Suppr超能文献

p300 的核质穿梭是 Hutchinson-Gilford 早衰综合征中 mTORC1 过度激活的基础。

p300 nucleocytoplasmic shuttling underlies mTORC1 hyperactivation in Hutchinson-Gilford progeria syndrome.

机构信息

Cambridge Institute for Medical Research, University of Cambridge, Cambridge, UK.

UK Dementia Research Institute, Cambridge Institute for Medical Research, University of Cambridge, Cambridge, UK.

出版信息

Nat Cell Biol. 2024 Feb;26(2):235-249. doi: 10.1038/s41556-023-01338-y. Epub 2024 Jan 24.

Abstract

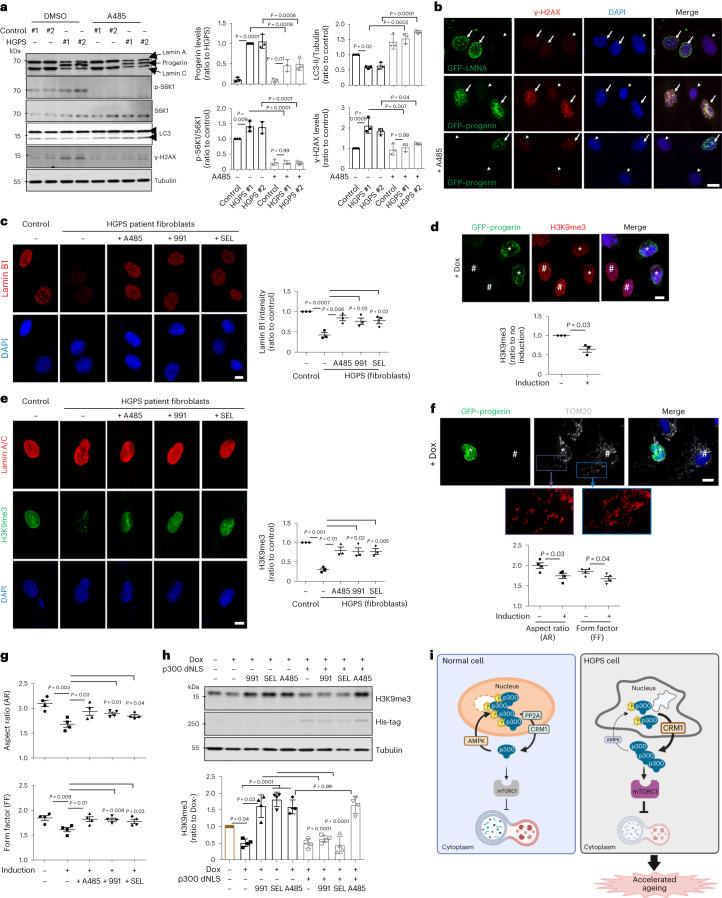
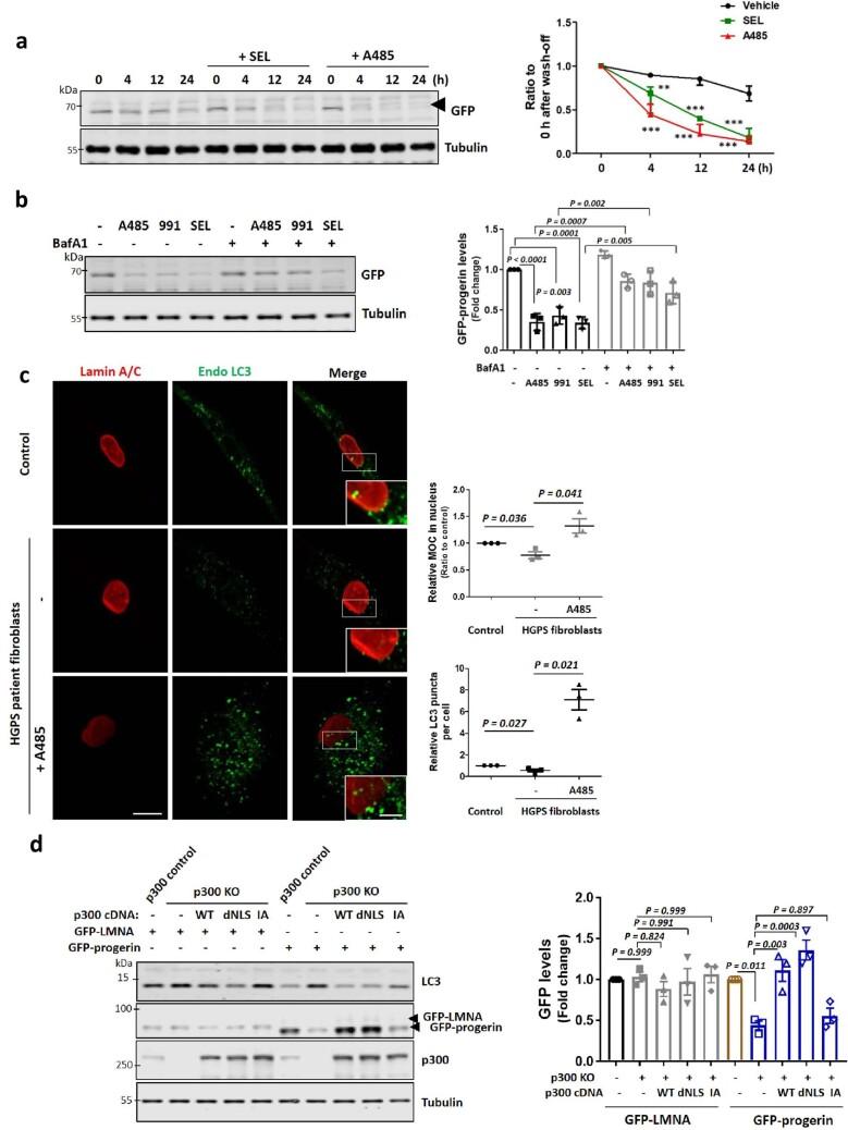
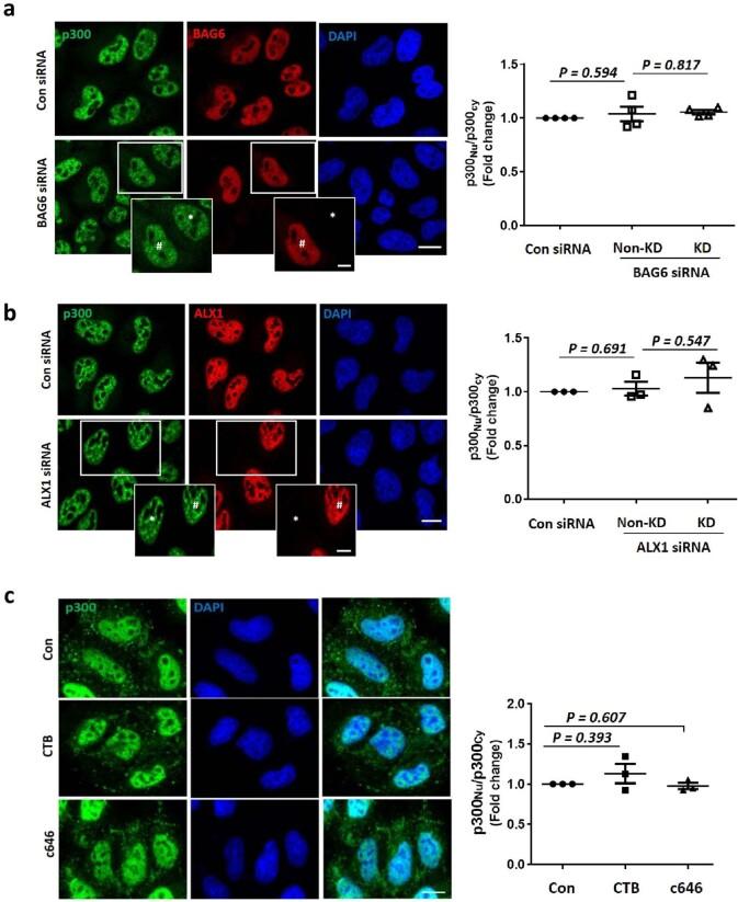
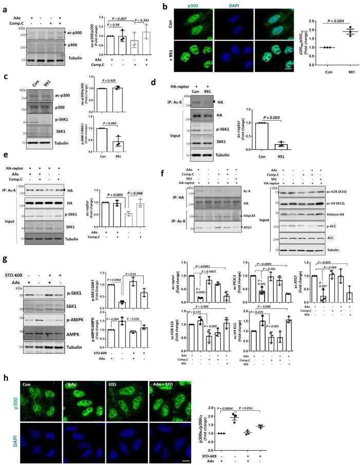
The mechanistic target of rapamycin complex 1 (mTORC1) is a master regulator of cell growth, metabolism and autophagy. Multiple pathways modulate mTORC1 in response to nutrients. Here we describe that nucleus-cytoplasmic shuttling of p300/EP300 regulates mTORC1 activity in response to amino acid or glucose levels. Depletion of these nutrients causes cytoplasm-to-nucleus relocalization of p300 that decreases acetylation of the mTORC1 component raptor, thereby reducing mTORC1 activity and activating autophagy. This is mediated by AMP-activated protein kinase-dependent phosphorylation of p300 at serine 89. Nutrient addition to starved cells results in protein phosphatase 2A-dependent dephosphorylation of nuclear p300, enabling its CRM1-dependent export to the cytoplasm to mediate mTORC1 reactivation. p300 shuttling regulates mTORC1 in most cell types and occurs in response to altered nutrients in diverse mouse tissues. Interestingly, p300 cytoplasm-nucleus shuttling is altered in cells from patients with Hutchinson-Gilford progeria syndrome. p300 mislocalization by the disease-causing protein, progerin, activates mTORC1 and inhibits autophagy, phenotypes that are normalized by modulating p300 shuttling. These results reveal how nutrients regulate mTORC1, a cytoplasmic complex, by shuttling its positive regulator p300 in and out of the nucleus, and how this pathway is misregulated in Hutchinson-Gilford progeria syndrome, causing mTORC1 hyperactivation and defective autophagy.

摘要

雷帕霉素靶蛋白复合物 1(mTORC1)是细胞生长、代谢和自噬的主要调节因子。多种途径可调节 mTORC1 对营养物质的反应。在这里,我们描述了 p300/EP300 的核质穿梭调节 mTORC1 活性以响应氨基酸或葡萄糖水平。这些营养物质的消耗会导致 p300 从细胞质到细胞核的重新定位,从而减少 mTORC1 成分 raptor 的乙酰化,从而降低 mTORC1 活性并激活自噬。这是由 AMP 激活的蛋白激酶依赖性磷酸化 p300 的丝氨酸 89 介导的。饥饿细胞中添加营养物质会导致蛋白磷酸酶 2A 依赖性核 p300 去磷酸化,从而使其能够通过 CRM1 依赖性输出到细胞质中来介导 mTORC1 的再激活。p300 穿梭调节大多数细胞类型中的 mTORC1,并响应不同小鼠组织中改变的营养物质而发生。有趣的是,患有哈钦森-吉尔福德早衰综合征的患者的细胞中 p300 从核到细胞质的穿梭发生改变。由致病蛋白 progerin 引起的 p300 定位错误会激活 mTORC1 并抑制自噬,通过调节 p300 穿梭可以使这些表型正常化。这些结果揭示了营养物质如何通过 p300 在核内外穿梭来调节 mTORC1,这是一种细胞质复合物,以及该途径如何在哈钦森-吉尔福德早衰综合征中失调,导致 mTORC1 过度激活和自噬缺陷。

https://cdn.ncbi.nlm.nih.gov/pmc/blobs/b104/10866696/5b08e355ee40/41556_2023_1338_Fig1_HTML.jpg

文献AI研究员

20分钟写一篇综述,助力文献阅读效率提升50倍。

立即体验

用中文搜PubMed

大模型驱动的PubMed中文搜索引擎

马上搜索

文档翻译

学术文献翻译模型,支持多种主流文档格式。

立即体验