疗和相关联合策略中可能具有重要意义。

https://cdn.ncbi.nlm.nih.gov/pmc/blobs/aac0/10992678/bc29a09f9e5b/262_2023_3624_Fig1_HTML.jpg

文献AI研究员

20分钟写一篇综述,助力文献阅读效率提升50倍。

立即体验

用中文搜PubMed

大模型驱动的PubMed中文搜索引擎

马上搜索

文档翻译

学术文献翻译模型,支持多种主流文档格式。

立即体验