Suppr超能文献

刺激响应型铜配合物纳米颗粒诱导铜死亡增强癌症免疫治疗。

Stimulus-Responsive Copper Complex Nanoparticles Induce Cuproptosis for Augmented Cancer Immunotherapy.

机构信息

Department of Chemistry, Capital Normal University, Beijing, 100048, China.

Department of Hepatobiliary Surgery, China-Japan Friendship Hospital, Beijing, 100029, China.

出版信息

Adv Sci (Weinh). 2024 Apr;11(13):e2309388. doi: 10.1002/advs.202309388. Epub 2024 Jan 25.

Abstract

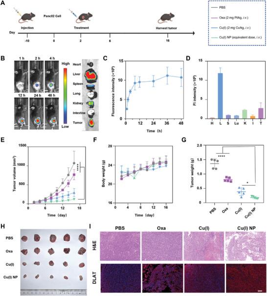
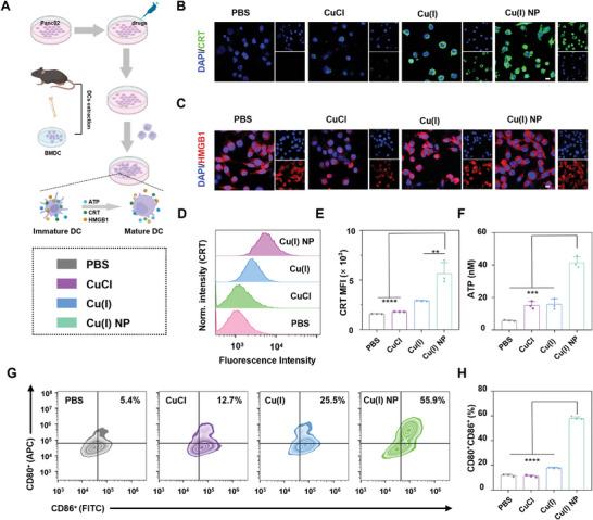
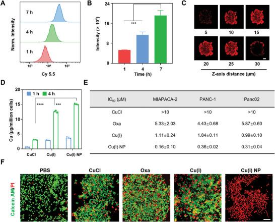
Cuproptosis, an emerging form of programmed cell death, has received tremendous attention in cancer therapy. However, the efficacy of cuproptosis remains limited by the poor delivery efficiency of copper ion carriers. Herein, copper complex nanoparticles (denoted as Cu(I) NP) are developed that can efficiently deliver copper complex into cancer cells to induce cuproptosis. Cu(I) NP demonstrate stimulus-responsive release of copper complexes, which results in mitochondrial dysfunction and promotes the aggregation of lipoylated dihydrolipoamide S-acetyltransferase (DLAT), leading to cuproptosis. Notably, Cu(I) NP not only induce cuproptosis, but also elicit robust immune responses to suppress tumor growth. Overall, this study provides a promising strategy for cuproptosis-based cancer therapy.

摘要

铜死亡是一种新兴的程序性细胞死亡形式,在癌症治疗中受到了极大的关注。然而,铜离子载体的递送效率低下限制了铜死亡的疗效。在此,开发了铜配合纳米粒子(表示为 Cu(I)NP),可将铜配合物高效递送至癌细胞中以诱导铜死亡。Cu(I)NP 表现出对铜配合物的刺激响应性释放,导致线粒体功能障碍并促进脂酰化二氢硫辛酰胺 S-乙酰转移酶(DLAT)的聚集,从而引发铜死亡。值得注意的是,Cu(I)NP 不仅诱导铜死亡,还引发强烈的免疫反应以抑制肿瘤生长。总的来说,本研究为基于铜死亡的癌症治疗提供了一种有前景的策略。

https://cdn.ncbi.nlm.nih.gov/pmc/blobs/ca32/10987162/38c3e98c1fba/ADVS-11-2309388-g007.jpg

文献AI研究员

20分钟写一篇综述,助力文献阅读效率提升50倍。

立即体验

用中文搜PubMed

大模型驱动的PubMed中文搜索引擎

马上搜索

文档翻译

学术文献翻译模型,支持多种主流文档格式。

立即体验