Suppr超能文献

间苯三酚及其他过氧化物酶抑制剂对过氧化物酶的抑制作用

Peroxidasin Inhibition by Phloroglucinol and Other Peroxidase Inhibitors.

作者信息

Paumann-Page Martina, Obinger Christian, Winterbourn Christine C, Furtmüller Paul G

机构信息

Mātai Hāora Centre for Redox Biology and Medicine, University of Otago Christchurch, Ōtautahi Christchurch 8011, New Zealand.

Institute of Biochemistry, Department of Chemistry, University of Natural Resources and Life Sciences, Vienna, Muthgasse 18, 1190 Vienna, Austria.

出版信息

Antioxidants (Basel). 2023 Dec 21;13(1):23. doi: 10.3390/antiox13010023.

Abstract

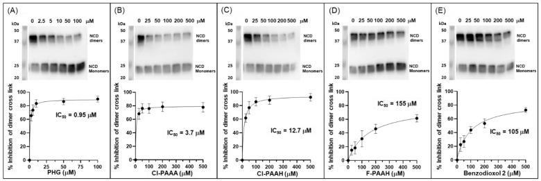
Human peroxidasin (PXDN) is a ubiquitous peroxidase enzyme expressed in most tissues in the body. PXDN represents an interesting therapeutic target for inhibition, as it plays a role in numerous pathologies, including cardiovascular disease, cancer and fibrosis. Like other peroxidases, PXDN generates hypohalous acids and free radical species, thereby facilitating oxidative modifications of numerous biomolecules. We have studied the inhibition of PXDN halogenation and peroxidase activity by phloroglucinol and 14 other peroxidase inhibitors. Although a number of compounds on their own potently inhibited PXDN halogenation activity, only five were effective in the presence of a peroxidase substrate with IC values in the low μM range. Using sequential stopped-flow spectrophotometry, we examined the mechanisms of inhibition for several compounds. Phloroglucinol was the most potent inhibitor with a nanomolar IC for purified PXDN and IC values of 0.95 μM and 1.6 μM for the inhibition of hypobromous acid (HOBr)-mediated collagen IV cross-linking in a decellularized extracellular matrix and a cell culture model. Other compounds were less effective in these models. Most interestingly, phloroglucinol was identified to irreversibly inhibit PXDN, either by mechanism-based inhibition or tight binding. Our work has highlighted phloroglucinol as a promising lead compound for the design of highly specific PXDN inhibitors and the assays used in this study provide a suitable approach for high-throughput screening of PXDN inhibitors.

摘要

人过氧化物酶(PXDN)是一种在人体大多数组织中普遍表达的过氧化物酶。PXDN是一个有趣的抑制性治疗靶点,因为它在包括心血管疾病、癌症和纤维化在内的多种病理过程中发挥作用。与其他过氧化物酶一样,PXDN会生成次卤酸和自由基,从而促进多种生物分子的氧化修饰。我们研究了间苯三酚和其他14种过氧化物酶抑制剂对PXDN卤化和过氧化物酶活性的抑制作用。尽管许多化合物单独就能有效抑制PXDN卤化活性,但只有五种在过氧化物酶底物存在的情况下有效,其IC值在低微摩尔范围内。我们使用连续停流分光光度法研究了几种化合物的抑制机制。间苯三酚是最有效的抑制剂,对纯化的PXDN的IC值为纳摩尔级别,在脱细胞细胞外基质和细胞培养模型中,对次溴酸(HOBr)介导的IV型胶原交联的抑制IC值分别为0.95μM和1.6μM。其他化合物在这些模型中的效果较差。最有趣的是,间苯三酚被确定通过基于机制的抑制或紧密结合不可逆地抑制PXDN。我们的工作突出了间苯三酚作为设计高度特异性PXDN抑制剂的有前景的先导化合物,并且本研究中使用的检测方法为PXDN抑制剂的高通量筛选提供了合适的方法。

https://cdn.ncbi.nlm.nih.gov/pmc/blobs/523c/10812467/2f2a5cd4bbac/antioxidants-13-00023-g001.jpg

文献AI研究员

20分钟写一篇综述,助力文献阅读效率提升50倍。

立即体验

用中文搜PubMed

大模型驱动的PubMed中文搜索引擎

马上搜索

文档翻译

学术文献翻译模型,支持多种主流文档格式。

立即体验